Chào Lê Phương Anh,
Bọc răng sứ vẫn có thể tháo ra được bằng thiết bị tách mão sứ chuyên biệt, bởi bác sĩ có tay nghề cao. Tuy nhiên, thao tác này không nên lặp lại nhiều lần vì có thể ảnh hưởng đến cấu trúc răng, gây mòn men và tốn kém chi phí. Do đó chỉ nên tháo răng sứ khi mão bị hở, viêm hoặc sai kích thước.

Răng sứ có thể tháo ra được
1. Lý do cần tháo răng sứ
Khi răng sứ bị hở, lọt thức ăn, đau nhức, cộm, sứt, nứt, nướu thâm viêm sẽ cần tháo răng sứ để làm lại.
- Răng sứ bị hở, lọt thức ăn: Khi mão sứ không khít, thức ăn dễ mắc vào gây hôi miệng, viêm nướu. Để tránh nhiễm trùng và sâu răng bên trong, bác sĩ sẽ cần tháo ra và làm lại.
- Đau nhức răng: Nếu răng thật bên dưới bị viêm tủy hoặc kích ứng mà mão sứ không điều chỉnh được, cơn đau sẽ không tự hết. Trường hợp này cần tháo mão để kiểm tra và điều trị đúng nguyên nhân.
- Răng sứ bị cộm, lệch khớp cắn: Khi răng sứ cao hoặc sai vị trí sẽ gây tình trạng khó nhai, mỏi hàm và đau thái dương. Bác sĩ sẽ tháo ra để cân chỉnh lại khớp cắn cho đúng.
- Mão sứ bị sứt, nứt: Chất lượng mão sứ giảm hoặc va chạm mạnh có thể làm răng sứ hỏng. Khi đó cần tháo răng sứ cũ và thay mới để đảm bảo chức năng ăn nhai.
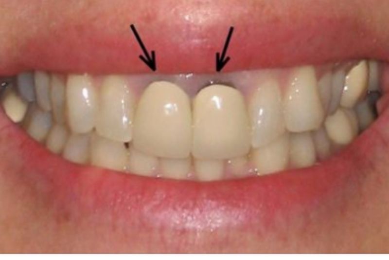
- Nướu bị thâm, viêm hoặc tụt nướu: Bọc không đúng kỹ thuật có thể khiến nướu bị kích ứng. Để xử lý triệt để, bác sĩ cần tháo mão sứ, điều trị nướu rồi phục hình lại.

Nướu thâm đen sau khi bọc sứ
2. Quy trình tháo răng sứ
Tháo răng sứ là kỹ thuật nha khoa được thực hiện khi mão sứ gặp vấn đề hoặc không còn phù hợp với răng thật bên dưới. Quy trình này đòi hỏi bác sĩ có chuyên môn và dụng cụ chuyên dụng để đảm bảo an toàn và không gây tổn hại đến răng gốc. Dưới đây là các bước tháo răng sứ đang được áp dụng phổ biến tại nha khoa.
- Bước 1: Thăm khám và kiểm rta
Bác sĩ đánh giá tình trạng mão sứ, răng thật bên dưới và vùng nướu xung quanh bằng mắt thường và X-quang. Việc này giúp xác định nguyên nhân cần tháo và lựa chọn phương pháp phù hợp.
- Bước 2: Vệ sinh, gây tê
Răng và nướu được làm sạch để tránh vi khuẩn xâm nhập trong quá trình thực hiện. Sau đó, bác sĩ gây tê nhẹ để khách hàng không cảm thấy đau hay khó chịu.
- Bước 3: Tách mão sứ bằng dụng cụ
Bác sĩ dùng mũi khoan hoặc thiết bị chuyên biệt để tạo một đường tách trên mão sứ. Kỹ thuật này bóc tách mão sứ mà không làm tổn thương răng thật bên trong. Sau đó, tách mão sứ khỏi răng bằng kẹp nha khoa hoặc thiết bị hỗ trợ, thao tác cẩn thận để tránh nứt răng thật hoặc gây đau.

Bác sĩ dùng dụng cụ tách mão sứ
- Bước 4: Kiểm tra răng thật
Sau khi tháo sứ, bề mặt răng được kiểm tra xem có sâu, viêm tủy hay mòn chân răng không. Nếu có vấn đề, bác sĩ sẽ điều trị ngay trước khi phục hình mới.
- Bước 5: Lấy dấu mão sứ mới
Nếu cần bọc lại, bác sĩ sẽ lấy dấu răng để thiết kế mão sứ mới khít sát và tự nhiên hơn. Khách hàng sẽ được gắn răng tạm trong thời gian chờ răng sứ mới hoàn thiện.
- Bước 6: Gắn mão sứ mới
Mão sứ mới được gắn bằng keo nha khoa chuyên dụng và điều chỉnh cho vừa vặn. Bác sĩ sẽ kiểm tra khớp cắn, độ khít và thẩm mỹ để đảm bảo khách hàng ăn nhai thoải mái.

