Chào Liên,
Bọc răng sứ không nguy hiểm nếu thực hiện đúng kỹ thuật và bởi bác sĩ nha khoa có chuyên môn. Tuy nhiên, nếu bọc răng sứ sai quy trình có thể xâm hại răng thật, ê buốt răng, viêm nướu, hở cổ răng, viêm tủy, hôi miệng, răng sứ nứt vỡ hoặc lung lay.

Bọc răng sứ an toàn khi thực hiện đúng kỹ thuật
1. Các nguy cơ tiềm ẩn khi bọc răng sứ sai kỹ thuật
Bọc răng sứ sai kỹ thuật có thể gây tổn hại răng thật, viêm nhiễm mô quanh răng, ảnh hưởng khớp cắn và làm giảm tuổi thọ răng sứ, dẫn đến nhiều biến chứng răng miệng lâu dài.
Các nguy cơ tiềm ẩn khi bọc răng sứ sai kỹ thuật:
- Xâm hại răng thật: Mài răng sai tỷ lệ làm mất nhiều men răng, khiến răng yếu và nhạy cảm. Lâu dài có thể dẫn đến ê buốt kéo dài hoặc phải điều trị tủy.
- Viêm tủy răng: Mài răng quá sâu hoặc không kiểm soát nhiệt độ khi mài dễ gây tổn thương tủy. Tình trạng này gây đau nhức âm ỉ, có thể tiến triển thành chết tủy nếu không xử lý kịp thời.
- Hở cổ răng, viêm nướu: Mão sứ không sát khít tạo khe hở cho vi khuẩn tích tụ. Điều này dễ gây viêm nướu, hôi miệng và tụt lợi theo thời gian.
- Rối loạn khớp cắn: Lắp răng sứ sai khớp cắn khiến lực nhai phân bố không đều, dẫn đến mỏi hàm, đau khớp thái dương hàm hoặc nứt vỡ răng sứ.
- Răng sứ nứt, vỡ hoặc lung lay: Chế tác và gắn răng sứ không chuẩn làm mão sứ chịu lực kém. Khi ăn nhai lâu dài, răng sứ dễ hỏng và phải thay lại sớm.

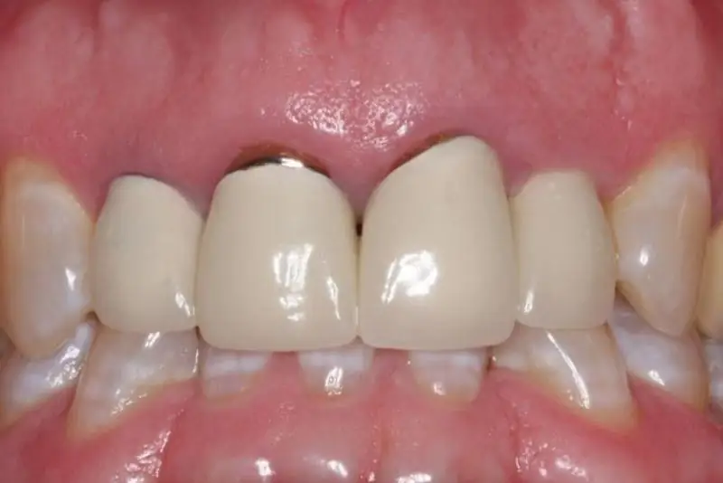
Hở cổ răng nếu lắp mão sứ không chuẩn
Những nguy cơ trên có thể được hạn chế nếu bọc răng sứ đúng chỉ định, đúng kỹ thuật và bởi bác sĩ nha khoa có kinh nghiệm, quy trình chuẩn y khoa.
Nếu răng của Liên chỉ xỉn màu nhẹ thì chưa cần bọc răng sứ, Liên nên ưu tiên tẩy trắng hoặc dán veneer để tránh mài răng thật. Bọc sứ chỉ nên làm khi có chỉ định của bác sĩ và nếu thực hiện đúng kỹ thuật tại nha khoa uy tín thì không nguy hiểm.
2. Dấu hiệu cảnh báo sau khi bọc răng sứ
Sau khi bọc răng sứ, nếu xuất hiện những dấu hiệu bất thường không thuyên giảm, đây có thể là cảnh báo răng sứ hoặc răng thật đang gặp vấn đề, cần được bác sĩ nha khoa kiểm tra sớm.
Dấu hiệu cảnh báo sau khi bọc răng sứ:
- Ê buốt, đau nhức nhiều ngày không thuyên giảm
- Răng đau hoặc cấn khi cắn
- Nướu sưng đỏ, chảy máu
- Hôi miệng dai dẳng
- Cảm giác răng lung lay hoặc cộm vướng
- Răng sứ đổi màu, viền nướu sậm

