Chào Hương,
Trồng răng sứ hoàn toàn có thể tháo ra khi có chỉ định từ bác sĩ nha khoa. Răng sứ được gắn cố định bằng vật liệu chuyên dụng nên quá trình tháo răng sứ phải thực hiện bởi bác sĩ chuyên môn để không làm tổn thương răng thật, nướu hoặc trụ implant.

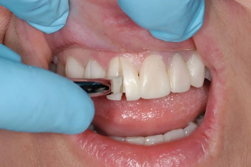
Trồng răng sứ tháo được khi có chỉ định
Trường hợp Hương trồng răng sứ đã 2 năm và thấy ê nhẹ, bác sĩ cần tháo mão sứ để kiểm tra răng thật bên trong, xem có hở viền, viêm nướu, sâu răng hoặc lệch khớp cắn hay không. Vì vậy Hương nên đi khám sớm tại cơ sở nha khoa uy tín để được kiểm tra an toàn.
1. Những trường hợp răng sứ CÓ THỂ và KHÔNG thể tháo ra
Răng sứ có thể tháo ra trong một số tình huống y khoa cần can thiệp hoặc điều chỉnh, nhưng không thể tháo tùy ý vì đây là phục hình cố định, chỉ bác sĩ nha khoa mới được thực hiện.
Những trường hợp răng sứ CÓ THỂ tháo ra:
- Răng sứ bị hở, lỏng, lệch khớp cắn gây cộm hoặc đau khi ăn nhai
- Cần điều trị bệnh lý bên trong như sâu răng, viêm tủy, viêm nướu, viêm quanh implant
- Mão sứ bị nứt, mẻ, đổi màu hoặc không còn đảm bảo thẩm mỹ – chức năng
- Cần thay mới răng sứ do hết tuổi thọ hoặc nâng cấp vật liệu tốt hơn
- Điều chỉnh phục hình trên implant (siết vít, xử lý trụ/abutment)

Răng sứ bị hở có thể cân nhắc tháo
Những trường hợp răng sứ KHÔNG nên hoặc KHÔNG thể tháo mão sứ:
- Răng sứ đang ổn định, sát khít, ăn nhai tốt và không có bệnh lý kèm theo
- Tháo răng sứ chỉ vì cảm giác chủ quan hoặc tò mò, không có chỉ định y khoa
- Tự ý tháo tại nhà hoặc tại cơ sở không đủ chuyên môn, dễ gây hỏng cùi răng, viêm nướu
- Răng thật yếu, cùi răng ngắn
Khuyến cáo chuyên môn: Tháo răng sứ phải được bác sĩ răng hàm mặt trực tiếp thăm khám và chỉ định, thực hiện bằng dụng cụ chuyên dụng để bảo vệ răng thật và đảm bảo an toàn lâu dài.
2. Tháo răng sứ có ảnh hưởng gì đến răng thật và sức khỏe răng miệng?
Tháo răng sứ có thể ảnh hưởng đến răng thật và sức khỏe răng miệng nếu thực hiện sai kỹ thuật. Mão sứ được gắn cố định bằng xi măng nha khoa, nếu tháo sai cách có thể làm tổn thương cùi răng, nứt răng thật, viêm nướu hoặc nhiễm trùng mô quanh răng.
Ngược lại, nếu được bác sĩ chuyên môn thực hiện bằng dụng cụ chuyên dụng và có chỉ định y khoa rõ ràng, quá trình tháo răng sứ an toàn, xử lý triệt để các vấn đề bên trong và bảo vệ răng thật về lâu dài.

