Chào Hòa,
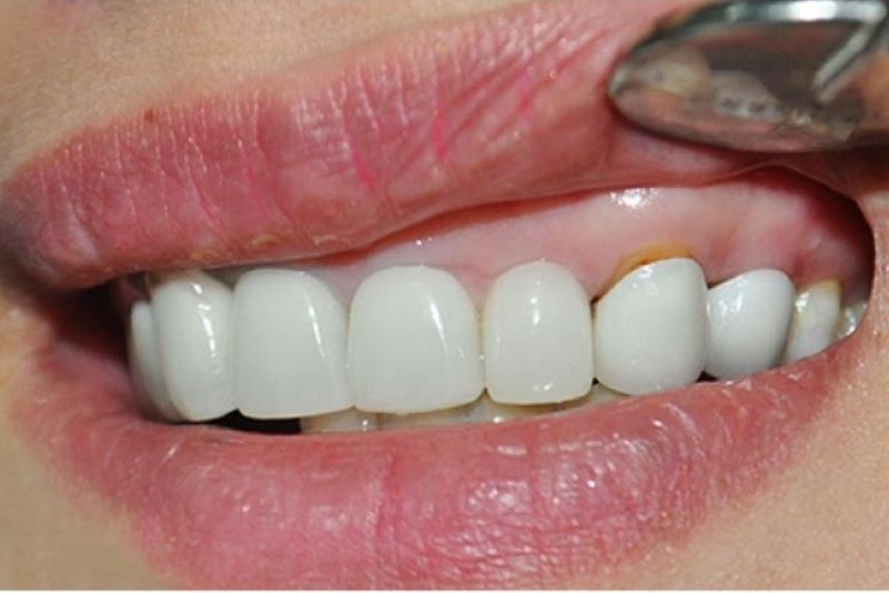
Răng sứ 800k là răng sứ kim loại cơ bản, phần khung sườn làm từ hợp kim như Niken-Crom hoặc Crom-Coban và phủ lớp sứ bên ngoài. Đây là dòng răng sứ giá rẻ nhất trên thị trường dao động từ 700.000 – 900.000 VNĐ/răng. Về chất lượng, răng sứ 800k đáp ứng chức năng ăn nhai cơ bản nhưng dễ xỉn màu, lộ viền đen nướu theo thời gian và độ thẩm mỹ không cao.

Răng sứ 800k là dòng răng sứ rẻ nhất
1. Răng sứ 800k phù hợp với ai?
Răng sứ 800k phù hợp với những khách hàng ưu tiên tiết kiệm chi phí và chỉ cần chức năng ăn nhai cơ bản, không quá quan trọng thẩm mỹ lâu dài. Đây là lựa chọn hợp lý nếu muốn phục hình nhanh, chi phí thấp nhưng vẫn đảo chức năng cơ bản.
Các trường hợp phù hợp:
- Khách hàng có ngân sách hạn chế, muốn bọc răng với chi phí thấp
- Răng cần phục hình ở vị trí ít lộ, không ảnh hưởng nhiều đến thẩm mỹ như răng hàm
- Muốn thử nghiệm hoặc phục hình tạm thời trước khi nâng cấp sang răng sứ cao cấp
- Cần ăn nhai ổn định nhưng không yêu cầu màu sắc và độ trong tự nhiên như răng thật
2. Nhược điểm của các loại răng sứ giá rẻ
Răng sứ giá rẻ tuy tiết kiệm chi phí nhưng thường dễ bị đen viền nướu, độ bền thấp, thẩm mỹ hạn chế, nguy cơ kích ứng nướu và tuổi thọ khá ngắn.
- Dễ bị đen viền nướu: Khung sườn kim loại bên trong có thể phản ứng oxy hóa theo thời gian, khiến nướu xung quanh răng xuất hiện viền đen, ảnh hưởng thẩm mỹ.
- Độ bền thấp hơn: Vật liệu hợp kim giá rẻ có khả năng chịu lực kém, dễ nứt vỡ hoặc mẻ khi ăn nhai mạnh hoặc lâu dài.
- Thẩm mỹ hạn chế: Lớp sứ phủ bên ngoài thường mỏng, màu sắc không tự nhiên và độ trong thấp, dễ bị xỉn hoặc khác tông so với răng thật.
- Nguy cơ kích ứng nướu: Một số hợp kim giá rẻ có thể không tương thích sinh học tốt, dẫn đến viêm nướu hoặc dị ứng nhẹ với khách hàng nhạy cảm.
- Tuổi thọ ngắn: Răng sứ giá rẻ thường chỉ dùng được 3–5 năm, nhanh phải thay mới so với răng toàn sứ cao cấp.

