Răng thỏ dễ thương ngày càng được ưa chuộng, đặc biệt là các bạn trẻ. Nó giúp khuôn mặt thu hút và có điểm nhấn hơn. Vậy răng thỏ là như thế nào? Ý nghĩa tướng số có tốt không? Hiện nay có những cách nào tạo hình răng thỏ?
I – Đặc điểm răng thỏ là gì? Đẹp hay xấu?
Răng thỏ là dáng 2 chiếc răng trước cửa to và dài hơn hẳn so với các răng bên cạnh. Đặc điểm này giúp bạn trông giống một chú thỏ, đặc biệt tạo ấn tượng khi giao tiếp.

2 chiếc răng thỏ tạo nên nét dễ thương cho chủ nhân sở hữu
HÃY ĐỂ CHUYÊN GIA TƯ VẤN GIÚP ĐỠ BẠN HOÀN TOÀN MIỄN PHÍ

Rất nhiều ngôi sao nổi tiếng sở hữu răng thỏ dễ thương. Cùng chiêm ngưỡng những hình ảnh sau đây:

Idol Kpop nổi tiếng Jungkook (BTS) sở hữu nụ cười răng thỏ đáng yêu

Na Yeon (Twice) nhìn y hệt cô thỏ đáng yêu 
Tình đầu quốc dân Suzy tỏa nắng với nụ cười răng thỏ ngây thơ trong sáng

“Cô tiên răng thỏ” Minh Tú

Hot girl Châu Bùi

Diễn viên – Ca sĩ Hoàng Yến Chibi trẻ trung hơn nhờ răng thỏ cute
Đặc điểm răng thỏ đẹp hay xấu sẽ tùy thuộc vào dáng răng thực tế của mỗi người. Cụ thể, để đánh giá răng thỏ có đẹp không, hãy xét đến 2 trường hợp sau đây:
Răng thỏ đẹp là như thế nào?
Kích cỡ 2 răng cửa hàm trên to và dài nhưng không quá chênh lệch với các răng bên cạnh.
Răng mọc đều đặn, có độ trắng sáng đồng đều.
Răng thỏ hài hòa với các đường nét trên gương mặt, tạo nụ cười tỏa nắng.

Nayeon là hình mẫu răng thỏ chuẩn đẹp
Trường hợp răng thỏ xấu:
Răng thỏ quá to và dài, nhìn bị mất cân đối với các răng khác trong hàm.
2 chiếc răng cửa có độ lớn vừa đủ nhưng chìa ra ngoài hoặc mọc khấp khểnh so với cung hàm chuẩn.
Trường hợp răng thỏ thưa, nhìn thấy rõ kẽ hở của răng.

Răng thỏ hô, quá to không được đánh giá cao về thẩm mỹ
II – Xem bói tướng số Nam, Nữ răng thỏ
Tướng răng cũng là đặc điểm quan trọng, được đánh giá nhiều trong nhân tướng học. Vậy ý nghĩa tướng số răng thỏ có tốt không? Cùng đánh giá cụ thể ngay sau đây.
1. Tính cách
Người sở hữu răng thỏ đẹp không chỉ sở hữu ngoại hình sáng mà còn được đánh giá cao bởi tư chất thông minh, hoạt bát. Họ có được sự nhanh nhạy cần thiết để xử lý tốt trong mọi trường hợp.
Vì tính cách độc lập của mình nên người răng thỏ thường tự phấn đấu và nỗ lực trong mọi việc. Họ ít khi nhờ giúp đỡ và dựa dẫm vào người khác.

