Chào Ngọc Anh,
Trồng răng bắc cầu có thể phục hồi khả năng ăn nhai tốt, đạt khoảng 70% so với răng thật. Tuy nhiên, phương pháp này có độ bền không cao, tuổi thọ trung bình chỉ khoảng 5 – 7 năm và cần thay cầu răng mới sau thời gian này.

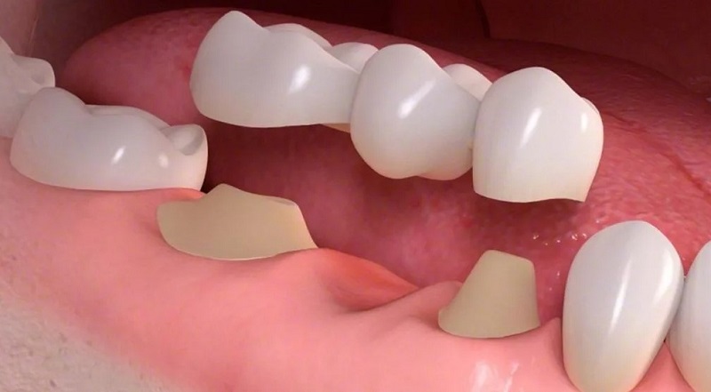
Trồng răng bắc cầu có chi phí thấp
1 . Khi nào trồng răng bắc cầu là lựa chọn TỐT?
Trồng răng bắc cầu được xem là lựa chọn phù hợp trong trường hợp mất từ 1–3 răng liền kề, khi các răng kế cận còn khỏe mạnh và đủ khả năng làm răng trụ.
- Răng trụ bên cạnh còn khỏe mạnh: Các răng kế cận cần đủ chắc khỏe để mài làm trụ nâng đỡ cầu răng, đảm bảo khả năng ăn nhai ổn định.
- Không thể hoặc không muốn cấy ghép Implant: Phù hợp với người có bệnh nền (tiểu đường, tim mạch, suy giảm miễn dịch), người lớn tuổi hoặc e ngại phẫu thuật.
- Ưu tiên chi phí ban đầu thấp hơn: So với Implant, trồng răng bắc cầu có mức chi phí dễ tiếp cận hơn, phù hợp với ngân sách hạn chế.
- Nhu cầu phục hình nhanh chóng: Thời gian thực hiện thường chỉ kéo dài vài ngày, giúp sớm khôi phục thẩm mỹ và chức năng ăn nhai.
- Xương hàm tại vị trí mất răng chưa tiêu biến nhiều: Nền xương còn tương đối ổn định sẽ giúp cầu răng bền chắc hơn trong quá trình sử dụng.
- Chấp nhận hạn chế về độ bền lâu dài: Tuổi thọ cầu răng thường khoảng 5 – 7 năm, có thể phải làm lại và vẫn tiềm ẩn nguy cơ tiêu xương hàm theo thời gian.

Trồng răng bắc cầu phù hợp với trường hợp răng kế cận còn khỏe mạnh
2. Khi nào trồng răng bắc cầu KHÔNG tốt?
Trồng răng bắc cầu không được khuyến khích nếu Ngọc Anh thuộc các trường hợp sau:
- Hai răng kế cận yếu, sâu lớn, lung lay
- Bị viêm nha chu, tụt lợi, tiêu xương
- Mất nhiều răng liên tiếp
- Muốn bảo tồn răng thật tối đa
- Người trẻ tuổi, có nhu cầu sử dụng răng lâu dài
Bởi vì khi làm cầu răng, bác sĩ bắt buộc phải mài răng thật, nếu răng trụ không đủ khỏe sẽ nhanh hỏng, dẫn đến phải điều trị lại hoặc thậm chí mất thêm răng.
3. Ưu điểm của trồng răng bắc cầu
Phương pháp trồng răng bắc cầu giúp phục hồi khả năng ăn nhai tương đối tốt, mang lại màu sắc răng tự nhiên, hài hòa với tổng thể khuôn mặt.
- Thẩm mỹ tự nhiên: Răng sứ được thiết kế sát với răng thật về màu sắc và hình dáng, khó nhận biết bằng mắt thường, giúp nụ cười trông đều đẹp và tự nhiên hơn.
- Phục hồi khả năng ăn nhai: Cầu răng sứ có độ cứng chắc cao, chịu lực nhai tốt, hỗ trợ nghiền thức ăn hiệu quả và đáp ứng nhu cầu ăn uống hằng ngày.
- Thời gian điều trị ngắn: Toàn bộ quá trình phục hình diễn ra nhanh, không kéo dài, phù hợp với những người cần trồng răng sớm.
- Chi phí hợp lý: So với phương pháp Implant, trồng răng bắc cầu có mức chi phí thấp hơn, dễ tiếp cận với nhiều đối tượng khách hàng.
- Hạn chế hậu quả do mất răng: Cầu răng giúp giữ vị trí các răng kế cận ổn định, tránh hiện tượng răng nghiêng lệch, sai khớp cắn và biến dạng khuôn mặt.

