Chào Thanh Tùng,
Bọc răng sứ 500k không được đánh giá an toàn hay chất lượng vì thường sử dụng răng sứ kim loại giá rẻ, không rõ nguồn gốc, dễ oxy hóa trong môi trường miệng, dẫn đến đen viền nướu, ê buốt răng, thậm chí viêm tủy, hỏng răng thật.

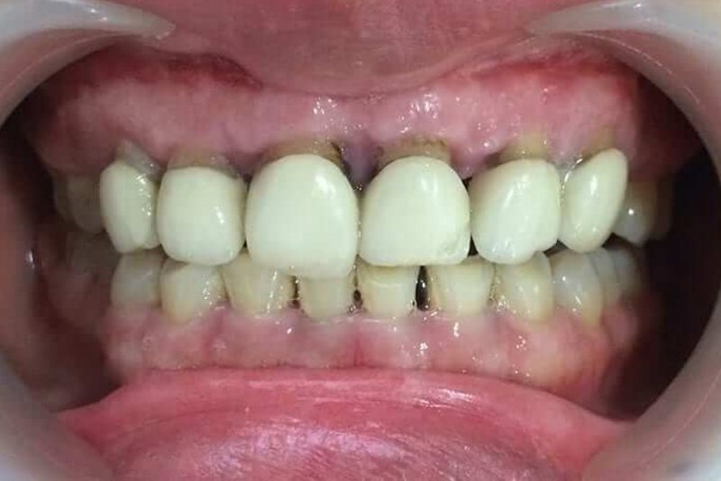
Bọc răng sứ giá rẻ bị đen viền nướu
1. Vì sao có nơi bọc răng sứ chỉ 500k?
Một số cơ sở bọc răng sứ chỉ 500k vì sử dụng vật liệu sứ giá rẻ, không rõ nguồn gốc, chủ yếu là răng sứ kim loại kém chất lượng. Các loại sứ này có lớp kim loại dễ bị oxy hóa trong môi trường miệng, dẫn đến đen viền nướu, viêm nhiễm và giảm tuổi thọ răng.
Bên cạnh đó, chi phí thấp thường đi kèm với quy trình tối giản, thiết bị lạc hậu và bác sĩ thiếu chuyên môn, giúp giảm giá thành nhưng lại tăng rủi ro cho răng thật. Vì vậy, mức giá 500k thực chất phản ánh việc cắt giảm vật liệu và chất lượng dịch vụ, không thể đảm bảo an toàn lâu dài.

Bọc răng sứ giá rẻ khoảng 500k dễ bị hư hỏng
2. Rủi ro khi bọc răng sứ 500k
Đen viền nướu, đau nhức răng, hỏng răng thật, lệch khớp cắn, hôi miệng, mão sứ nhanh gãy và có nguy cơ mất răng vĩnh viễn là những rủi ro có thể gặp phải khi bọc răng sứ giá rẻ 500k.
- Đen viền nướu: Răng sứ giá rẻ thường có lõi kim loại kém chất lượng. Khi tiếp xúc lâu dài với nước bọt và axit trong miệng, kim loại bị oxy hóa và làm vùng nướu quanh răng bị thâm đen.
- Hỏng răng thật: Bác sĩ không có chuyên môn dễ mài quá nhiều mô răng thật hoặc mài sai trục. Điều này khiến răng yếu đi, dễ ê buốt hoặc tổn thương tủy.
- Đau nhức răng: Vật liệu không tương thích hoặc mão sứ chế tạo không chuẩn khiến áp lực truyền xuống tủy. Tủy răng bị kích ứng có thể gây đau kéo dài, thậm chí viêm tủy.
- Lệch khớp cắn: Mão sứ giá rẻ thường không được thiết kế chuẩn khớp cắn. Điều này gây cộm, lệch hàm, làm nhai khó khăn và có thể dẫn đến đau khớp thái dương hàm.
- Hôi miệng: Khi mão sứ chế tác không chính xác, khe hở giữa mão và răng thật trở thành nơi tích tụ thức ăn, vi khuẩn. Đây là nguyên nhân gây hôi miệng và viêm nướu.
- Mão sứ nhanh gãy: Sứ rẻ có độ bền thấp, dễ bị nứt khi ăn nhai hoặc bong khỏi răng. Điều này không chỉ mất thẩm mỹ mà còn làm tổn hại răng thật bên dưới.
- Mất răng vĩnh viễn: Khi răng bị viêm tủy nặng hoặc nhiễm trùng lan rộng do bọc sứ kém chất lượng, răng thật có thể hỏng hoàn toàn và buộc phải nhổ bỏ. Đây là hậu quả nghiêm trọng nhất của việc chọn dịch vụ quá rẻ.

