Chào Mai,
Răng sứ bị lỏng là tình trạng mão sứ không bám chắc vào cùi răng thật hoặc trụ implant, gây cảm giác lung lay khi ăn nhai. Nguyên nhân chủ yếu do bác sĩ sai kỹ thuật, keo dán kém chất lượng, viêm nướu, cùi răng thật bị tổn thương hoặc lỏng vít, lệch trục implant.

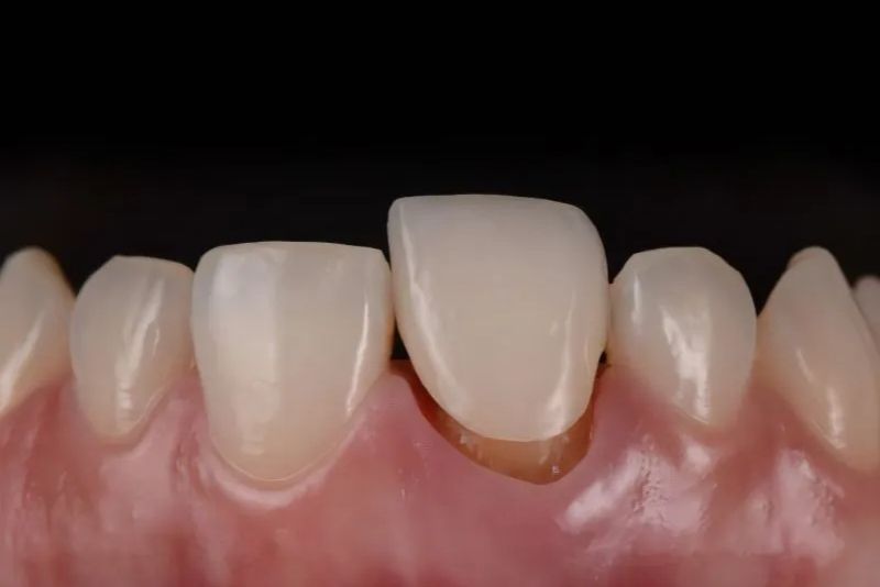
Răng sứ bị lỏng gây cảm giác lung lay
1. Nguyên nhân khiến răng sứ bị lỏng
Lớp keo dán thoái hóa, kỹ thuật bọc răng sai, răng thật bị sâu, viêm nướu, thói quen ăn đồ cứng, nghiến răng khi ngủ và chất lượng răng sứ kém là những nguyên nhân khiến răng sứ bị lỏng.
- Keo dán bị thoái hóa: Sau nhiều năm sử dụng, lớp xi măng kết dính giữa răng sứ và răng thật có thể bị hết tác dụng hoặc bị nước bọt hòa tan dần. Khi lớp keo này không còn chắc chắn, răng sứ sẽ bắt đầu có dấu hiệu lung lay.
- Kỹ thuật sai: Nếu trong quá trình thực hiện, bác sĩ mài răng thật không đúng tỉ lệ hoặc lấy dấu răng không chính xác, mão răng sứ sẽ không khít sát với cùi răng thật. Khoảng hở này khiến răng sứ dễ bị xê dịch và lỏng lẻo ngay từ sớm.
- Răng thật bị sâu, viêm nướu: Nếu răng thật bị sâu hoặc phần nướu xung quanh bị viêm, cấu trúc nâng đỡ răng sứ sẽ yếu đi. Khi răng thật bị mòn mục hoặc nướu tụt xuống, răng sứ sẽ không còn điểm tựa vững chắc và dẫn đến bị lỏng.
- Thói quen ăn đồ cứng, nghiến răng: Thường xuyên dùng răng sứ để cắn vật cứng (nắp chai, đá viên, kẹo cứng) tạo áp lực lớn làm bong lớp keo dán. Bên cạnh đó, áp lực liên tục và mạnh từ việc nghiến răng khiến răng sứ bị xô lệch khỏi vị trí ban đầu.
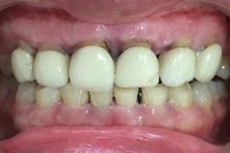
- Răng sứ kém chất lượng: Sử dụng các loại răng sứ giá rẻ, không rõ nguồn gốc có thể dẫn đến tình trạng oxy hóa (đặc biệt là răng sứ kim loại) hoặc không tương thích sinh học, gây kích ứng nướu và làm lỏng liên kết của răng.

Răng sứ kém chất lượng dễ oxy hóa
2. Răng sứ bị lỏng có nguy hiểm không?
Răng sứ bị lỏng có thể gây nguy hiểm, làm tổn thương cùi răng thật hoặc trụ implant, tạo điều kiện cho vi khuẩn xâm nhập gây viêm nướu, viêm nha chu, thậm chí tiêu xương ổ răng. Về lâu dài, tình trạng này có thể khiến răng sứ hư hỏng hoàn toàn, ảnh hưởng chức năng ăn nhai và sức khỏe răng miệng tổng thể. Do đó, khi nhận thấy răng sứ bị lỏng, cần được bác sĩ kiểm tra và điều trị sớm.
3. Cách xử lý khi răng sứ bị lỏng
Khi răng sứ bị lỏng, bác sĩ có thể vệ sinh và gắn lại răng, thay mão sứ mới, điều trị viêm nướu, nha chu (nếu có) hoặc điều chỉnh khớp cắn, xử lý implant (nếu cắm trụ).
- Tháo mão sứ và gắn lại: Nếu mão sứ còn tốt, bác sĩ sẽ làm sạch và gắn lại bằng keo nha khoa chuyên dụng. Cách này giúp răng sứ bám chắc và ăn nhai ổn định hơn.
- Thay mão răng sứ mới: Trường hợp mão sứ đã mòn, nứt hoặc không còn sát khít, cần làm mão sứ mới phù hợp hơn, đảm bảo độ bền và tính thẩm mỹ lâu dài.
- Điều trị viêm nướu, nha chu: Nếu răng sứ lỏng do viêm nướu hoặc nhiễm trùng, bác sĩ sẽ điều trị bệnh lý trước. Khi mô quanh răng khỏe mạnh, răng sứ mới có thể gắn chắc trở lại.
- Điều chỉnh khớp cắn hoặc xử lý implant (nếu có): Với răng sứ trên implant, bác sĩ sẽ siết lại vít hoặc chỉnh lại trục implant. Việc này giúp lực nhai phân bố đều, hạn chế răng sứ bị lỏng tái phát.

