Chào Hằng,
Bọc răng sứ có thể ảnh hưởng đến sức khỏe răng miệng nếu làm sai kỹ thuật, gây ê buốt, viêm tủy, viêm nướu, hôi miệng hoặc sâu răng bên dưới. Ngược lại, nếu được bác sĩ chuyên môn thực hiện đúng quy trình, vật liệu đạt chuẩn và chăm sóc đúng cách, bọc răng sứ không gây hại sức khỏe và còn bảo vệ, phục hồi chức năng ăn nhai.

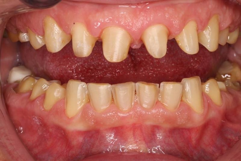
Bọc răng sứ gây ê buốt nếu thực hiện sai kỹ thuật
1. Bọc răng sứ ảnh hưởng đến sức khỏe trong những trường hợp nào?
Bọc răng sứ có thể ảnh hưởng đến sức khỏe răng miệng khi mài răng quá nhiều, bọc sứ khi răng sâu, viêm nha chu, dùng mão sứ kém chất lượng… khiến răng thật và mô quanh răng bị tổn thương theo thời gian.
Những trường hợp bọc răng sứ có thể ảnh hưởng đến sức khỏe:
- Mài răng quá nhiều, xâm lấn sâu vào men và ngà răng, làm răng yếu, dễ ê buốt hoặc viêm tủy
- Bọc sứ khi răng đang sâu, viêm tủy, viêm nha chu nhưng chưa được điều trị triệt để
- Mão sứ chế tác không sát khít, hở viền gây giắt thức ăn, viêm nướu, hôi miệng, sâu răng bên dưới
- Sử dụng vật liệu sứ kém chất lượng, không rõ nguồn gốc, dễ nứt vỡ và kích ứng mô nướu
- Thực hiện tại cơ sở thiếu chuyên môn, bác sĩ tay nghề thấp, quy trình không đảm bảo vô trùng
- Không chăm sóc răng miệng sau khi bọc sứ

Mài răng quá nhiều khiến răng yếu
Với trường hợp răng của Hằng xỉn màu, bọc răng sứ không ảnh hưởng đến sức khỏe hay răng thật nếu được chỉ định đúng và thực hiện đúng kỹ thuật. Bác sĩ chỉ mài một lớp men răng rất mỏng để chụp mão sứ, không xâm lấn tủy hay cấu trúc răng bên trong.
2. Ảnh hưởng CÓ THỂ gặp khi bọc răng sứ sai kỹ thuật
Bọc răng sứ sai kỹ thuật có thể gây tổn thương răng thật và mô quanh răng, ảnh hưởng trực tiếp đến chức năng ăn nhai, thẩm mỹ và sức khỏe răng miệng.
Những ảnh hưởng CÓ THỂ gặp khi bọc răng sứ sai kỹ thuật:
- Ê buốt, đau nhức: Mài răng quá mức hoặc xâm lấn gần tủy khiến răng trở nên nhạy cảm với nóng, lạnh.
- Viêm tủy răng: Bọc sứ khi răng đang viêm hoặc thao tác kỹ thuật không đúng có thể khiến vi khuẩn xâm nhập vào tủy.
- Viêm nướu, hở cổ chân răng: Mão sứ không sát khít tạo kẽ hở khiến thức ăn và vi khuẩn tích tụ quanh nướu. Lâu dài có thể dẫn đến viêm lợi, tụt nướu và hở cổ chân răng.
- Hôi miệng: Kẽ hở giữa răng sứ và răng thật là môi trường thuận lợi cho vi khuẩn phát triển. Đây là nguyên nhân phổ biến gây mùi hôi miệng dù vệ sinh răng miệng thường xuyên.
- Răng thật bên dưới bị sâu: Viền sứ hở khiến axit và vi khuẩn âm thầm tấn công răng thật bên trong. Nhiều trường hợp chỉ phát hiện khi răng đã hư hỏng nặng, cần tháo sứ để điều trị.
- Răng sứ nứt, vỡ hoặc lung lay: Khớp cắn không chuẩn hoặc vật liệu kém chất lượng làm răng sứ chịu lực sai cách, ảnh hưởng trực tiếp đến khả năng ăn nhai và tuổi thọ phục hình.
- Ảnh hưởng khớp cắn: Răng sứ thiết kế sai tỷ lệ có thể làm lệch khớp cắn, gây mỏi hàm hoặc đau khớp thái dương, hàm.

Viêm nướu, hở cổ chân răng do mão sứ không khít
Khuyến cáo chuyên môn: Để hạn chế tối đa các ảnh hưởng trên, bọc răng sứ cần được thực hiện đúng chỉ định, bởi bác sĩ răng hàm mặt có chuyên môn, sử dụng vật liệu đạt chuẩn và tuân thủ quy trình nha khoa an toàn.
3. Bọc răng sứ có ảnh hưởng đến phụ nữ mang thai, cho con bú không?
Bọc răng sứ có thể ảnh hưởng đến phụ nữ mang thai nếu thực hiện không đúng thời điểm, vì thay đổi nội tiết khiến nướu nhạy cảm, dễ viêm và ê buốt, đặc biệt. Hơn nữa, việc dùng thuốc, chụp X-quang cần hạn chế trong giai đoạn này.
Đối với phụ nữ đang cho con bú, bọc răng sứ không ảnh hưởng đến sữa mẹ, tuy nhiên cần thông báo cho bác sĩ để lựa chọn kỹ thuật an toàn.
4. Bọc răng sứ đúng cách mang lại lợi ích gì?
Bọc răng sứ đúng cách giúp phục hồi chức năng ăn nhai, cải thiện thẩm mỹ và bảo vệ răng thật lâu dài khi được thực hiện bởi bác sĩ chuyên môn, đúng chỉ định và đúng kỹ thuật.
Lợi ích của bọc răng sứ đúng cách:
- Khôi phục khả năng ăn nhai gần như răng thật, phân bố lực nhai ổn định
- Cải thiện thẩm mỹ, giúp răng đều đẹp, trắng sáng, tự nhiên
- Bảo vệ răng thật khỏi sâu răng, nứt vỡ, mòn men
- Hạn chế ê buốt, viêm nướu nhờ mão sứ sát khít, tương thích sinh học
- Tuổi thọ răng sứ cao, sử dụng bền lâu nếu chăm sóc đúng cách

