Chào Trang,
Người bị tiêu xương hàm vẫn có thể trồng răng tùy vào mức độ tiêu xương và vị trí răng ở hàm trên hay hàm dưới, bác sĩ sẽ chỉ định khách hàng ghép xương hoặc nâng xoang để tái tạo đủ thể tích xương, giúp trụ implant tích hợp vững chắc. Việc phục hồi răng càng sớm càng tốt sẽ hạn chế tình trạng tiêu xương tiến triển và tăng khả năng thành công của quá trình cấy ghép.

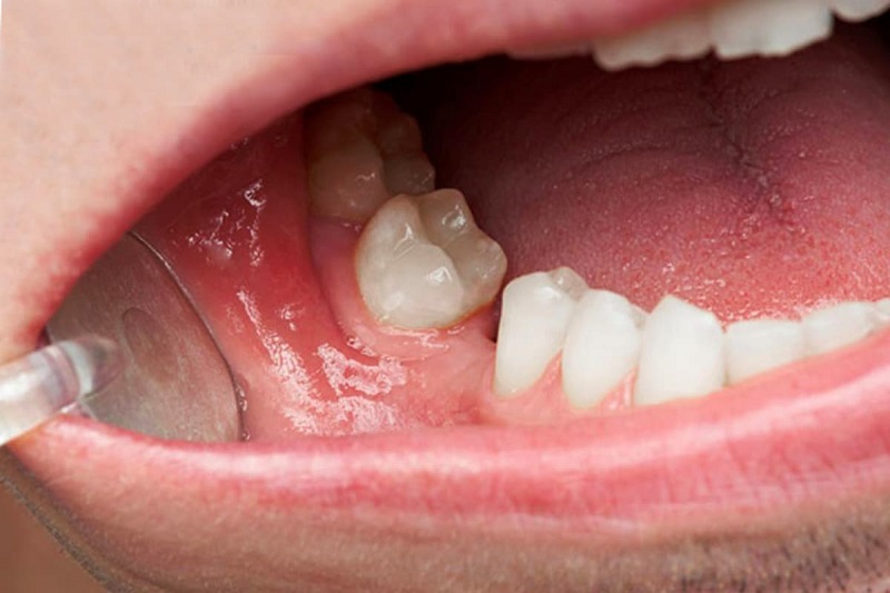
Răng hàm tiêu xương vẫn có thể trồng răng như bình thường
I/ Điều kiện xương hàm để trồng răng Implant
Để quá trình cấy ghép Implant diễn ra thuận lợi và đạt hiệu quả lâu dài, xương hàm cần phải đủ chắc khỏe, có độ cứng và thể tích phù hợp để nâng đỡ trụ Implant. Vùng xương dự định cấy ghép cũng cần đảm bảo không có viêm nhiễm hay tổn thương làm ảnh hưởng đến khả năng tích hợp của trụ.
Trong những trường hợp xương hàm bị tiêu, mật độ xương thấp hoặc xương quá mỏng, bác sĩ sẽ đánh giá chi tiết để lựa chọn phương án hỗ trợ phù hợp. Nếu lượng xương thiếu hụt nhiều, kỹ thuật ghép xương sẽ được áp dụng để tái tạo lại nền xương trước khi cấy Implant. Hiện nay có hai phương pháp ghép xương phổ biến:
- Ghép xương tự thân: Sử dụng chính xương của bệnh nhân để bổ sung vào vùng thiếu xương. Đây là phương pháp có tỉ lệ tương thích cao và thường cho kết quả tốt.
- Ghép xương nhân tạo: Dùng vật liệu xương nhân tạo để bù vào phần xương bị thiếu. Sau khi vùng ghép ổn định và đạt mật độ tiêu chuẩn, bác sĩ có thể tiến hành cấy trụ Implant như bình thường.
Nhờ các kỹ thuật hỗ trợ hiện đại, ngay cả những trường hợp thiếu xương nghiêm trọng vẫn có thể phục hồi và đủ điều kiện để trồng răng Implant an toàn.
II/ Các giải pháp phù hợp cho từng mức độ tiêu xương
Tùy vào tình trạng tiêu xương bác sĩ có thể chỉ định cắm Implant trực tiếp, ghép xương trước hoặc song song với cấy trụ để đảm bảo độ vững chắc. Trường hợp nặng cần kỹ thuật phức tạp hơn như nâng xoang hoặc kéo giãn xương.
- Tiêu xương nhẹ (6 – 12 tháng sau khi mất răng): Ở giai đoạn này, mật độ và chiều cao xương vẫn còn tương đối tốt nên có thể tiến hành cấy Implant ngay. Việc trồng răng sớm giúp khôi phục chức năng ăn nhai và hạn chế quá trình tiêu xương diễn ra thêm.
- Tiêu xương mức trung bình (1 – 3 năm): Lượng xương bị mất nhiều hơn, không đủ để nâng đỡ trụ Implant. Khi đó, bác sĩ sẽ chỉ định ghép xương sử dụng xương tự thân hoặc vật liệu xương nhân tạo trước hoặc song song với quá trình đặt trụ để đảm bảo độ vững chắc.
- Tiêu xương nặng (trên 5 năm): Trường hợp này cấu trúc xương hàm đã suy giảm nghiêm trọng, cần can thiệp những kỹ thuật phục hình phức tạp hơn như ghép xương số lượng lớn, nâng xoang hoặc kéo giãn xương nhằm tạo ra thể tích xương đủ để đặt Implant.
- Tiêu xương toàn bộ: Khi xương hàm đã tiêu hoàn toàn, giải pháp hiệu quả nhất là phục hình toàn hàm bằng Implant (All-on-4 hoặc All-on-6). Phương pháp này tận dụng những vùng xương còn tốt, giúp giảm thiểu hoặc không cần ghép xương phức tạp, mang lại hàm răng chắc chắn và ổn định.

