Chào Quốc,
Tháo răng sứ không đau vì trước khi thực hiện, khách hàng sẽ tiêm tê bởi bác sĩ chuyên môn tại Nha khoa Kangnam. Sau đó, dùng dụng cụ chuyên dụng tách mão sứ ra khỏi răng trụ nhanh và ít xâm lấn. Sau thủ thuật, nếu có khó chịu nhẹ, khách hàng sẽ được dùng thuốc giảm đau để loại bỏ các cảm giác khó chịu.

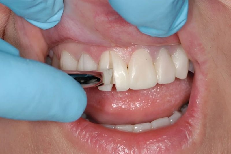
Tháo răng sứ được tiêm tê nên không đau
1. Trường hợp nào tháo răng sứ không đau?
Tháo răng sứ hầu như không đau trong trường hợp răng đã được lấy tủy trước đó. Khi tủy đã được loại bỏ, răng không còn hệ thống dây thần kinh cảm giác, vì vậy dù bác sĩ sử dụng lực để tách mão sứ thì khách hàng cũng không cảm nhận đau hay ê buốt. Trường hợp răng không còn tủy hầu như không cần gây tê khi tháo mão sứ.
Bên cạnh đó, kết hợp với kỹ thuật gây tê và dụng cụ tháo sứ chuyên dụng, quá trình thực hiện diễn ra rất nhẹ nhàng và an toàn cho răng trụ.

Kỹ thuật tháo răng nhẹ nhàng
2. Trường hợp nào tháo răng sứ có thể gây đau?
Trường hợp răng thật có bệnh lý, chưa lấy tủy, mão sứ bị kẹt, răng nứt, mẻ, viêm nha chu, có thể khiến quá trình lấy răng sứ gây ra cảm giác đau và cần gây tê.
- Răng có bệnh lý: Khi tháo mão sứ, phần răng thật bị viêm hoặc sâu sẽ bị tác động nên gây ê buốt, thậm chí nhói đau. Đây là trường hợp khá phổ biến vì bệnh lý bị “che lấp” dưới mão sứ.
- Răng chưa lấy tủy: Ở những răng còn tủy, việc tách mão sứ có thể kích thích dây thần kinh gây đau. Người có men răng mỏng hoặc răng nhạy cảm sinh lý càng dễ khó chịu hơn.
- Mão sứ bị kẹt sát viền: Nếu viền sứ ôm sát hoặc chèn vào mô nướu, khi tháo bác sĩ phải tác động vào vùng nướu đang viêm, dễ đau hoặc chảy máu nhẹ. Các nghiên cứu cho thấy mão sứ viền dày hoặc đặt sai vị trí thường gây viêm nướu mạn tính.
- Răng nứt, mẻ: Lực tách mão sứ có thể làm đường nứt lan rộng, gây nhói đau. Đây là lý do bác sĩ luôn phải chụp X-quang trước khi tháo để kiểm tra tính toàn vẹn thân răng.
- Kỹ thuật không phù hợp: Thiết bị tháo lạc hậu dễ tạo rung mạnh, gây đau hoặc ê kéo dài. Các phòng khám hiện đại dùng máy tách mão bằng sóng siêu âm giúp giảm đau và hạn chế xâm lấn.
- Viêm nha chu: Khi nướu bị viêm, chỉ cần va chạm nhẹ cũng có thể đau hoặc tức. Tháo sứ trong môi trường này dễ gây chảy máu và khó chịu nhiều hơn bình thường.
3. Quy trình tháo răng sứ
Tháo răng sứ là kỹ thuật cần sự chính xác để tránh ảnh hưởng đến răng thật và mô nướu. Nhờ các thiết bị nha khoa hiện đại và thao tác chuẩn xác, quá trình này diễn ra nhẹ nhàng, ít khó chịu. Dưới đây là quy trình tháo răng sứ được thực hiện theo từng bước rõ ràng:
Bước 1: Khám và chụp X-quang kiểm tra răng thật
Bác sĩ đánh giá tình trạng mão sứ, mô răng thật và nướu để xác định có viêm, sâu hay nứt răng không. Kết quả X-quang giúp lựa chọn kỹ thuật tháo phù hợp, tránh gây tổn thương cho răng.

