Chào bạn,
Răng sứ Titan có thể bị đen viền nướu, vì Titan thuộc nhóm răng sứ kim loại, phần lõi kim loại dễ bị oxy hóa trong môi trường miệng, từ đó làm nướu chuyển màu thâm đen. Đây là đặc điểm tự nhiên của răng sứ kim loại và khó tránh hoàn toàn theo thời gian.

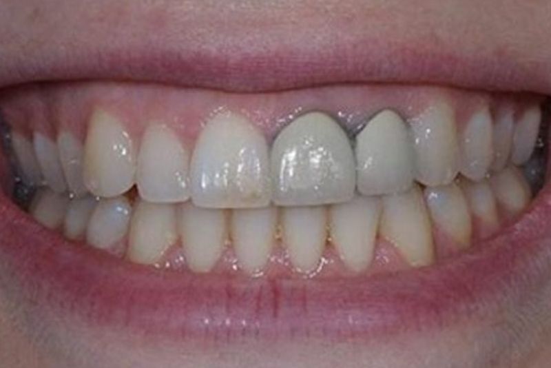
Đen viền nướu khi bọc răng sứ Titan
1. Nguyên nhân răng sứ Titan bị đen viền
Răng sứ Titan bị đen viền do oxy hóa, chất liệu không đảm bảo, kỹ thuật bọc răng chưa đúng hoặc do bệnh lý nướu.
- Oxy hóa kim loại: Lõi kim loại Titan bên trong răng sứ có thể bị oxy hóa khi tiếp xúc lâu dài với nước bọt và axit trong khoang miệng. Quá trình này khiến màu kim loại dần xỉn đi và tạo nên viền nướu thâm đen.
- Chất liệu không đảm bảo: Nếu lớp sứ phủ bên ngoài không đạt chuẩn, dễ mỏng hoặc mẻ, phần kim loại bên trong sẽ bị lộ ra. Khi tiếp xúc với môi trường miệng, kim loại lộ ra này nhanh chóng đổi màu và làm đen viền nướu.
- Kỹ thuật sai: Trường hợp mão sứ không ôm khít hoặc kỹ thuật mài cùi chưa chính xác sẽ tạo khe hở ở viền nướu. Đây là vị trí dễ tích tụ vi khuẩn, mảng bám và thúc đẩy quá trình oxy hóa kim loại.
- Bệnh lý nướu: Tình trạng viêm nha chu, tụt nướu hoặc sâu răng có thể làm nướu co lại và để lộ phần khung kim loại. Khi lớp kim loại này tiếp xúc trực tiếp với môi trường miệng, viền nướu sẽ dễ bị thâm đen theo thời gian.

Bệnh lý nướu cũng làm đen viền răng sứ
2. Cách hạn chế và khắc phục tình trạng đen viền nướu khi bọc răng sứ Titan
Chọn nha khoa uy tín, vệ sinh răng miệng đúng cách, khám răng định kỳ, hạn chế tác động mạnh và chọn răng toàn sứ để khắc phục tình trạng đen viền nướu khi bọc răng sứ Titan.
- Chọn nha khoa uy tín: Bác sĩ có trình độ sẽ thiết kế mão sứ ôm khít vào răng thật, hạn chế tối đa nguy cơ đen viền. Công nghệ chế tác chuẩn xác cũng góp phần giảm tình trạng hở kẽ hoặc lộ kim loại.
- Vệ sinh răng miệng đúng cách: Chải răng nhẹ nhàng với bàn chải lông mềm và sử dụng chỉ nha khoa làm sạch mảng bám quanh viền nướu. Khi khoang miệng sạch, quá trình oxy hóa kim loại sẽ diễn ra chậm hơn.
- Khám răng định kỳ: Kiểm tra răng miệng 3–6 tháng/lần phát hiện sớm dấu hiệu tụt nướu, viêm lợi hay hở viền răng sứ. Khi xử lý kịp thời, tình trạng đen viền sẽ không có cơ hội tiến triển nặng.
- Hạn chế tác động mạnh: Thói quen nhai đồ quá cứng hoặc thay đổi nhiệt độ đột ngột có thể làm tổn thương lớp sứ hoặc gây hở viền. Khi mão sứ bị ảnh hưởng, phần kim loại bên trong dễ lộ ra và đổi màu. Giữ thói quen ăn uống lành mạnh sẽ duy trì răng sứ lâu hơn.
- Chọn răng toàn sứ: Nếu đặt nặng yếu tố thẩm mỹ hoặc muốn tránh hoàn toàn tình trạng đen viền, răng toàn sứ là lựa chọn phù hợp hơn. Chất liệu sứ 100% không chứa kim loại nên không bị oxy hóa trong môi trường miệng.