Bọc răng sứ kém chất lượng gây hôi miệng
3. Giá bọc răng sứ tiêu chuẩn trên thị trường là bao nhiêu?
Giá bọc răng sứ tiêu chuẩn trên thị trường dao động khoảng 1.000.000–14.000.000 tùy thuộc vào chất liệu răng sứ, hãng sản xuất và công nghệ chế tác. Thông thường răng sứ kim loại sẽ có mức giá thấp hơn răng toàn sứ.
Bảng giá răng sứ Tùng có thể tham khảo:
| Răng sứ | Chi phí (VNĐ) |
| Răng toàn diện kim loại Cr- Co | 1.000.000 |
| Răng sứ Titan | 1.500.000 |
| Răng sứ Venus – Gói Tiêu chuẩn | 3.000.000 |
| Răng toàn sứ Emax Zic – Tiêu chuẩn | 4.500.000 |
| Răng toàn sứ Cercon – Tiêu chuẩn | 4.500.000 |
| Răng Toàn Sứ Lava Plus – 3M ESPE & Emax Zic Cad – Gói Tiêu chuẩn | 6.000.000 |
| Răng toàn sứ thẩm mỹ 4S Paris – Cao cấp | 7.500.000 |
| Răng toàn sứ thẩm mỹ 5S Paris- Cao cấp | 7.500.000 |
| Răng toàn sứ thẩm mỹ Kim cương Paris Cao cấp | 10.000000 |
| Răng toàn sứ cao cấp (Lava Plus…) | 8.000.000 – 14.000.000 |
4. Tùng nên chọn răng sứ nào phù hợp?
Nhìn chung, bọc răng sứ giá 500k/ răng không được xem là an toàn vì đa phần sử dụng răng sứ kim loại rẻ tiền, dễ oxy hóa, gây đen viền nướu, đau nhức. Mức giá này thấp là do vật liệu kém chất lượng và quy trình thực hiện không đảm bảo.
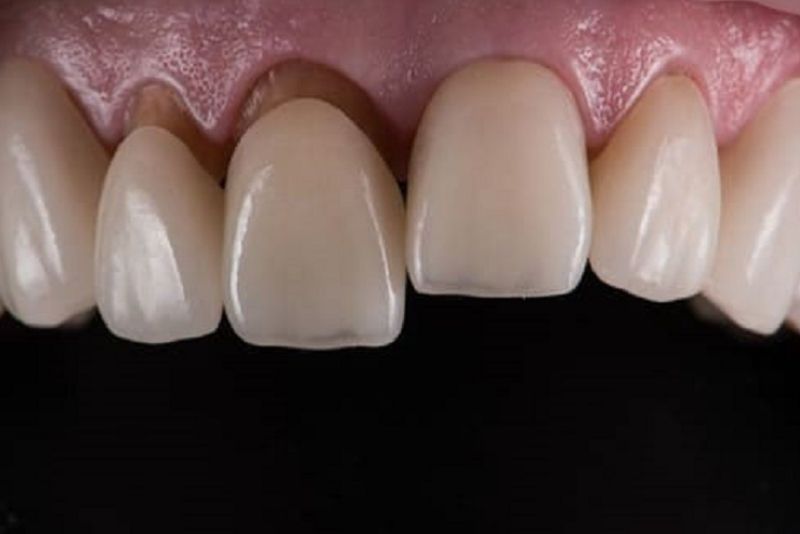
Nếu Tùng muốn phục hình răng bền đẹp và an toàn, nên chọn răng toàn sứ (như Emax, Cercon…) vì chất liệu ổn định, không gây thâm nướu, độ bền cao và an toàn với răng thật, giá khoảng 4,500,000 VNĐ. Đây là lựa chọn phù hợp để đảm bảo thẩm mỹ lâu dài và sức khỏe răng miệng.