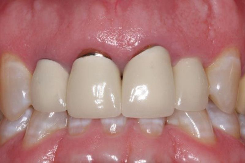
Răng sứ đổi màu sau một thời gian sử dụng
Khi xuất hiện các dấu hiệu trên, khách hàng nên tái khám sớm tại cơ sở nha khoa uy tín để được bác sĩ chuyên môn đánh giá và xử lý kịp thời, tránh biến chứng lâu dài.
3. Ai có nguy cơ mắc rủi ro cao khi bọc răng sứ?
Nguy cơ gặp rủi ro khi bọc răng sứ thường cao hơn ở những người có nền răng yếu, bệnh lý chưa được kiểm soát hoặc thói quen nghiến răng.
Những đối tượng có nguy cơ rủi ro cao khi bọc răng sứ:
- Có bệnh lý răng miệng như sâu răng, viêm tủy, viêm nướu hoặc viêm nha chu
- Răng thật yếu, nứt, mẻ lớn hoặc mất mô răng
- Tụt nướu, viêm nướu, răng lung lay
- Có thói quen nghiến răng
- Người bọc sứ tại cơ sở kém uy tín
4. Cách giảm thiểu rủi ro khi bọc răng sứ
Rủi ro khi bọc răng sứ có thể được giảm thiểu đáng kể nếu được thăm khám kỹ, điều trị bệnh lý răng miệng triệt để, lựa chọn nha khoa uy tín và tuân thủ đúng hướng dẫn chăm sóc sau phục hình.
Các cách giảm thiểu rủi ro khi bọc răng sứ:
- Thăm khám: Bác sĩ cần đánh giá toàn diện răng, nướu, khớp cắn và chụp X-quang khi cần. Chỉ bọc sứ khi có chỉ định rõ ràng, tránh làm răng không cần thiết gây xâm lấn men răng.
- Điều trị dứt điểm bệnh lý: Sâu răng, viêm tủy, viêm nướu, viêm nha chu phải được xử lý ổn định, giúp ngăn vi khuẩn phát triển dưới mão sứ và giảm nguy cơ viêm, đau nhức về sau.
- Lựa chọn nha khoa uy tín: Tay nghề bác sĩ quyết định độ chính xác khi mài răng, lấy dấu và chỉnh khớp cắn. Thực hiện đúng kỹ thuật giúp mão sứ sát khít, bền chắc và hạn chế biến chứng.
- Chọn loại răng sứ phù hợp: Răng sứ toàn sứ chất lượng cao có độ tương thích sinh học tốt, hạn chế kích ứng nướu và đen viền. Việc lựa chọn vật liệu cần dựa trên tình trạng răng và tư vấn chuyên môn.
- Kiểm soát khớp cắn: Bác sĩ cần điều chỉnh khớp cắn chính xác trước khi cố định mão sứ. Với người nghiến răng, cần kết hợp máng chống nghiến để bảo vệ răng sứ lâu dài.
- Chăm sóc và tái khám: Vệ sinh răng miệng đúng cách, hạn chế cắn đồ cứng và tái khám theo lịch giúp phát hiện sớm bất thường. Đây là yếu tố quan trọng để duy trì độ bền và an toàn của răng sứ theo thời gian.

Bọc răng sứ tại cơ sở uy tín để sở hữu hàm răng đều đẹp
Tại Bệnh viện Thẩm mỹ Kangnam, quy trình bọc răng sứ được thực hiện bởi đội ngũ bác sĩ chuyên khoa răng hàm mặt, thăm khám kỹ lưỡng và chỉ định đúng từng trường hợp, hạn chế tối đa rủi ro cho răng thật. Kangnam ứng dụng công nghệ chế tác răng sứ hiện đại, vật liệu chính hãng và quy trình kiểm soát vô trùng nghiêm ngặt, nhằm đảm bảo an toàn và hiệu quả lâu dài cho khách hàng.
Bài viết liên quan
-Chuyên gia Tạo Hình và Tái Tạo Thẩm Mỹ
-Gần 20 năm kinh nghiệm
-Hơn 10.000+ ca phẩu thuật hàm mặt
-Chuyên gia Tạo Hình Vóc Dáng
-Hơn 20 năm kinh nghiệm
-Hơn 10.000+ ca phẫu thuật thành công
-Chuyên gia Chỉnh hình Hàm mặt
-Gần 20 năm kinh nghiệm
-Hơn 10.000+ ca thẩm mỹ mũi
-Chuyên gia thẩm mỹ mũi
-Gần 20 năm kinh nghiệm
-Hơn 10.000+ ca thẩm mỹ mũi
-Chuyên gia da liễu – Trẻ hóa
-15 năm kinh nghiệm
-Hơn 20.000+ ca điều trị da
-Bác sĩ chỉnh hình hàm mặt
-Hơn 10 năm kinh nghiệm
-Hơn 5.000 ca hàm mặt thành công
Có nên trồng răng implant không? Có an toàn không
Bác sĩ ơi, em mất răng hàm đã lâu. Không biết có nên trồng răng Implant không và phương pháp này có thực sự bền như mọi người nói không ạ?
Trồng răng sứ có ảnh hưởng gì không? 6 rủi ro nên cân nhắc trước khi thực hiện
trồng răng sứ có ảnh hưởng gì không ạ? em đang muốn trồng mấy cái răng cửa nhưng thấy có một số người bảo không nên làm
Cách trồng răng sứ titan chuẩn Y khoa và hiệu quả
Bác sĩ ơi, em bị mất một răng hàm nhai. Em muốn trồng răng sứ Titan mà không biết quy trình thực hiện thế nào cho đúng ạ?
Các phương pháp trồng răng phổ biến hiện nay
Bác sĩ ơi, em bị mất răng hàm và muốn trồng lại, nhưng thấy có nhiều phương pháp quá. Không biết hiện nay có những phương pháp trồng răng nào và em nên chọn loại nào phù hợp?
Bọc răng sứ mất bao nhiêu ngày? Cách rút ngắn thời gian bọc răng sứ
bọc răng sứ mất bao nhiêu ngày ạ, có tốn thời gian không, mình đang có việc ở Hà Nội nên muốn tiện bọc răng sứ luôn vì ở đây nhiều nha khoa uy tín
Bảng giá trồng răng mới nhất năm 2026
Chào bác sĩ, tôi muốn xem bảng giá trồng răng hiện nay để cân nhắc xem có phù hợp với tài chính không. Không biết trồng Implant, cầu răng và hàm tháo lắp giá bao nhiêu?




Hãy để lại bình luận của bạn bên dưới!
Nhập thông tin của bạn
×