Thăm khám qua phim chụp để kiểm tra
Bước 2: Vệ sinh và gây tê vùng cần tháo
Bác sĩ tiến hành làm sạch khoang miệng để loại bỏ mảng bám, giảm nguy cơ nhiễm khuẩn khi thao tác. Sau đó bác sĩ gây tê nhẹ để khách không bị đau trong quá trình tháo.
Bước 3: Làm lỏng hoặc cắt tách mão sứ
Bác sĩ sử dụng máy rung siêu âm hoặc dụng cụ chuyên dụng để làm lỏng lớp xi măng gắn mão sứ. Nếu mão quá cứng hoặc bị kẹt, bác sĩ sẽ cắt tách mão sứ theo đường an toàn mà không làm ảnh hưởng răng bên dưới.
Bước 4: Gỡ mão sứ ra khỏi răng thật
Sau khi mão đã được làm lỏng hoặc tách, bác sĩ nhẹ nhàng nhấc mão ra khỏi cùi răng. Bước này cần sự khéo léo để tránh chạm vào mô nướu hoặc làm nứt răng thật.
Bước 5: Kiểm tra và xử lý phần răng thật bên dưới
Răng thật được đánh giá lại xem có sâu, viêm, mẻ hay tổn thương nào không. Nếu phát hiện vấn đề, bác sĩ sẽ điều trị ngay trước khi làm mão mới để tránh đau nhức về sau.
Bước 6: Vệ sinh khoang miệng và hướng dẫn chăm sóc
Bác sĩ sẽ làm sạch răng trụ sau khi tháo sứ để loại bỏ xi măng cũ, mảng bám và vi khuẩn còn sót lại. Cuối cùng, khách được hướng dẫn cách vệ sinh, theo dõi cảm giác ê buốt và đặt lịch bọc lại mão sứ mới để bảo vệ răng trụ.
Quốc có thể yên tâm vì tháo răng sứ gần như không đau vì bác sĩ sẽ gây tê tại chỗ trước khi thực hiện. Hơn nữa, quy trình tháo răng sứ chỉ tác động lên lớp xi măng và mão sứ, không khoan vào răng thật, răng trụ hầu như không bị ảnh hưởng. Sau tháo, bác sĩ sẽ làm sạch và kiểm tra răng trụ rồi mới bọc lại.
4. Tháo răng sứ khi nào làm lại được?
Quốc có thể làm lại răng sứ ngay sau khi tháo nếu răng trụ khỏe, không viêm và không cần xử lý thêm. Tuy nhiên, nếu răng bị sâu, viêm nướu, viêm tủy hoặc cần chỉnh lại hình thể răng trụ, bác sĩ sẽ phải điều trị trước rồi mới tiến hành bọc lại để mão sứ mới bền và ôm khít hơn. Phục hình đúng thời điểm giúp tránh lộ răng trụ quá lâu, hạn chế ê buốt và ngăn vi khuẩn xâm nhập.
Tháo răng sứ là bước đầu để phục hình đẹp và bền hơn. Tại Bệnh viện Thẩm mỹ Kangnam, khách hàng được bọc sứ bằng vật liệu cao cấp, công nghệ hiện đại và bác sĩ giàu kinh nghiệm. Liên hệ ngay để được tư vấn và thiết kế nụ cười phù hợp.
Bài viết liên quan
-Chuyên gia Tạo Hình và Tái Tạo Thẩm Mỹ
-Gần 20 năm kinh nghiệm
-Hơn 10.000+ ca phẩu thuật hàm mặt
-Chuyên gia Tạo Hình Vóc Dáng
-Hơn 20 năm kinh nghiệm
-Hơn 10.000+ ca phẫu thuật thành công
-Chuyên gia Chỉnh hình Hàm mặt
-Gần 20 năm kinh nghiệm
-Hơn 10.000+ ca thẩm mỹ mũi
-Chuyên gia thẩm mỹ mũi
-Gần 20 năm kinh nghiệm
-Hơn 10.000+ ca thẩm mỹ mũi
-Chuyên gia da liễu – Trẻ hóa
-15 năm kinh nghiệm
-Hơn 20.000+ ca điều trị da
-Bác sĩ chỉnh hình hàm mặt
-Hơn 10 năm kinh nghiệm
-Hơn 5.000 ca hàm mặt thành công
Có nên trồng răng implant không? Có an toàn không
Bác sĩ ơi, em mất răng hàm đã lâu. Không biết có nên trồng răng Implant không và phương pháp này có thực sự bền như mọi người nói không ạ?
Trồng răng sứ có ảnh hưởng gì không? 6 rủi ro nên cân nhắc trước khi thực hiện
trồng răng sứ có ảnh hưởng gì không ạ? em đang muốn trồng mấy cái răng cửa nhưng thấy có một số người bảo không nên làm
Cách trồng răng sứ titan chuẩn Y khoa và hiệu quả
Bác sĩ ơi, em bị mất một răng hàm nhai. Em muốn trồng răng sứ Titan mà không biết quy trình thực hiện thế nào cho đúng ạ?
Các phương pháp trồng răng phổ biến hiện nay
Bác sĩ ơi, em bị mất răng hàm và muốn trồng lại, nhưng thấy có nhiều phương pháp quá. Không biết hiện nay có những phương pháp trồng răng nào và em nên chọn loại nào phù hợp?
Bọc răng sứ mất bao nhiêu ngày? Cách rút ngắn thời gian bọc răng sứ
bọc răng sứ mất bao nhiêu ngày ạ, có tốn thời gian không, mình đang có việc ở Hà Nội nên muốn tiện bọc răng sứ luôn vì ở đây nhiều nha khoa uy tín
Bảng giá trồng răng mới nhất năm 2026
Chào bác sĩ, tôi muốn xem bảng giá trồng răng hiện nay để cân nhắc xem có phù hợp với tài chính không. Không biết trồng Implant, cầu răng và hàm tháo lắp giá bao nhiêu?




Hãy để lại bình luận của bạn bên dưới!
Nhập thông tin của bạn
×