Răng toàn sứ chất lượng, không bị đen viền
Tại Bệnh viện Thẩm mỹ Kangnam, khách hàng được sử dụng răng sứ cao cấp, rõ ràng nguồn gốc, ứng dụng công nghệ thiết kế nụ cười hiện đại và thực hiện bởi bác sĩ nhiều kinh nghiệm. Nhờ đó, răng sau phục hình có độ khít sát cao, thẩm mỹ tự nhiên và duy trì độ bền lâu dài.
Bài viết liên quan
-Chuyên gia Tạo Hình và Tái Tạo Thẩm Mỹ
-Gần 20 năm kinh nghiệm
-Hơn 10.000+ ca phẩu thuật hàm mặt
-Chuyên gia Tạo Hình Vóc Dáng
-Hơn 20 năm kinh nghiệm
-Hơn 10.000+ ca phẫu thuật thành công
-Chuyên gia Chỉnh hình Hàm mặt
-Gần 20 năm kinh nghiệm
-Hơn 10.000+ ca thẩm mỹ mũi
-Chuyên gia thẩm mỹ mũi
-Gần 20 năm kinh nghiệm
-Hơn 10.000+ ca thẩm mỹ mũi
-Chuyên gia da liễu – Trẻ hóa
-15 năm kinh nghiệm
-Hơn 20.000+ ca điều trị da
-Bác sĩ chỉnh hình hàm mặt
-Hơn 10 năm kinh nghiệm
-Hơn 5.000 ca hàm mặt thành công
Có nên trồng răng implant không? Có an toàn không
Bác sĩ ơi, em mất răng hàm đã lâu. Không biết có nên trồng răng Implant không và phương pháp này có thực sự bền như mọi người nói không ạ?
Trồng răng sứ có ảnh hưởng gì không? 6 rủi ro nên cân nhắc trước khi thực hiện
trồng răng sứ có ảnh hưởng gì không ạ? em đang muốn trồng mấy cái răng cửa nhưng thấy có một số người bảo không nên làm
Cách trồng răng sứ titan chuẩn Y khoa và hiệu quả
Bác sĩ ơi, em bị mất một răng hàm nhai. Em muốn trồng răng sứ Titan mà không biết quy trình thực hiện thế nào cho đúng ạ?
Các phương pháp trồng răng phổ biến hiện nay
Bác sĩ ơi, em bị mất răng hàm và muốn trồng lại, nhưng thấy có nhiều phương pháp quá. Không biết hiện nay có những phương pháp trồng răng nào và em nên chọn loại nào phù hợp?
Bọc răng sứ mất bao nhiêu ngày? Cách rút ngắn thời gian bọc răng sứ
bọc răng sứ mất bao nhiêu ngày ạ, có tốn thời gian không, mình đang có việc ở Hà Nội nên muốn tiện bọc răng sứ luôn vì ở đây nhiều nha khoa uy tín
Bảng giá trồng răng mới nhất năm 2026
Chào bác sĩ, tôi muốn xem bảng giá trồng răng hiện nay để cân nhắc xem có phù hợp với tài chính không. Không biết trồng Implant, cầu răng và hàm tháo lắp giá bao nhiêu?




Hãy để lại bình luận của bạn bên dưới!
Nhập thông tin của bạn
×