Gắn răng sứ mới để bảo vệ răng thật
Trường hợp Phương Anh bị ê buốt nhiều ngày sau khi bọc răng sứ hoàn toàn có thể được bác sĩ kiểm tra và tháo mão sứ để đánh giá lại kỹ thuật. Tuy nhiên, việc tháo cần được thực hiện bởi bác sĩ có tay nghề và dụng cụ chuyên dụng để tránh làm tổn thương răng thật bên dưới. Nếu có dấu hiệu ê buốt nhiều người, Phương Anh nên đến nha khoa sớm để kiểm tra nguyên nhân và xử lý kịp thời.
TạiBệnh viện Thẩm mỹ Kangnam, quy trình bọc răng sứ được chuẩn hóa với công nghệ Perfect Smile độc quyền, xác định dáng răng và màu răng phù hợp gương mặt. Răng sứ sử dụng chất liệu cao cấp, bền chắc, khả năng chịu lực tốt và không gây kích ứng nướu.

Răng sứ cao cấp, bền đẹp
Công nghệ thiết kế nụ cười DSD giúp dự đoán kết quả trước khi thực hiện, đảm bảo bạn hài lòng về thẩm mỹ. Đặc biệt, bác sĩ phục hình có nhiều kinh nghiệm, thao tác chính xác, hạn chế xâm lấn và không gây ê buốt kéo dài cho khách hàng.
Bài viết liên quan
-Chuyên gia Tạo Hình và Tái Tạo Thẩm Mỹ
-Gần 20 năm kinh nghiệm
-Hơn 10.000+ ca phẩu thuật hàm mặt
-Chuyên gia Tạo Hình Vóc Dáng
-Hơn 20 năm kinh nghiệm
-Hơn 10.000+ ca phẫu thuật thành công
-Chuyên gia Chỉnh hình Hàm mặt
-Gần 20 năm kinh nghiệm
-Hơn 10.000+ ca thẩm mỹ mũi
-Chuyên gia thẩm mỹ mũi
-Gần 20 năm kinh nghiệm
-Hơn 10.000+ ca thẩm mỹ mũi
-Chuyên gia da liễu – Trẻ hóa
-15 năm kinh nghiệm
-Hơn 20.000+ ca điều trị da
-Bác sĩ chỉnh hình hàm mặt
-Hơn 10 năm kinh nghiệm
-Hơn 5.000 ca hàm mặt thành công
Có nên trồng răng implant không? Có an toàn không
Bác sĩ ơi, em mất răng hàm đã lâu. Không biết có nên trồng răng Implant không và phương pháp này có thực sự bền như mọi người nói không ạ?
Trồng răng sứ có ảnh hưởng gì không? 6 rủi ro nên cân nhắc trước khi thực hiện
trồng răng sứ có ảnh hưởng gì không ạ? em đang muốn trồng mấy cái răng cửa nhưng thấy có một số người bảo không nên làm
Cách trồng răng sứ titan chuẩn Y khoa và hiệu quả
Bác sĩ ơi, em bị mất một răng hàm nhai. Em muốn trồng răng sứ Titan mà không biết quy trình thực hiện thế nào cho đúng ạ?
Các phương pháp trồng răng phổ biến hiện nay
Bác sĩ ơi, em bị mất răng hàm và muốn trồng lại, nhưng thấy có nhiều phương pháp quá. Không biết hiện nay có những phương pháp trồng răng nào và em nên chọn loại nào phù hợp?
Bọc răng sứ mất bao nhiêu ngày? Cách rút ngắn thời gian bọc răng sứ
bọc răng sứ mất bao nhiêu ngày ạ, có tốn thời gian không, mình đang có việc ở Hà Nội nên muốn tiện bọc răng sứ luôn vì ở đây nhiều nha khoa uy tín
Bảng giá trồng răng mới nhất năm 2026
Chào bác sĩ, tôi muốn xem bảng giá trồng răng hiện nay để cân nhắc xem có phù hợp với tài chính không. Không biết trồng Implant, cầu răng và hàm tháo lắp giá bao nhiêu?




Hãy để lại bình luận của bạn bên dưới!
Nhập thông tin của bạn
×