Tính thẩm mỹ của răng bắc cầu khá tự nhiên
4. Nhược điểm của phương pháp bắc cầu
Nhược điểm lớn nhất của phương pháp trồng răng bắc cầu cần phải mài nhỏ các răng thật để làm trụ, từ đó làm tổn thương men răng và ảnh hưởng đến sức khỏe răng trụ về lâu dài.
- Xâm lấn răng thật: Để làm cầu răng, bác sĩ buộc phải mài nhỏ ít nhất 2 răng khỏe mạnh hai bên răng mất. Việc này làm mất lớp men bảo vệ tự nhiên, khiến răng trụ dễ bị ê buốt, sâu răng và suy yếu theo thời gian.
- Không ngăn ngừa tiêu xương hàm: Cầu răng chỉ phục hình phần thân răng phía trên nướu, không có chân răng nhân tạo cắm vào xương hàm. Do không có lực kích thích sinh lý, xương hàm tại vị trí mất răng sẽ dần tiêu biến, dẫn đến tụt nướu, hóp má và làm khuôn mặt trông già hơn.
- Tuổi thọ có hạn: Trung bình, cầu răng chỉ duy trì được từ 5 – 7 năm. Sau thời gian này, răng trụ có thể yếu đi, cầu răng bị lỏng hoặc gãy, buộc phải làm lại, phát sinh thêm chi phí điều trị.
- Khó vệ sinh răng miệng: Khoảng trống bên dưới cầu răng là nơi thức ăn và mảng bám dễ mắc lại nhưng rất khó làm sạch. Nếu vệ sinh không đúng cách, người sử dụng dễ gặp tình trạng hôi miệng, viêm nướu và sâu răng trụ.
5. Lời khuyên dành cho Ngọc Anh
Với trường hợp mất răng số 5, nếu hai răng kế cận của Ngọc Anh còn khỏe, không viêm nhiễm và bạn muốn phục hình nhanh, trồng răng bắc cầu hoàn toàn có thể là lựa chọn tốt. Tuy nhiên, nếu chị mong muốn giải pháp bền vững, không ảnh hưởng răng thật và ngăn tiêu xương hàm, chị nên cân nhắc trồng răng Implant để sử dụng lâu dài và an toàn hơn.
Quan trọng nhất, chị nên thăm khám trực tiếp với bác sĩ Nha khoa để được chụp phim, đánh giá xương hàm và tư vấn phương án phù hợp nhất.
Bài viết liên quan
-Chuyên gia Tạo Hình và Tái Tạo Thẩm Mỹ
-Gần 20 năm kinh nghiệm
-Hơn 10.000+ ca phẩu thuật hàm mặt
-Chuyên gia Tạo Hình Vóc Dáng
-Hơn 20 năm kinh nghiệm
-Hơn 10.000+ ca phẫu thuật thành công
-Chuyên gia Chỉnh hình Hàm mặt
-Gần 20 năm kinh nghiệm
-Hơn 10.000+ ca thẩm mỹ mũi
-Chuyên gia thẩm mỹ mũi
-Gần 20 năm kinh nghiệm
-Hơn 10.000+ ca thẩm mỹ mũi
-Chuyên gia da liễu – Trẻ hóa
-15 năm kinh nghiệm
-Hơn 20.000+ ca điều trị da
-Bác sĩ chỉnh hình hàm mặt
-Hơn 10 năm kinh nghiệm
-Hơn 5.000 ca hàm mặt thành công
Có nên trồng răng implant không? Có an toàn không
Bác sĩ ơi, em mất răng hàm đã lâu. Không biết có nên trồng răng Implant không và phương pháp này có thực sự bền như mọi người nói không ạ?
Trồng răng sứ có ảnh hưởng gì không? 6 rủi ro nên cân nhắc trước khi thực hiện
trồng răng sứ có ảnh hưởng gì không ạ? em đang muốn trồng mấy cái răng cửa nhưng thấy có một số người bảo không nên làm
Cách trồng răng sứ titan chuẩn Y khoa và hiệu quả
Bác sĩ ơi, em bị mất một răng hàm nhai. Em muốn trồng răng sứ Titan mà không biết quy trình thực hiện thế nào cho đúng ạ?
Các phương pháp trồng răng phổ biến hiện nay
Bác sĩ ơi, em bị mất răng hàm và muốn trồng lại, nhưng thấy có nhiều phương pháp quá. Không biết hiện nay có những phương pháp trồng răng nào và em nên chọn loại nào phù hợp?
Bọc răng sứ mất bao nhiêu ngày? Cách rút ngắn thời gian bọc răng sứ
bọc răng sứ mất bao nhiêu ngày ạ, có tốn thời gian không, mình đang có việc ở Hà Nội nên muốn tiện bọc răng sứ luôn vì ở đây nhiều nha khoa uy tín
Bảng giá trồng răng mới nhất năm 2026
Chào bác sĩ, tôi muốn xem bảng giá trồng răng hiện nay để cân nhắc xem có phù hợp với tài chính không. Không biết trồng Implant, cầu răng và hàm tháo lắp giá bao nhiêu?




Hãy để lại bình luận của bạn bên dưới!
Nhập thông tin của bạn
×