Tháo răng sứ tại nha khoa để đảm bảo an toàn
3. Khi nào cần tháo răng sứ?
Răng sứ cần được tháo khi không còn đảm bảo độ sát khít, chức năng ăn nhai hoặc xuất hiện bệnh lý bên trong. Những trường hợp cần tháo răng sứ gồm:
- Răng sứ bị lỏng, hở viền, lệch khớp cắn gây cộm hoặc đau khi ăn nhai
- Ê buốt, đau nhức kéo dài nghi ngờ sâu răng, viêm tủy hoặc viêm nướu bên trong
- Mão sứ nứt, mẻ, vỡ hoặc đổi màu ảnh hưởng thẩm mỹ và độ bền
- Răng sứ hết tuổi thọ, không còn đáp ứng chức năng ăn nhai
- Cần điều chỉnh hoặc xử lý trụ, vít với răng sứ trên implant
- Bác sĩ chỉ định tháo để điều trị bệnh lý hoặc thay phục hình phù hợp hơn
4. Quy trình tháo răng sứ như thế nào?
Tháo răng sứ là thủ thuật nha khoa nhạy cảm, cần thực hiện bởi bác sĩ có chuyên môn và kinh nghiệm, sử dụng thiết bị hỗ trợ hiện đại để đảm bảo không làm tổn hại răng thật, nướu hay implant. Quy trình được thực hiện tuần tự theo các bước sau:
- Thăm khám và đánh giá: Bác sĩ kiểm tra răng sứ, nướu, cùi răng thật và khớp cắn. Kết hợp chụp X-quang nếu cần để đánh giá mức độ bám chắc và tình trạng bên trong.
- Lập kế hoạch tháo: Dựa trên tình trạng răng, bác sĩ xác định kỹ thuật tháo phù hợp và dụng cụ cần sử dụng. Đồng thời, tư vấn cho khách hàng về nguy cơ, thời gian và cách chăm sóc sau tháo.
- Gây tê và chuẩn bị: Gây tê tại chỗ để hạn chế ê buốt, chuẩn bị các dụng cụ chuyên dụng. Đảm bảo quá trình thao tác nhẹ nhàng, giảm nguy cơ tổn thương răng thật.
- Tháo răng sứ: Bác sĩ tháo mão sứ cẩn thận bằng dụng cụ nha khoa chuyên dụng, không làm hỏng cùi răng thật. Trong trường hợp răng sứ trên implant, điều chỉnh vít hoặc trụ theo hướng dẫn.
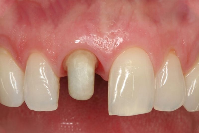
- Kiểm tra và vệ sinh: Kiểm tra cùi răng thật, nướu và khớp cắn sau khi tháo. Vệ sinh răng, loại bỏ mảng bám hoặc vật liệu dính để chuẩn bị cho phục hình mới hoặc điều trị tiếp theo.
- Hướng dẫn chăm sóc: Bác sĩ tư vấn chế độ ăn, vệ sinh răng miệng và lịch tái khám. Việc chăm sóc đúng cách giúp bảo vệ răng thật và duy trì sức khỏe nướu lâu dài.

Kiểm tra cùi răng thật sau khi tháo
Tại Bệnh viện Thẩm mỹ Kangnam, tất cả quy trình tháo và bọc răng sứ được thực hiện bởi bác sĩ chuyên môn cao, kết hợp công nghệ hiện đại và vật liệu sứ cao cấp, đảm bảo an toàn, bền đẹp và thẩm mỹ lâu dài cho khách hàng.
Bài viết liên quan
-Chuyên gia Tạo Hình và Tái Tạo Thẩm Mỹ
-Gần 20 năm kinh nghiệm
-Hơn 10.000+ ca phẩu thuật hàm mặt
-Chuyên gia Tạo Hình Vóc Dáng
-Hơn 20 năm kinh nghiệm
-Hơn 10.000+ ca phẫu thuật thành công
-Chuyên gia Chỉnh hình Hàm mặt
-Gần 20 năm kinh nghiệm
-Hơn 10.000+ ca thẩm mỹ mũi
-Chuyên gia thẩm mỹ mũi
-Gần 20 năm kinh nghiệm
-Hơn 10.000+ ca thẩm mỹ mũi
-Chuyên gia da liễu – Trẻ hóa
-15 năm kinh nghiệm
-Hơn 20.000+ ca điều trị da
-Bác sĩ chỉnh hình hàm mặt
-Hơn 10 năm kinh nghiệm
-Hơn 5.000 ca hàm mặt thành công
Có nên trồng răng implant không? Có an toàn không
Bác sĩ ơi, em mất răng hàm đã lâu. Không biết có nên trồng răng Implant không và phương pháp này có thực sự bền như mọi người nói không ạ?
Trồng răng sứ có ảnh hưởng gì không? 6 rủi ro nên cân nhắc trước khi thực hiện
trồng răng sứ có ảnh hưởng gì không ạ? em đang muốn trồng mấy cái răng cửa nhưng thấy có một số người bảo không nên làm
Cách trồng răng sứ titan chuẩn Y khoa và hiệu quả
Bác sĩ ơi, em bị mất một răng hàm nhai. Em muốn trồng răng sứ Titan mà không biết quy trình thực hiện thế nào cho đúng ạ?
Các phương pháp trồng răng phổ biến hiện nay
Bác sĩ ơi, em bị mất răng hàm và muốn trồng lại, nhưng thấy có nhiều phương pháp quá. Không biết hiện nay có những phương pháp trồng răng nào và em nên chọn loại nào phù hợp?
Bọc răng sứ mất bao nhiêu ngày? Cách rút ngắn thời gian bọc răng sứ
bọc răng sứ mất bao nhiêu ngày ạ, có tốn thời gian không, mình đang có việc ở Hà Nội nên muốn tiện bọc răng sứ luôn vì ở đây nhiều nha khoa uy tín
Bảng giá trồng răng mới nhất năm 2026
Chào bác sĩ, tôi muốn xem bảng giá trồng răng hiện nay để cân nhắc xem có phù hợp với tài chính không. Không biết trồng Implant, cầu răng và hàm tháo lắp giá bao nhiêu?




Hãy để lại bình luận của bạn bên dưới!
Nhập thông tin của bạn
×