Người răng thỏ thường có tính cách nhanh nhẹn, hoạt bát
Tính cách hòa nhã và tốt bụng giúp cho chủ nhân răng thỏ rất được mọi người xung quanh quý mến.
Họ luôn giữ mối quan hệ tốt, sẵn sàng giúp đỡ người khác nếu nó nằm trong khả năng của mình.
2. Vận mệnh sau này
Với những người có răng thỏ đẹp, đây được coi là đặc điểm quý tướng trong nhân tướng học. Nó mang đến cho chủ nhân nhiều may mắn và cung đường tài lộc rực rỡ.
Nam giới và nữ giới răng thỏ được đánh giá cao về thiên bẩm nghệ thuật. Họ rất dễ thành công và được mến mộ nếu theo đuổi con đường này.
Bên cạnh đó, những ngành nghề đòi hỏi sự sáng tạo cao như PR, Marketing cũng cực kì phù hợp với chủ nhân răng thỏ.

Jungkook BTS là chàng trai răng thỏ thành công nhất với độ nổi tiếng toàn cầu
Về tình duyên, những người có răng thỏ thường có tình yêu muộn. Mặc dù vậy nhưng họ vẫn gặt hái được trái ngọt với cái kết viên mãn. Cuộc sống gia đình hạnh phúc và con cái đề huề.
III – Cách làm răng thỏ dễ thương, đẹp tự nhiên
Hiện nay, công nghệ nha khoa hiện đại cho phép làm răng thỏ cute bằng nhiều phương pháp. Hiệu quả mang đến tự nhiên giúp bạn tỏa sáng với nụ cười răng thỏ chính hiệu.
1. Bọc răng sứ thẩm mỹ
Đây là phương pháp được nhiều người lựa chọn nhờ màu sắc mão sứ đa dạng và có độ tự nhiên cao.
Bên cạnh đó, khả năng ăn nhai như răng thật cũng là một ưu điểm nổi trội của phương pháp phục hình trồng sứ này.

Bọc răng sứ thẩm mỹ là giải pháp làm răng thỏ được ưa chuộng hàng đầu
Đối tượng phù hợp với phương pháp bọc sứ tạo form răng thỏ:
Người có răng trước cửa thưa, mẻ, vỡ.
Trường hợp bị đen chân răng.
Răng bị sâu, mất nhiều mô răng thật.
Người ưa thích mong muốn sở hữu dáng răng thỏ.
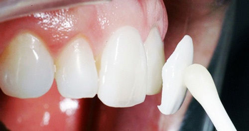
2. Dán răng thỏ Veneer
So với bọc răng sứ thì dán sứ Veneer giúp khách hàng có thể làm răng thỏ mà không xâm phạm đến mô răng thật.
Thay vì mài nhỏ cùi răng, bác sĩ chỉ làm mỏng một chút bề mặt và dán trực tiếp mặt sứ lên.
Ngoài ưu điểm không xâm lấn đến cấu trúc răng, dán răng thỏ Veneer còn mang đến hiệu quả thẩm mỹ tối ưu. 2 chiếc răng trước cửa có độ sáng tự nhiên, đều đẹp.
Đặc biệt, nếu bạn dán sứ cả hàm thì kết quả thẩm mỹ còn tuyệt vời hơn nữa.

Kĩ thuật dán răng thỏ Veneer
LÀM SAO ĐỂ CÓ ĐƯỢC RĂNG THỎ ???


Mặc dù nhiều ưu điểm nhưng dán sứ Veneer không bền chắc bằng phương pháp bọc sứ. Quá trình nhai cắn cũng cần được lưu ý kĩ hơn để tránh bung bật lớp mặt nạ sứ bên ngoài.
Vậy ai phù hợp dán răng thỏ bằng sứ Veneer?
Người có răng trước cửa mẻ, vỡ không nhiều.
Những người răng đều, đẹp nhưng ưa thích dáng răng thỏ.
Trường hợp răng thưa, hở kẽ nhiều.
Răng màu sắc kém sáng, ố vàng hoặc xỉn.
3. Trồng răng thỏ Implant
Phương pháp tạo kiểu răng thỏ bằng cấy ghép Implant được áp dụng cho những ai bị mất răng hoặc cấu trúc răng bị phá hủy hết, tủy chết.
Trường hợp này, bác sĩ sẽ cấy ghép trụ Implant trực tiếp vào xương hàm, sau đó sử dụng mão sứ chụp lên trên để đảm bảo thẩm mỹ.
So với bọc hoặc dán sứ, trồng Implant tạo hình răng thỏ mang đến hiệu quả lâu dài hơn, có thể giữ được vĩnh viễn.
Độ chắc chắn của răng Implant cũng vượt trội hơn, khách hàng hoàn toàn có thể ăn nhai bình thường nhờ trụ răng chắc chắn.

