Chào Nam,
Bị viêm tủy sau khi bọc răng sứ do mài răng quá nhiều, răng có sâu từ trước đó chưa điều trị, mão sứ không khít hoặc có chất kết dính gây kích ứng khiến răng ê buốt rõ rệt khi ăn đồ nóng, lạnh, sưng chân răng, nướu tấy đỏ và cảm giác tức nặng bên trong.

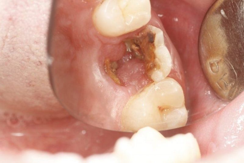
Răng bọc sứ bị viêm tủy cần thăm khám sớm
1. Vì sao răng bọc sứ bị viêm tủy?
Sau khi bọc sứ bị viêm tủy răng có thể do mài răng quá nhiều, răng có sâu từ trước đó chưa điều trị, mão sứ không khít hoặc có chất kết dính gây kích ứng.
- Mài răng quá nhiều: Lớp men bị mài sâu làm lộ ngà, vi khuẩn dễ xâm nhập vào tủy. Tình trạng này thường gây ê buốt kéo dài ngay sau khi bọc sứ.
- Răng sâu từ trước chưa điều trị: Vi khuẩn trong lỗ sâu hoặc viêm cũ tiếp tục lan vào buồng tủy sau khi chụp mão. Nhiều trường hợp đau xuất hiện muộn sau 1–3 tháng.
- Mão sứ hở viền: Khe hở giữa mão và nướu tạo điều kiện cho thức ăn, vi khuẩn tích tụ. Lâu ngày dẫn đến viêm nướu rồi lan sâu vào tủy.
- Chất kết dính gây kích ứng: Một số vật liệu dán sứ có thể gây phản ứng nhạy cảm ở răng yếu. Khách hàng thường cảm thấy ê buốt kéo dài hoặc đau khi uống lạnh.
2. Dấu hiệu răng bọc sứ bị viêm tủy
Dưới đây là các dấu hiệu thường gặp khi răng bọc sứ bị viêm tủy. Tình trạng này thường xuất hiện sau vài tuần đến vài tháng nếu răng có bệnh lý tiềm ẩn hoặc mão sứ không khít.
- Đau âm ỉ hoặc đau nhói bất chợt, không theo chu kỳ. Cơn đau có thể lan lên thái dương hoặc vùng hàm
- Ê buốt khi uống nước lạnh hoặc ăn nóng nhẹ
- Răng đau rõ rệt mỗi khi hai hàm chạm nhau
- Viêm nướu vùng rìa mão khiến vi khuẩn dễ tấn công vào chân răng và tủy
- Mùi hôi xuất hiện dai dẳng do mô tủy viêm hoặc mão sứ hở viền tích tụ vi khuẩn
- Răng bị viêm tủy lâu ngày có thể chuyển màu xám hoặc tối hơn so với các răng bên cạnh

Răng ê buốt khi ăn đồ lạnh
Trường hợp Nam bị đau nhói, ê buốt răng sau bọc sứ 3 tháng có thể liên quan đến viêm tủy răng hoặc viêm quanh chóp do răng bọc sứ chưa được điều chỉnh đúng, mão sứ quá cao, cộm, hoặc tủy bị tổn thương từ trước nhưng chưa điều trị triệt để. Nam nên đi kiểm tra tại các địa chỉ nha khoa uy tín để tránh viêm lan rộng, gây đau nhiều hơn hoặc ảnh hưởng sang những răng kế cận.
3. Răng bọc sứ bị viêm tủy phải làm gì?
Khi răng sứ bị viêm tủy cần thăm khám và chụp X-quang kiểm tra, sau đó chữa tủy và điều chỉnh lại mão sứ hoặc thay mão sứ mới, vệ sinh răng miệng đều đặn.
- Thăm khám và chụp phim X-quang: Bác sĩ sẽ kiểm tra khớp cắn, độ khít của mão sứ và tình trạng tủy qua phim X-quang. Đây là bước quan trọng để xác định mức độ viêm và hướng điều trị phù hợp.
- Trị tủy: Bác sĩ sẽ làm sạch ống tủy, loại bỏ mô tủy viêm và trám bít lại để chấm dứt đau nhức. Sau điều trị, răng sẽ được bọc lại mão mới nếu mão cũ không còn phù hợp.
- Chỉnh sửa mão sứ: Nếu nguyên nhân do mão sứ cộm cao hoặc lắp sai kỹ thuật, bác sĩ sẽ mài chỉnh để giảm áp lực lên răng. Việc chỉnh khớp cắn giúp loại bỏ các cơn đau khi cắn hoặc nhai.
- Thay mão sứ mới: Mão sứ hở khiến vi khuẩn dễ xâm nhập vào chân răng, cần thay mới để bảo vệ răng thật. Mão mới phải ôm sát viền lợi để tránh tái viêm.
- Vệ sinh răng miệng: Chải răng nhẹ nhàng và dùng chỉ nha khoa sẽ giúp hạn chế vi khuẩn quay lại vùng viêm. Giữ vệ sinh tốt giúp kéo dài tuổi thọ của mão sứ và ngăn tái viêm tủy.