Răng sứ giá rẻ tính thẩm mỹ không cao
3. Nên chọn loại răng sứ nào tốt nhất?
Loại răng sứ tốt nhất là răng toàn sứ cao cấp như Cercon, Emax hay Lava, vì chúng vừa đảm bảo thẩm mỹ tự nhiên, màu sắc trong mờ gần giống răng thật, vừa có độ bền cao, chịu lực tốt và tương thích sinh học. So với răng sứ kim loại giá rẻ, răng toàn sứ không gây đen viền nướu, ít nguy cơ kích ứng nướu và tuổi thọ dài hơn, giúp khách hàng sử dụng lâu dài mà vẫn đẹp tự nhiên. Đây là lựa chọn tối ưu nếu ưu tiên cả chức năng ăn nhai, độ bền và tính thẩm mỹ.

Nên chọn răng sứ cao cấp như Cercon để vừa đảm bảo ăn nhai, vừa có tính thẩm mỹ
4. Lời khuyên bác sĩ cho Hòa
Các loại răng sứ giá rẻ khoảng 800k phù hợp nhu cầu tiết kiệm, tuy nhiên dễ bị đen viền nướu, xỉn màu và tuổi thọ ngắn hơn so với răng toàn sứ. Nếu Hòa ưu tiên thẩm mỹ lâu dài và an toàn cho nướu, nên cân nhắc chọn răng toàn sứ cao cấp thay vì răng sứ 800k.
Bệnh viện Thẩm mỹ Kangnam cung cấp dịch vụ bọc răng sứ theo quy trình chuẩn y khoa, kết hợp công nghệ thiết kế nụ cười DSD hiện đại, tạo răng sứ vừa khít, cân đối và hài hòa với từng khuôn mặt. Kangnam sử dụng các vật liệu sứ chất lượng cao như Cercon, Emax, đảm bảo độ bền lâu dài, màu sắc tự nhiên và tương thích sinh học tối ưu. Đội ngũ bác sĩ giàu kinh nghiệm trực tiếp thăm khám, tư vấn và thực hiện, mang đến hiệu quả thẩm mỹ tối ưu cùng chức năng ăn nhai ổn định.
Bài viết liên quan
-Chuyên gia Tạo Hình và Tái Tạo Thẩm Mỹ
-Gần 20 năm kinh nghiệm
-Hơn 10.000+ ca phẩu thuật hàm mặt
-Chuyên gia Tạo Hình Vóc Dáng
-Hơn 20 năm kinh nghiệm
-Hơn 10.000+ ca phẫu thuật thành công
-Chuyên gia Chỉnh hình Hàm mặt
-Gần 20 năm kinh nghiệm
-Hơn 10.000+ ca thẩm mỹ mũi
-Chuyên gia thẩm mỹ mũi
-Gần 20 năm kinh nghiệm
-Hơn 10.000+ ca thẩm mỹ mũi
-Chuyên gia da liễu – Trẻ hóa
-15 năm kinh nghiệm
-Hơn 20.000+ ca điều trị da
-Bác sĩ chỉnh hình hàm mặt
-Hơn 10 năm kinh nghiệm
-Hơn 5.000 ca hàm mặt thành công
Có nên trồng răng implant không? Có an toàn không
Bác sĩ ơi, em mất răng hàm đã lâu. Không biết có nên trồng răng Implant không và phương pháp này có thực sự bền như mọi người nói không ạ?
Trồng răng sứ có ảnh hưởng gì không? 6 rủi ro nên cân nhắc trước khi thực hiện
trồng răng sứ có ảnh hưởng gì không ạ? em đang muốn trồng mấy cái răng cửa nhưng thấy có một số người bảo không nên làm
Cách trồng răng sứ titan chuẩn Y khoa và hiệu quả
Bác sĩ ơi, em bị mất một răng hàm nhai. Em muốn trồng răng sứ Titan mà không biết quy trình thực hiện thế nào cho đúng ạ?
Các phương pháp trồng răng phổ biến hiện nay
Bác sĩ ơi, em bị mất răng hàm và muốn trồng lại, nhưng thấy có nhiều phương pháp quá. Không biết hiện nay có những phương pháp trồng răng nào và em nên chọn loại nào phù hợp?
Bọc răng sứ mất bao nhiêu ngày? Cách rút ngắn thời gian bọc răng sứ
bọc răng sứ mất bao nhiêu ngày ạ, có tốn thời gian không, mình đang có việc ở Hà Nội nên muốn tiện bọc răng sứ luôn vì ở đây nhiều nha khoa uy tín
Bảng giá trồng răng mới nhất năm 2026
Chào bác sĩ, tôi muốn xem bảng giá trồng răng hiện nay để cân nhắc xem có phù hợp với tài chính không. Không biết trồng Implant, cầu răng và hàm tháo lắp giá bao nhiêu?




Hãy để lại bình luận của bạn bên dưới!
Nhập thông tin của bạn
×