Mắt to mắt nhỏ là tình trạng hai bên mắt không cân xứng về kích thước, độ mở mí hoặc vị trí mí mắt khi nhìn trực diện. Đây là hiện tượng khá phổ biến và không phải lúc nào cũng là bệnh lý.
Trong nhiều trường hợp, mắt to mắt nhỏ chỉ là bất cân xứng sinh lý tự nhiên, có thể do cấu trúc xương mặt, cơ nâng mi khác nhau hoặc thói quen sinh hoạt. Mức độ chênh lệch nhẹ thường không ảnh hưởng đến thị lực hay sức khỏe.
Tuy nhiên, mắt to mắt nhỏ cũng có thể là dấu hiệu bất thường nếu xuất hiện đột ngột hoặc ngày càng rõ. Một số nguyên nhân có thể liên quan đến sụp mí, yếu cơ nâng mi, chấn thương, viêm nhiễm hoặc bệnh lý thần kinh.
Khi nào cần lo lắng?
Người có mắt to mắt nhỏ nên đi kiểm tra khi tình trạng này xảy ra đột ngột, kèm theo nhìn mờ, đau mắt, sụp mí nhiều hoặc thay đổi nhanh theo thời gian.

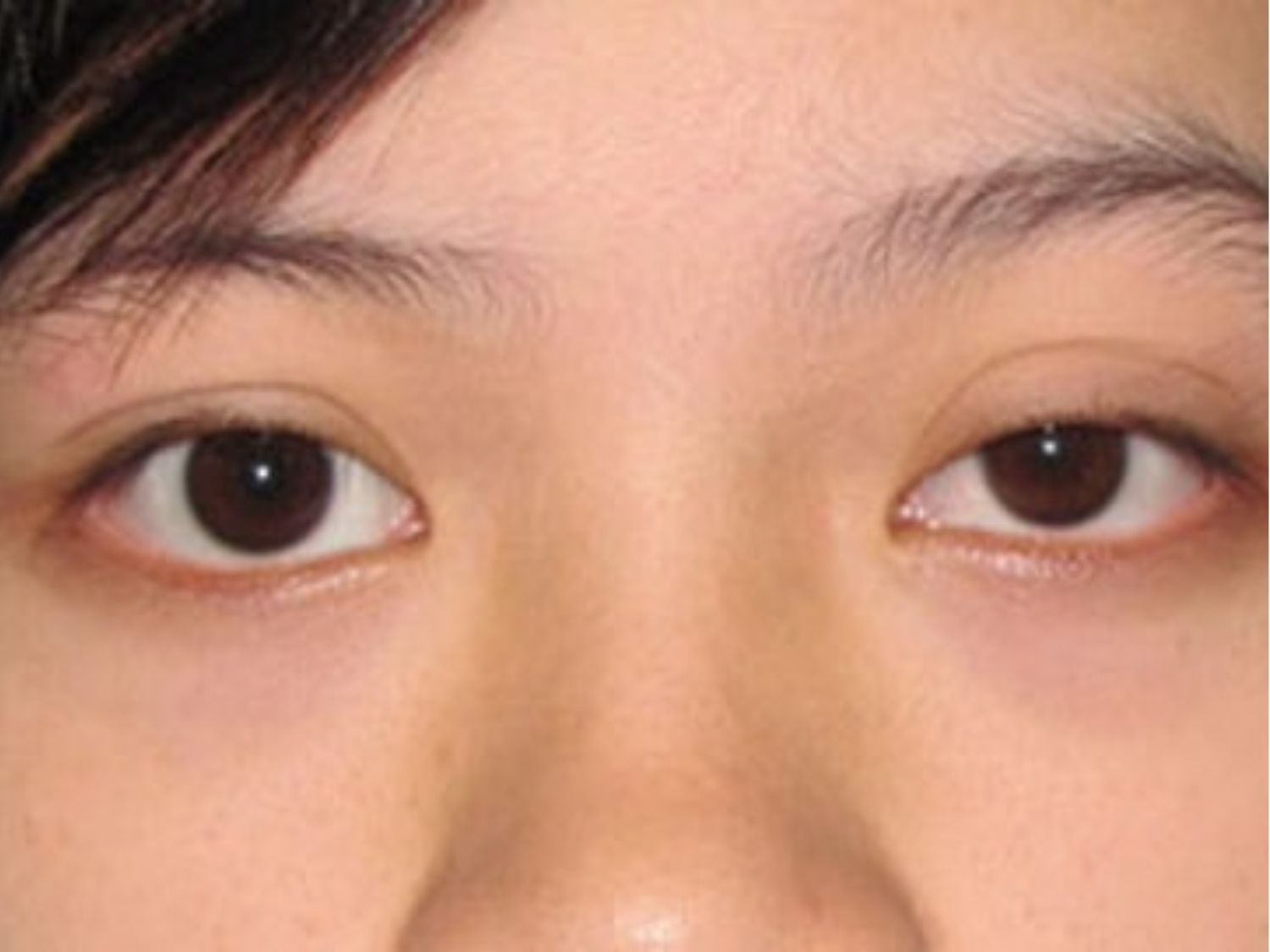
Mắt to mắt nhỏ là 2 bên mí mắt không đều
Tình trạng mắt to mắt nhỏ là hiện tượng hai bên mắt không cân xứng, có thể xuất hiện do nhiều nguyên nhân khác nhau và không phải lúc nào cũng là bệnh lý.
Bẩm sinh / di truyền:
Đây là nguyên nhân phổ biến nhất. Sự khác biệt về cấu trúc xương hốc mắt, cơ nâng mi hoặc lượng mỡ mí giữa hai bên có thể khiến mắt không đều ngay từ nhỏ và duy trì ổn định theo thời gian.
Thói quen sinh hoạt:
Thường xuyên nằm nghiêng một bên, dụi mắt, thức khuya hoặc sử dụng thiết bị điện tử kéo dài có thể khiến cơ và mô mềm vùng mắt hoạt động không đồng đều, làm chênh lệch kích thước mắt rõ hơn.
Lão hóa cơ vùng mắt:
Theo thời gian, cơ nâng mi và mô liên kết có thể chùng xuống không đồng đều giữa hai bên, dẫn đến hiện tượng sụp mí nhẹ hoặc mắt nhỏ dần ở một bên.
Tác động sau chấn thương hoặc can thiệp thẩm mỹ:
Chấn thương vùng mắt hoặc phẫu thuật thẩm mỹ không cân xứng có thể làm thay đổi cấu trúc mí, gây mắt to mắt nhỏ sau đó.

