Chào Lan,
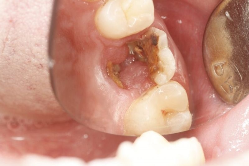
Sau khi lấy tủy nên bọc sứ, vì răng triệt tủy rất giòn, dễ nứt vỡ và suy yếu theo thời gian. Bọc răng sứ giúp bảo vệ phần răng còn lại, hạn chế gãy vỡ, phù hợp răng sâu nặng, mất nhiều mô răng hoặc chịu lực nhai lớn.

Nên bọc sứ sau khi lấy tủy răng
1. Tại sao cần bọc răng sứ sau khi lấy tủy?
Cần bọc răng sứ sau khi lấy tủy để bảo vệ răng khỏi bị gãy vỡ, sứt mẻ vì răng mất tủy sẽ yếu đi, giòn và không được nuôi dưỡng. Đồng thời khôi phục chức năng ăn nhai, ngăn ngừa vi khuẩn xâm nhập, tránh hôi miệng, và cải thiện màu sắc răng bị sẫm.
- Bảo vệ cấu trúc răng: Sau khi lấy tủy, răng mất nguồn nuôi dưỡng nên giòn, khô và dễ nứt gãy, đặc biệt khi chịu lực ăn nhai. Mão sứ giúp bao bọc và gia cố răng hiệu quả.
- Khôi phục chức năng ăn nhai: Răng sứ có độ cứng cao, giúp tái tạo khả năng nghiền thức ăn, ăn nhai ổn định và hạn chế ảnh hưởng đến hệ tiêu hóa.
- Ngăn ngừa vi khuẩn xâm nhập: Lớp sứ đóng vai trò như hàng rào bảo vệ, ngăn thức ăn và vi khuẩn xâm nhập vào khoang tủy rỗng, giảm nguy cơ tái nhiễm, sâu răng và hôi miệng.
- Cải thiện thẩm mỹ: Răng sau điều trị tủy thường sẫm màu hoặc xỉn màu. Bọc sứ phục hồi màu sắc tự nhiên, hài hòa với các răng còn lại.
- Giảm ê buốt: Mão sứ che phủ toàn bộ thân răng, giúp hạn chế cảm giác nhạy cảm khi ăn uống nóng lạnh.

Bọc sứ bảo vệ cấu trúc răng
2. Các trường hợp nên bọc răng sứ
Khi răng bị sâu vỡ lớn, đã chữa tủy, ố vàng nặng không tẩy trắng được, sứt mẻ, mòn men răng, răng thưa/hô/lệch nhẹ, hoặc mất răng (làm cầu răng) cần bọc mão sứ để phục hồi hình dáng, chức năng ăn nhai và thẩm mỹ.
Các trường hợp nên bọc răng sứ:
- Răng đã điều trị tủy, mô răng yếu và dễ nứt vỡ
- Răng mẻ, vỡ lớn, mòn men nặng
- Răng sẫm màu, xỉn màu, nhiễm kháng sinh khó tẩy trắng
- Răng hô, lệch nhẹ, thưa mức độ nhẹ đến vừa
- Răng có hình dáng xấu, kích thước không đều
- Răng đã trám lớn, trám nhiều lần, độ bền kém

Tình trạng răng vỡ lớn nên bọc sứ
3. Khi nào răng lấy tủy chưa cần bọc sứ ngay?
Răng đã lấy tủy chưa cần bọc sứ ngay trong một số trường hợp như: răng còn nhiều mô răng lành, cấu trúc thân răng vững chắc, vị trí răng ít chịu lực nhai (thường là răng cửa), và đã được trám kín tốt sau điều trị tủy. Khi đó, miếng trám có thể tạm thời bảo vệ răng và duy trì chức năng ăn nhai.
Tuy nhiên, do răng mất tủy sẽ giòn và dễ nứt vỡ theo thời gian, bác sĩ vẫn thường khuyến nghị bọc sứ ở giai đoạn phù hợp để bảo vệ răng lâu dài.
4. Lấy tủy răng xong nên bọc răng sứ nào?
Răng sau khi lấy tủy rất giòn và dễ nứt vỡ do mất nguồn nuôi dưỡng, vì vậy nên ưu tiên răng toàn sứ như Zirconia, Cercon, Emax để bảo vệ răng tối ưu. Các dòng sứ này có độ cứng cao, chịu lực tốt, ôm sát cùi răng và không gây đen viền nướu, khôi phục ăn nhai bền chắc và thẩm mỹ tự nhiên.
Việc lựa chọn loại sứ cụ thể sẽ dựa trên vị trí răng (răng cửa hay răng hàm), mức độ tổn thương và lực nhai, và cần được bác sĩ thăm khám trực tiếp để chỉ định phù hợp.

