Chào Khoa,
Nhổ răng cấm nhưng không trồng lại sẽ gây ra nhiều biến chứng, làm giảm khả năng ăn nhai, ảnh hưởng đến chức năng ăn uống, nặng hơn có thể dẫn tới tiêu xương hàm. Do đó, bạn nên trồng răng cấm càng sớm càng tốt, từ 1 – 3 sau khi nhổ răng để bảo vệ khớp cắn và thẩm mỹ toàn hàm.

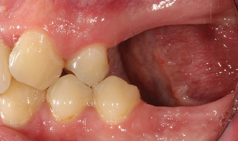
Cần trồng răng cấm ngay sau khi nhổ răng
1. Nhổ răng cấm không trồng lại có sao không? 4 hậu quả thường gặp
Mất răng cấm không được phục hồi sớm sẽ khiến răng xô lệch, xương hàm tiêu nhanh, khớp cắn mất cân bằng và răng đối diện trồi xuống, từ đó làm giảm chức năng nhai và gây khó khăn cho việc trồng răng về sau.
1.1 Răng bên cạnh nghiêng đổ vào khoảng trống
Răng cấm giúp giữ ổn định vị trí các răng xung quanh. Khi thiếu răng, khoảng trống tạo ra khiến răng hai bên tự nhiên nghiêng vào, gây lệch vị trí răng, chen chúc, khó vệ sinh, tăng nguy cơ sâu răng, viêm nướu và làm mất thẩm mỹ cung hàm.
1.2 Xương hàm tiêu dần
Khoảng 3–6 tháng sau khi mất răng, xương hàm bắt đầu teo lại do không còn chịu lực nhai, khiến xương hõm xuống, kém săn chắc, ảnh hưởng cấu trúc gương mặt, gây khó cấy Implant và có thể phải ghép xương.

Để khoảng trống quá lâu có thể bị tiêu xương
1.3 Lệch khớp cắn, nhai kém, mỏi quai hàm
Răng cấm khi bị mất một bên, lực nhai chuyển lệch sang bên còn lại, lâu dần dẫn đếmỏi khớp thái dương hàm, khó nhai thức ăn cứng, đau đầu, căng cơ mặt và rối loạn vận động và lệch khớp cắn.
1.4 Răng đối diện trồi xuống
Răng ở hàm đối diện có xu hướng trồi dài xuống khoảng trống do thiếu điểm chạm. Điều này gây lộ chân răng, ê buốt, lệch khớp cắn và khó phục hình răng thay thế về sau.
2. Khi nào bắt buộc phải trồng lại ngay?
Thời điểm phù hợp nhất để trồng lại răng cấm là 1 – 3 tháng sau nhổ, tùy vào tình trạng xương và phương pháp điều trị. Một số trường hợp có thể trồng tức thì nếu mô xương mô nướu đạt yêu cầu, những trường hợp phải ghép xương có thể cần chờ 3 – 6 tháng hoặc lâu hơn để đảm bảo an toàn.
- Cấy Implant tức thì sau nhổ: Áp dụng khi xương hàm còn chắc khỏe, mô nướu không viêm và vùng nhổ sạch. Việc cấy trụ ngay giúp hạn chế tiêu xương và rút ngắn đáng kể thời gian điều trị.
- Sau nhổ 1 – 2 tháng: Giai đoạn này Khoa có thể lựa chọn cầu răng sứ, hàm giả tháo lắp hoặc cấy Implant nếu mật độ xương vẫn đáp ứng tiêu chuẩn.
- Sau nhổ 2 – 3 tháng: Đây là thời điểm lý tưởng để cấy Implant cho các răng hàm lớn như răng số 6, 7, 8 khi xương hàm bắt đầu ổn định và khả năng tích hợp trụ đạt hiệu quả cao.