Lão hóa khiến mắt không cân đối
Mắt to mắt nhỏ có thể tự cân đối lại trong một số trường hợp, nhưng không phải lúc nào cũng tự hết.
Trường hợp có thể cải thiện tự nhiên:
Tình trạng lệch nhẹ do sưng nề tạm thời, mệt mỏi, thiếu ngủ, dị ứng hoặc mới thực hiện thủ thuật vùng mắt. Khi nguyên nhân được khắc phục và mô mềm ổn định, hai bên mắt có thể cân đối dần sau vài ngày đến vài tuần.
Trường hợp không tự hết:
Mắt to mắt nhỏ do cấu trúc giải phẫu bẩm sinh, sụp mí, cơ nâng mi yếu, hoặc lệch mí kéo dài sau can thiệp thẩm mỹ. Trong các trường hợp này, tình trạng thường không tự cân đối lại và cần được bác sĩ đánh giá nếu ảnh hưởng đến thẩm mỹ hoặc chức năng mắt.

Gen di truyền cũng quyết định hình dáng mắt
Mắt to mắt nhỏ là tình trạng hai bên mắt không cân xứng, có thể do bẩm sinh, thói quen sinh hoạt hoặc yếu tố cơ mặt. Một số biện pháp tại nhà có thể hỗ trợ cải thiện tạm thời, nhưng không thay đổi cấu trúc mắt.
Trang điểm giúp cân đối mắt
Trang điểm là cách phổ biến nhất để che sự chênh lệch. Có thể điều chỉnh độ đậm nhạt của phấn mắt, eyeliner và mascara để tạo cảm giác hai bên mắt đều nhau hơn. Bên mắt nhỏ thường kẻ đậm và kéo dài hơn, trong khi bên mắt to trang điểm nhẹ để cân bằng thị giác.
Massage & bài tập cơ mắt
Massage vùng mắt và thực hiện các bài tập mở – nhắm – nâng cơ mi có thể giúp thư giãn cơ mắt, cải thiện tuần hoàn máu. Việc này hỗ trợ giảm sưng hoặc mỏi mắt, từ đó giúp hai bên mắt trông hài hòa hơn trong một số trường hợp.
Điều chỉnh thói quen sinh hoạt
Ngủ đủ giấc, hạn chế thức khuya, tránh dụi mắt và giảm thời gian nhìn màn hình giúp hạn chế sưng lệch mí mắt. Chế độ sinh hoạt hợp lý cũng góp phần duy trì sự cân đối tổng thể của mắt.

Mắt to mắt nhỏ không được đánh giá cao trong tướng số
Tình trạng mắt to mắt nhỏ có thể gặp ở nhiều mức độ khác nhau và không phải trường hợp nào cũng cần can thiệp y khoa. Việc cân nhắc chỉnh sửa thường dựa trên mức độ lệch và ảnh hưởng thực tế.
Nên cân nhắc can thiệp khi:
Độ lệch rõ rệt, dễ nhận thấy khi nhìn trực diện hoặc khi chụp ảnh, khiến gương mặt mất cân đối.
Ảnh hưởng đến thẩm mỹ hoặc chức năng, như mí sụp, mắt mở không đều hoặc gây mỏi mắt, khó chịu khi sinh hoạt hằng ngày.
Tình trạng lệch không cải thiện theo thời gian hoặc xuất hiện sau chấn thương, lão hóa.
Ngược lại, nếu sự chênh lệch nhẹ và không ảnh hưởng đến sinh hoạt, việc can thiệp thường không cần thiết và mang tính lựa chọn cá nhân.
Cần lưu ý rằng các phương pháp can thiệp không cam kết kết quả vĩnh viễn, do quá trình lão hóa và thay đổi mô mềm theo thời gian. Vì vậy, thăm khám và tư vấn chuyên môn là bước quan trọng trước khi quyết định.