Làm răng thỏ đẹp bằng cấy Implant
Đối tượng nên trồng răng thỏ Implant:
Răng cửa bị rụng hẳn hoặc lung lay nhiều, chân răng không vững.
Trường hợp rụng nhiều răng bên cạnh kết hợp cắm Implant toàn hàm.
Răng vỡ gãy nhiều, gần như mất hoàn toàn mô răng thật, chân răng bị tổn thương.
Vì sao không nên tự làm răng thỏ tại nhà?
Cách làm răng thỏ tại nhà một trời gian trở thành xu hướng được giới trẻ lựa chọn bởi giá rẻ và dễ thực hiện.
Hầu hết các vật liệu để làm răng thỏ tại nhà đều tự chế hoặc mua của một số người bán trên mạng.
Người dùng chỉ cần làm theo hướng dẫn, gắn vật liệu có màu sắc tương tự lên răng là có thể tạo hình răng thỏ tạm thời cho 2 chiếc răng trước cửa.
Răng thỏ tự chế chủ yếu chỉ để trang trí, không thể nhai cắn bình thường được. Khi không thích, bạn có thể tháo bỏ nó ra khỏi răng.
Phương pháp này được các chuyên gia khuyến cáo không nên thực hiện bởi chất liệu không có nguồn gốc rõ ràng. Điều này thể tiềm ẩn nhiều nguy hại cho sức khỏe của răng miệng.

Cách làm răng thỏ tại nhà tiềm ẩn nhiều nguy cơ cho sức khỏe răng miệng
Cách tốt nhất để sở hữu răng thỏ dễ thương là tạo hình bằng các giải pháp nha khoa.Hầu hết những phương pháp này đều được chứng nhận an toàn và có chế độ bảo hành tốt sau khi thực hiện.
IV – Làm răng thỏ giá bao nhiêu tiền?
Hiện nay, chi phí làm răng thỏ bao nhiêu tiền sẽ phụ thuộc vào phương pháp nha khoa mà khách hàng lựa chọn.
Cụ thể, tại nha khoa Bệnh viện thẩm mỹ Kangnam, từng phương pháp sẽ có mức giá cụ thể như sau:
Với trồng răng thỏ: Chi phí thực tế sẽ bằng tổng chi phí của trụ Implant + chi phí mão răng sứ.
Giá 1 trụ Implant: 16 – 35 triệu đồng tùy theo từng loại trụ của Hàn, Mỹ hay Thụy Sĩ.
Mão sứ phục hình trên Implant: 3,5 – 10 triệu đồng tùy theo loại sứ sử dụng (Titan, Venus, Cercon, răng sứ Lava Plus,….)
Với phương pháp bọc răng sứ: Chi phí dao động từ 2,5 – 18 triệu đồng, tùy theo chất liệu mão sứ sử dụng.
Giá dán răng thỏ bao nhiêu: 8 – 12 triệu đồng, tùy theo loại sứ được dùng để phục hình.
Khách hàng hãy đánh giá và lựa chọn phương pháp làm răng thỏ dựa trên mong muốn và điều kiện tài chính cá nhân.
Tuy nhiên, vì răng thỏ ở vị trí trước cửa nên yêu cầu độ thẩm mỹ cao. Các chất liệu sứ kim loại sẽ dễ bị đen viền nướu sau thời gian ngắn sử dụng.
Vì thế, các chuyên gia nha khoa Kangnam khuyên khách hàng lựa chọn chất liệu toàn sứ để tạo kiểu răng thỏ tự nhiên và đẹp nhất.









Hãy để lại bình luận của bạn bên dưới!
Nhập thông tin của bạn
×