Tháo mão sứ và thay mới để đảm bảo an toàn
4. Khi nào cần thay răng sứ mới hoàn toàn?
Răng sứ cần thay mới hoàn toàn khi mão sứ không còn khả năng phục hồi hoặc không đảm bảo chức năng ăn nhai và sức khỏe răng miệng.
Các trường hợp cần thay răng sứ mới:
- Mão sứ bị nứt, mẻ, gãy hoặc vỡ nghiêm trọng
- Răng sứ lung lay nhiều, không thể gắn lại chắc chắn
- Cùi răng thật bị sâu, viêm hoặc tổn thương bên trong
- Răng sứ hở viền, gây nhét thức ăn và viêm nướu kéo dài
- Mão sứ đổi màu, ố vàng, mất thẩm mỹ, khó khắc phục
- Răng sứ không phù hợp khớp cắn, gây đau hoặc khó ăn nhai
5. Lời khuyên bác sĩ dành cho Mai
Tình trạng răng sứ bị lỏng và ê khi nhai sau hơn 1 năm là dấu hiệu không nên chủ quan. Nếu để lâu, lực nhai sai lệch có thể làm tổn thương cùi răng thật, viêm nướu và khiến răng sứ hỏng hoàn toàn. Mai nên đến nha khoa càng sớm càng tốt để bác sĩ kiểm tra nguyên nhân, nhằm bảo vệ răng thật và tránh biến chứng về sau.
TạiBệnh viện Thẩm mỹ Kangnam, quá trình bọc răng sứ được thực hiện bởi bác sĩ nha khoa trên 8 năm kinh nghiệm, đảm bảo bọc đúng kỹ thuật và sát khít răng thật. Nhờ đó, răng sứ vững chắc, ăn nhai tự nhiên và hạn chế tối đa tình trạng lung lay, mang lại sự an tâm và nụ cười bền đẹp lâu dài cho khách hàng.
Bài viết liên quan
-Chuyên gia Tạo Hình và Tái Tạo Thẩm Mỹ
-Gần 20 năm kinh nghiệm
-Hơn 10.000+ ca phẩu thuật hàm mặt
-Chuyên gia Tạo Hình Vóc Dáng
-Hơn 20 năm kinh nghiệm
-Hơn 10.000+ ca phẫu thuật thành công
-Chuyên gia Chỉnh hình Hàm mặt
-Gần 20 năm kinh nghiệm
-Hơn 10.000+ ca thẩm mỹ mũi
-Chuyên gia thẩm mỹ mũi
-Gần 20 năm kinh nghiệm
-Hơn 10.000+ ca thẩm mỹ mũi
-Chuyên gia da liễu – Trẻ hóa
-15 năm kinh nghiệm
-Hơn 20.000+ ca điều trị da
-Bác sĩ chỉnh hình hàm mặt
-Hơn 10 năm kinh nghiệm
-Hơn 5.000 ca hàm mặt thành công
Có nên trồng răng implant không? Có an toàn không
Bác sĩ ơi, em mất răng hàm đã lâu. Không biết có nên trồng răng Implant không và phương pháp này có thực sự bền như mọi người nói không ạ?
Trồng răng sứ có ảnh hưởng gì không? 6 rủi ro nên cân nhắc trước khi thực hiện
trồng răng sứ có ảnh hưởng gì không ạ? em đang muốn trồng mấy cái răng cửa nhưng thấy có một số người bảo không nên làm
Cách trồng răng sứ titan chuẩn Y khoa và hiệu quả
Bác sĩ ơi, em bị mất một răng hàm nhai. Em muốn trồng răng sứ Titan mà không biết quy trình thực hiện thế nào cho đúng ạ?
Các phương pháp trồng răng phổ biến hiện nay
Bác sĩ ơi, em bị mất răng hàm và muốn trồng lại, nhưng thấy có nhiều phương pháp quá. Không biết hiện nay có những phương pháp trồng răng nào và em nên chọn loại nào phù hợp?
Bọc răng sứ mất bao nhiêu ngày? Cách rút ngắn thời gian bọc răng sứ
bọc răng sứ mất bao nhiêu ngày ạ, có tốn thời gian không, mình đang có việc ở Hà Nội nên muốn tiện bọc răng sứ luôn vì ở đây nhiều nha khoa uy tín
Bảng giá trồng răng mới nhất năm 2026
Chào bác sĩ, tôi muốn xem bảng giá trồng răng hiện nay để cân nhắc xem có phù hợp với tài chính không. Không biết trồng Implant, cầu răng và hàm tháo lắp giá bao nhiêu?




Hãy để lại bình luận của bạn bên dưới!
Nhập thông tin của bạn
×