Dòng sứ Zirconia cao cấp, chắc chắn
5. Lời khuyên của bác sĩ dành cho Lan
Nếu răng hàm của Lan đã lấy tủy và còn thân răng thật không nhiều, tốt nhất nên bọc răng sứ trong thời gian sớm để bảo vệ răng, ăn nhai an toàn và tránh phát sinh điều trị phức tạp, tốn kém hơn về sau. Trường hợp răng còn rất chắc, bác sĩ có thể theo dõi ngắn hạn, tuy nhiên không nên trì hoãn quá lâu.
Vì răng hàm chịu lực nhai lớn nên khi bọc răng sứ sau khi lấy tủy, Lan nên ưu tiên các loại răng toàn sứ cao cấp như Zirconia, Cercon, Emax. Những loại này có độ cứng và chịu lực tốt, hạn chế nứt vỡ khi ăn nhai, đồng thời có màu sắc tự nhiên và an toàn cho nướu.
Tại Bệnh viện Thẩm mỹ Kangnam, dịch vụ bọc răng sứ thực hiện theo quy trình chuẩn y khoa, trực tiếp bởi đội ngũ bác sĩ Răng Hàm Mặt giàu kinh nghiệm. Kangnam ứng dụng công nghệ thiết kế nụ cười DSD/DSC hiện đại cùng vật liệu sứ chính hãng, giúp răng phục hình bền chắc, thẩm mỹ tự nhiên và ôm sát nướu.

Răng đều đẹp như răng thật
Khách hàng được thăm khám và tư vấn kỹ lưỡng để lựa chọn loại răng sứ phù hợp với tình trạng răng, nhu cầu thẩm mỹ và chi phí, đảm bảo ăn nhai ổn định, hiệu quả lâu dài và an tâm sử dụng.
Bài viết liên quan
-Chuyên gia Tạo Hình và Tái Tạo Thẩm Mỹ
-Gần 20 năm kinh nghiệm
-Hơn 10.000+ ca phẩu thuật hàm mặt
-Chuyên gia Tạo Hình Vóc Dáng
-Hơn 20 năm kinh nghiệm
-Hơn 10.000+ ca phẫu thuật thành công
-Chuyên gia Chỉnh hình Hàm mặt
-Gần 20 năm kinh nghiệm
-Hơn 10.000+ ca thẩm mỹ mũi
-Chuyên gia thẩm mỹ mũi
-Gần 20 năm kinh nghiệm
-Hơn 10.000+ ca thẩm mỹ mũi
-Chuyên gia da liễu – Trẻ hóa
-15 năm kinh nghiệm
-Hơn 20.000+ ca điều trị da
-Bác sĩ chỉnh hình hàm mặt
-Hơn 10 năm kinh nghiệm
-Hơn 5.000 ca hàm mặt thành công
Có nên trồng răng implant không? Có an toàn không
Bác sĩ ơi, em mất răng hàm đã lâu. Không biết có nên trồng răng Implant không và phương pháp này có thực sự bền như mọi người nói không ạ?
Trồng răng sứ có ảnh hưởng gì không? 6 rủi ro nên cân nhắc trước khi thực hiện
trồng răng sứ có ảnh hưởng gì không ạ? em đang muốn trồng mấy cái răng cửa nhưng thấy có một số người bảo không nên làm
Cách trồng răng sứ titan chuẩn Y khoa và hiệu quả
Bác sĩ ơi, em bị mất một răng hàm nhai. Em muốn trồng răng sứ Titan mà không biết quy trình thực hiện thế nào cho đúng ạ?
Các phương pháp trồng răng phổ biến hiện nay
Bác sĩ ơi, em bị mất răng hàm và muốn trồng lại, nhưng thấy có nhiều phương pháp quá. Không biết hiện nay có những phương pháp trồng răng nào và em nên chọn loại nào phù hợp?
Bọc răng sứ mất bao nhiêu ngày? Cách rút ngắn thời gian bọc răng sứ
bọc răng sứ mất bao nhiêu ngày ạ, có tốn thời gian không, mình đang có việc ở Hà Nội nên muốn tiện bọc răng sứ luôn vì ở đây nhiều nha khoa uy tín
Bảng giá trồng răng mới nhất năm 2026
Chào bác sĩ, tôi muốn xem bảng giá trồng răng hiện nay để cân nhắc xem có phù hợp với tài chính không. Không biết trồng Implant, cầu răng và hàm tháo lắp giá bao nhiêu?




Hãy để lại bình luận của bạn bên dưới!
Nhập thông tin của bạn
×