Trồng răng Implant giúp cải thiện chức năng ăn nhai, ngăn ngừa tiêu xương
3. Nếu để quá lâu mới trồng lại răng cấm thì sao?
Nếu để quá lâu không trồng răng cấm, khoảng trống mất răng khiến các răng kế cận dần nghiêng đổ, phá vỡ khớp cắn và khiến việc ăn nhai kém ổn định. Xương hàm tại vị trí này cũng bị tiêu dần do không còn lực kích thích, dẫn đến hóp má, khuôn mặt lão hóa nhanh và thiếu cân đối.
- Răng xô lệch, mất ổn định khớp cắn: Các răng lân cận sẽ từ từ nghiêng vào khoảng trống mất răng, gây lệch lạc toàn hàm và làm tăng nguy cơ lung lay răng thật.
- Tiêu xương hàm, gương mặt lão hóa: Xương hàm không được kích thích bởi lực nhai sẽ teo lại, khiến má hóp, da mặt chảy xệ và khuôn mặt trông già hơn tuổi.
- Suy giảm chức năng ăn nhai: Răng cấm giữ vai trò nghiền nát thức ăn. Khi thiếu răng này, lực nhai giảm mạnh, thức ăn không được xử lý kỹ, ảnh hưởng đến dạ dày và hệ tiêu hóa.
- Tăng nguy cơ bệnh lý răng miệng: Khoảng trống dễ tích tụ mảng bám, khiến vi khuẩn phát triển mạnh. Điều này dẫn đến viêm nướu, sâu răng, viêm nha chu và thậm chí mất thêm răng nếu không can thiệp sớm.
- Ảnh hưởng thẩm mỹ và sự tự tin: Xương hàm tiêu, răng lệch lạc và nụ cười kém hài hòa khiến gương mặt mất cân đối và làm bạn tự ti khi giao tiếp.
Với trường hợp của Duy Khoa, bác sĩ khuyên bạn nên trồng răng cấm càng sớm càng tốt, tránh để răng kế cận tiếp tục nghiêng và xương hàm tiêu thêm. Nếu hiện tại chưa tiêu xương nhiều, Khoa có thể cấy Implant trực tiếp, trường hợp đã có dấu hiệu tiêu xương, bác sĩ sẽ đánh giá để xem có cần ghép xương hay không.
Bài viết liên quan
-Chuyên gia Tạo Hình và Tái Tạo Thẩm Mỹ
-Gần 20 năm kinh nghiệm
-Hơn 10.000+ ca phẩu thuật hàm mặt
-Chuyên gia Tạo Hình Vóc Dáng
-Hơn 20 năm kinh nghiệm
-Hơn 10.000+ ca phẫu thuật thành công
-Chuyên gia Chỉnh hình Hàm mặt
-Gần 20 năm kinh nghiệm
-Hơn 10.000+ ca thẩm mỹ mũi
-Chuyên gia thẩm mỹ mũi
-Gần 20 năm kinh nghiệm
-Hơn 10.000+ ca thẩm mỹ mũi
-Chuyên gia da liễu – Trẻ hóa
-15 năm kinh nghiệm
-Hơn 20.000+ ca điều trị da
-Bác sĩ chỉnh hình hàm mặt
-Hơn 10 năm kinh nghiệm
-Hơn 5.000 ca hàm mặt thành công
Có nên trồng răng implant không? Có an toàn không
Bác sĩ ơi, em mất răng hàm đã lâu. Không biết có nên trồng răng Implant không và phương pháp này có thực sự bền như mọi người nói không ạ?
Trồng răng sứ có ảnh hưởng gì không? 6 rủi ro nên cân nhắc trước khi thực hiện
trồng răng sứ có ảnh hưởng gì không ạ? em đang muốn trồng mấy cái răng cửa nhưng thấy có một số người bảo không nên làm
Cách trồng răng sứ titan chuẩn Y khoa và hiệu quả
Bác sĩ ơi, em bị mất một răng hàm nhai. Em muốn trồng răng sứ Titan mà không biết quy trình thực hiện thế nào cho đúng ạ?
Các phương pháp trồng răng phổ biến hiện nay
Bác sĩ ơi, em bị mất răng hàm và muốn trồng lại, nhưng thấy có nhiều phương pháp quá. Không biết hiện nay có những phương pháp trồng răng nào và em nên chọn loại nào phù hợp?
Bọc răng sứ mất bao nhiêu ngày? Cách rút ngắn thời gian bọc răng sứ
bọc răng sứ mất bao nhiêu ngày ạ, có tốn thời gian không, mình đang có việc ở Hà Nội nên muốn tiện bọc răng sứ luôn vì ở đây nhiều nha khoa uy tín
Bảng giá trồng răng mới nhất năm 2026
Chào bác sĩ, tôi muốn xem bảng giá trồng răng hiện nay để cân nhắc xem có phù hợp với tài chính không. Không biết trồng Implant, cầu răng và hàm tháo lắp giá bao nhiêu?




Hãy để lại bình luận của bạn bên dưới!
Nhập thông tin của bạn
×