Nam giới mắt to mắt nhỏ có tính cách nóng vội
Đa số trường hợp mắt to mắt nhỏ không gây nguy hiểm đến sức khỏe. Đây thường là đặc điểm bẩm sinh hoặc do thói quen sinh hoạt, lão hóa và sự phát triển không đồng đều của mí mắt.
Không phải trường hợp nào cũng cần điều trị. Nếu sự chênh lệch nhẹ và không ảnh hưởng đến thị lực hay sinh hoạt, không bắt buộc can thiệp. Điều trị chỉ được cân nhắc khi có yếu tố thẩm mỹ rõ rệt hoặc kèm vấn đề chức năng.
Trang điểm có thể giúp che khuyết điểm tạm thời, nhưng không mang lại hiệu quả lâu dài, vì không thay đổi cấu trúc mí hoặc cơ nâng mi.
Nên đi khám khi mắt to mắt nhỏ xuất hiện đột ngột, chênh lệch tăng dần, kèm sụp mí, mỏi mắt hoặc ảnh hưởng đến tầm nhìn.
Trên đây chính là những thông tin về mắt to mắt nhỏ cũng như bật mí các cách khắc phục triệt để khuyết điểm của đôi mắt này. Nếu còn bất kỳ thắc mắc nào, các khách hàng có thể liên hệ trực tiếp tới hotline 1900.6466 để được giải đáp.
Comments are closed.
Hãy để lại bình luận của bạn bên dưới!
Có tư vấn trực tiếp k ạ hay chỉ tư vẫn onl ạ ?.
Chi phí cắt mí cho mắt to mắt nhỏ là bao nhiêu ạ
Chào Trần Ngọc Nhi, chi phí cắt mí mắt tại Kangnam có giá 16.000.000 VNĐ với dịch vụ cắt mí 6D và 29.000.000 VNĐ với dịch vụ cắt mí Perfect Eyes. Để đưa ra lựa chọn phù hợp, bạn hãy đến thăm khám và lắng nghe tư vấn từ bác sĩ.
Mắt tôi mới cắt được 2 tháng nhưng mắt phải của tôi mỗi khi cười thì mắt bên phải nhỏ hơn mắt bên trái khoảng 4/6 thấy rõ hai bên to nhỏ.cho hỏi tui có thể cắt sửa lại được không.và bao lâu thì có thể cắt sửa lại được ạ.
Cho tôi hỏi cắt mí có bao nhiêu loại vậy
Chào Nguyễn Hương Giang, hiện tại Kangnam có các dịch vụ cắt mí 6D, cắt mí Perfect Eyes khắc phục tốt tình trạng sụp mí, mí lót, mí không đều, … Quá trình cắt mí không đau, không chảy máu và không để lại sẹo. Bạn có thể gửi tình trạng về https://www.facebook.com/Thammykangnam để được tư vấn miễn phí.
Mắt trái của tôi nhỏ hơn mắt phải khiến tôi rất ngại khi tiếp xúc với mọi ng. Nha khoa có thể cho tôi xin giá cả để có một đôi mắt cân xứng cả hai bên không ạ
Chào Trần Trang ạ!
Để cải thiện đôi mắt cân xứng bạn có thể tham khảo dịch vụ cắt mí + tạo khỏe để cải thiện mắt mắt to hơn ạ. Bạn liên hệ hotline 19006466 để được tư vấn chi tiết hơn ạ
Mắt to mắt nhỏ do nhai một bên phải làm sao?
Chào Nnn !
Để cải thiện vấn đề tình trạng 2 mắt không đều nhau bạn có thể tham khảo dịch vụ cắt mí + tạo khóe ạ.Bạn liên hệ hotline 1900 6466 để được tư vấn chi tiết hơn ạ
Chi phí phải trả cho dịch vụ này là bao nhiêu ?
Chào Ngọc Huyền!
Cắt mí Plasma có chi phí 9 triệu, riêng trong tháng này Bệnh viện có ưu đãi 20% là còn 7,2 triệu. Bạn liên hệ hotline 19006466 để được tư vấn chi tiết hơn ạ
Con gần 16 tuổi rồi mắt trái của con nhỏ hơn mắt phải nhìn rất là xấu nên con luôn tự ti về bản thân bác sũ tư vấn cho con về việc chữa mắt to mắt nhỏ cho bằng nhau cân đối đc k ạ và cả giá nữa
Chào Nam!
Để cải thiện đôi mắt không cân xứng bạn có thể tham khảo dịch vụ cắt mí + tạo khỏe để cải thiện mắt to hơn ạ. Bạn liên hệ hotline 19006466 để được tư vấn chi tiết hơn ạ