Bọc sứ tăng tính thẩm mỹ cho hàm răng
5. Làm sao để bọc răng sứ an toàn?
Bọc răng sứ an toàn khi được chỉ định đúng, thực hiện bởi bác sĩ có chuyên môn, thao tác chuẩn, sử dụng mão sứ chất lượng và chăm sóc đúng cách.
Cách bọc răng sứ an toàn:
- Thăm khám và chẩn đoán chính xác: Bác sĩ cần kiểm tra răng, nướu, tủy và xương hàm bằng thăm khám lâm sàng và X-quang để xác định có đủ điều kiện bọc sứ hay không.
- Chỉ định đúng trường hợp: Chỉ bọc răng sứ khi răng thật còn khả năng bảo tồn, không lạm dụng bọc sứ cho răng khỏe.
- Bác sĩ chuyên môn cao: Tay nghề bác sĩ quyết định độ an toàn, đặc biệt ở bước mài răng, lấy dấu và gắn mão sứ sát khít.
- Mài răng bảo tồn: Mài đúng tỷ lệ, hạn chế xâm lấn men răng, không ảnh hưởng tủy.
- Sử dụng vật liệu sứ chất lượng: Ưu tiên mão sứ chính hãng, tương thích sinh học cao để tránh kích ứng nướu.
- Quy trình vô trùng: Đảm bảo an toàn, hạn chế nhiễm trùng và biến chứng.
- Chăm sóc và tái khám định kỳ: Vệ sinh răng miệng đúng cách và kiểm tra định kỳ giúp răng sứ bền, an toàn lâu dài.
Tại Bệnh viện Thẩm mỹ Kangnam, dịch vụ bọc răng sứ thực hiện bởi đội ngũ bác sĩ răng hàm mặt giàu kinh nghiệm, tuân thủ quy trình chuẩn y khoa, sử dụng vật liệu sứ chính hãng và công nghệ hiện đại, đảm bảo an toàn, bảo tồn răng thật và mang lại hiệu quả thẩm mỹ bền vững cho khách hàng.
Bài viết liên quan
-Chuyên gia Tạo Hình và Tái Tạo Thẩm Mỹ
-Gần 20 năm kinh nghiệm
-Hơn 10.000+ ca phẩu thuật hàm mặt
-Chuyên gia Tạo Hình Vóc Dáng
-Hơn 20 năm kinh nghiệm
-Hơn 10.000+ ca phẫu thuật thành công
-Chuyên gia Chỉnh hình Hàm mặt
-Gần 20 năm kinh nghiệm
-Hơn 10.000+ ca thẩm mỹ mũi
-Chuyên gia thẩm mỹ mũi
-Gần 20 năm kinh nghiệm
-Hơn 10.000+ ca thẩm mỹ mũi
-Chuyên gia da liễu – Trẻ hóa
-15 năm kinh nghiệm
-Hơn 20.000+ ca điều trị da
-Bác sĩ chỉnh hình hàm mặt
-Hơn 10 năm kinh nghiệm
-Hơn 5.000 ca hàm mặt thành công
Có nên trồng răng implant không? Có an toàn không
Bác sĩ ơi, em mất răng hàm đã lâu. Không biết có nên trồng răng Implant không và phương pháp này có thực sự bền như mọi người nói không ạ?
Trồng răng sứ có ảnh hưởng gì không? 6 rủi ro nên cân nhắc trước khi thực hiện
trồng răng sứ có ảnh hưởng gì không ạ? em đang muốn trồng mấy cái răng cửa nhưng thấy có một số người bảo không nên làm
Cách trồng răng sứ titan chuẩn Y khoa và hiệu quả
Bác sĩ ơi, em bị mất một răng hàm nhai. Em muốn trồng răng sứ Titan mà không biết quy trình thực hiện thế nào cho đúng ạ?
Các phương pháp trồng răng phổ biến hiện nay
Bác sĩ ơi, em bị mất răng hàm và muốn trồng lại, nhưng thấy có nhiều phương pháp quá. Không biết hiện nay có những phương pháp trồng răng nào và em nên chọn loại nào phù hợp?
Bọc răng sứ mất bao nhiêu ngày? Cách rút ngắn thời gian bọc răng sứ
bọc răng sứ mất bao nhiêu ngày ạ, có tốn thời gian không, mình đang có việc ở Hà Nội nên muốn tiện bọc răng sứ luôn vì ở đây nhiều nha khoa uy tín
Bảng giá trồng răng mới nhất năm 2026
Chào bác sĩ, tôi muốn xem bảng giá trồng răng hiện nay để cân nhắc xem có phù hợp với tài chính không. Không biết trồng Implant, cầu răng và hàm tháo lắp giá bao nhiêu?




Hãy để lại bình luận của bạn bên dưới!
Nhập thông tin của bạn
×