Vệ sinh răng miệng đều đặn
4. Răng bọc sứ viêm tủy có nguy hiểm không?
Răng bọc sứ bị viêm tủy gây nguy hiểm, vì nếu không chữa sớm có thể dẫn đến đau nhức nhiều ngày, lan nhiễm sang vùng xương hàm, áp-xe, hôi miệng, răng đổi màu, yếu dần và thậm chí phải nhổ bỏ. Trường hợp nặng, nhiễm trùng còn có thể lan rộng, ảnh hưởng đến sức khỏe toàn thân.
Vì vậy, khi đau răng kéo dài trên 5–7 ngày hoặc đau buốt dữ dội sau khi bọc sứ, cần đi khám ngay để xử lý kịp thời.
Dịch vụ răng sứ tại Bệnh viện Thẩm mỹ Kangnam thực hiện bởi đội ngũ nha sĩ giàu kinh nghiệm, quy trình chuẩn hóa và trang thiết bị hiện đại, hạn chế tối đa nguy cơ viêm tủy sau bọc sứ. Khách hàng được thăm khám và chụp phim kỹ lưỡng trước khi điều trị, đảm bảo mão sứ khít sát, an toàn và bền lâu. Nếu có dấu hiệu bất thường, Kangnam luôn hỗ trợ kiểm tra và xử lý kịp thời để bảo vệ răng thật tối đa.
Bài viết liên quan
-Chuyên gia Tạo Hình và Tái Tạo Thẩm Mỹ
-Gần 20 năm kinh nghiệm
-Hơn 10.000+ ca phẩu thuật hàm mặt
-Chuyên gia Tạo Hình Vóc Dáng
-Hơn 20 năm kinh nghiệm
-Hơn 10.000+ ca phẫu thuật thành công
-Chuyên gia Chỉnh hình Hàm mặt
-Gần 20 năm kinh nghiệm
-Hơn 10.000+ ca thẩm mỹ mũi
-Chuyên gia thẩm mỹ mũi
-Gần 20 năm kinh nghiệm
-Hơn 10.000+ ca thẩm mỹ mũi
-Chuyên gia da liễu – Trẻ hóa
-15 năm kinh nghiệm
-Hơn 20.000+ ca điều trị da
-Bác sĩ chỉnh hình hàm mặt
-Hơn 10 năm kinh nghiệm
-Hơn 5.000 ca hàm mặt thành công
Có nên trồng răng implant không? Có an toàn không
Bác sĩ ơi, em mất răng hàm đã lâu. Không biết có nên trồng răng Implant không và phương pháp này có thực sự bền như mọi người nói không ạ?
Trồng răng sứ có ảnh hưởng gì không? 6 rủi ro nên cân nhắc trước khi thực hiện
trồng răng sứ có ảnh hưởng gì không ạ? em đang muốn trồng mấy cái răng cửa nhưng thấy có một số người bảo không nên làm
Cách trồng răng sứ titan chuẩn Y khoa và hiệu quả
Bác sĩ ơi, em bị mất một răng hàm nhai. Em muốn trồng răng sứ Titan mà không biết quy trình thực hiện thế nào cho đúng ạ?
Các phương pháp trồng răng phổ biến hiện nay
Bác sĩ ơi, em bị mất răng hàm và muốn trồng lại, nhưng thấy có nhiều phương pháp quá. Không biết hiện nay có những phương pháp trồng răng nào và em nên chọn loại nào phù hợp?
Bọc răng sứ mất bao nhiêu ngày? Cách rút ngắn thời gian bọc răng sứ
bọc răng sứ mất bao nhiêu ngày ạ, có tốn thời gian không, mình đang có việc ở Hà Nội nên muốn tiện bọc răng sứ luôn vì ở đây nhiều nha khoa uy tín
Bảng giá trồng răng mới nhất năm 2026
Chào bác sĩ, tôi muốn xem bảng giá trồng răng hiện nay để cân nhắc xem có phù hợp với tài chính không. Không biết trồng Implant, cầu răng và hàm tháo lắp giá bao nhiêu?




Hãy để lại bình luận của bạn bên dưới!
Nhập thông tin của bạn
×