Tùy thuộc vào mật độ xương bị tiêu bác sĩ sẽ tư vấn giải pháp phù hợp
IV/ Chú ý khi ghép xương trong cấy ghép Implant
Ghép xương cần được thực hiện bởi những Bác sĩ có chuyên môn và kinh nghiệm mới có thể thực hiện an toàn. Nếu tiến hành không đúng cách, khách hàng có thể gặp phải các biến chứng như thủng xoang, nhiễm trùng, hoặc xương bị đào thải, ảnh hưởng trực tiếp đến sức khỏe và chất lượng cuộc sống.
Để nâng cao tỷ lệ thành công của ca ghép xương, khách hàng nên tuân thủ một số lưu ý sau:
- Tránh hút thuốc và sử dụng rượu bia trước và sau khi điều trị.
- Uống thuốc đúng theo chỉ định của Bác sĩ.
- Vệ sinh răng miệng sạch sẽ để giảm nguy cơ nhiễm trùng.
- Thực hiện tái khám theo đúng lịch hẹn để Bác sĩ theo dõi quá trình phục hồi.

Bệnh viện Thẩm mỹ Kangnam được nhiều khách hàng tin tưởng
Với trường hợp của Trang bị tiêu xương hàm vẫn có thể trằng răng Implant được, tuy nhiên bạn nên đến các Nha khoa uy tín, có trang thiết bị hiện đại để bác sĩ thăm khám, đánh giá tình trạng và tư vấn giải pháp khắc phục phù hợp.
Bài viết liên quan
-Chuyên gia Tạo Hình và Tái Tạo Thẩm Mỹ
-Gần 20 năm kinh nghiệm
-Hơn 10.000+ ca phẩu thuật hàm mặt
-Chuyên gia Tạo Hình Vóc Dáng
-Hơn 20 năm kinh nghiệm
-Hơn 10.000+ ca phẫu thuật thành công
-Chuyên gia Chỉnh hình Hàm mặt
-Gần 20 năm kinh nghiệm
-Hơn 10.000+ ca thẩm mỹ mũi
-Chuyên gia thẩm mỹ mũi
-Gần 20 năm kinh nghiệm
-Hơn 10.000+ ca thẩm mỹ mũi
-Chuyên gia da liễu – Trẻ hóa
-15 năm kinh nghiệm
-Hơn 20.000+ ca điều trị da
-Bác sĩ chỉnh hình hàm mặt
-Hơn 10 năm kinh nghiệm
-Hơn 5.000 ca hàm mặt thành công
Có nên trồng răng implant không? Có an toàn không
Bác sĩ ơi, em mất răng hàm đã lâu. Không biết có nên trồng răng Implant không và phương pháp này có thực sự bền như mọi người nói không ạ?
Trồng răng sứ có ảnh hưởng gì không? 6 rủi ro nên cân nhắc trước khi thực hiện
trồng răng sứ có ảnh hưởng gì không ạ? em đang muốn trồng mấy cái răng cửa nhưng thấy có một số người bảo không nên làm
Cách trồng răng sứ titan chuẩn Y khoa và hiệu quả
Bác sĩ ơi, em bị mất một răng hàm nhai. Em muốn trồng răng sứ Titan mà không biết quy trình thực hiện thế nào cho đúng ạ?
Các phương pháp trồng răng phổ biến hiện nay
Bác sĩ ơi, em bị mất răng hàm và muốn trồng lại, nhưng thấy có nhiều phương pháp quá. Không biết hiện nay có những phương pháp trồng răng nào và em nên chọn loại nào phù hợp?
Bọc răng sứ mất bao nhiêu ngày? Cách rút ngắn thời gian bọc răng sứ
bọc răng sứ mất bao nhiêu ngày ạ, có tốn thời gian không, mình đang có việc ở Hà Nội nên muốn tiện bọc răng sứ luôn vì ở đây nhiều nha khoa uy tín
Bảng giá trồng răng mới nhất năm 2026
Chào bác sĩ, tôi muốn xem bảng giá trồng răng hiện nay để cân nhắc xem có phù hợp với tài chính không. Không biết trồng Implant, cầu răng và hàm tháo lắp giá bao nhiêu?




Hãy để lại bình luận của bạn bên dưới!
Nhập thông tin của bạn
×