Khách hàng sở hữu hàm răng trắng sáng sau khi bọc mão sứ
Việc bạn thấy nướu hơi thâm sau 5 năm là khá phổ biến với dòng răng sứ Titan. Bạn nên khám kiểm tra để bác sĩ đánh giá mức độ và tư vấn có cần xử lý hay thay mới không.
Tại Bệnh viện Thẩm mỹ Kangnam, quá trình phục hình răng sứ ứng dụng công nghệ Perfect Smile, sử dụng sứ cao cấp, không chứa kim loại nên không gây đen viền nướu. Bác sĩ áp dụng thiết kế DSD/CAD/CAM giúp mão sứ ôm khít, chuẩn xác và giữ thẩm mỹ lâu dài. Đây cũng là lựa chọn phù hợp nếu bạn muốn thay thế răng sứ Titan để có nụ cười bền đẹp hơn.
Bài viết liên quan
-Chuyên gia Tạo Hình và Tái Tạo Thẩm Mỹ
-Gần 20 năm kinh nghiệm
-Hơn 10.000+ ca phẩu thuật hàm mặt
-Chuyên gia Tạo Hình Vóc Dáng
-Hơn 20 năm kinh nghiệm
-Hơn 10.000+ ca phẫu thuật thành công
-Chuyên gia Chỉnh hình Hàm mặt
-Gần 20 năm kinh nghiệm
-Hơn 10.000+ ca thẩm mỹ mũi
-Chuyên gia thẩm mỹ mũi
-Gần 20 năm kinh nghiệm
-Hơn 10.000+ ca thẩm mỹ mũi
-Chuyên gia da liễu – Trẻ hóa
-15 năm kinh nghiệm
-Hơn 20.000+ ca điều trị da
-Bác sĩ chỉnh hình hàm mặt
-Hơn 10 năm kinh nghiệm
-Hơn 5.000 ca hàm mặt thành công
Có nên trồng răng implant không? Có an toàn không
Bác sĩ ơi, em mất răng hàm đã lâu. Không biết có nên trồng răng Implant không và phương pháp này có thực sự bền như mọi người nói không ạ?
Trồng răng sứ có ảnh hưởng gì không? 6 rủi ro nên cân nhắc trước khi thực hiện
trồng răng sứ có ảnh hưởng gì không ạ? em đang muốn trồng mấy cái răng cửa nhưng thấy có một số người bảo không nên làm
Cách trồng răng sứ titan chuẩn Y khoa và hiệu quả
Bác sĩ ơi, em bị mất một răng hàm nhai. Em muốn trồng răng sứ Titan mà không biết quy trình thực hiện thế nào cho đúng ạ?
Các phương pháp trồng răng phổ biến hiện nay
Bác sĩ ơi, em bị mất răng hàm và muốn trồng lại, nhưng thấy có nhiều phương pháp quá. Không biết hiện nay có những phương pháp trồng răng nào và em nên chọn loại nào phù hợp?
Bọc răng sứ mất bao nhiêu ngày? Cách rút ngắn thời gian bọc răng sứ
bọc răng sứ mất bao nhiêu ngày ạ, có tốn thời gian không, mình đang có việc ở Hà Nội nên muốn tiện bọc răng sứ luôn vì ở đây nhiều nha khoa uy tín
Bảng giá trồng răng mới nhất năm 2026
Chào bác sĩ, tôi muốn xem bảng giá trồng răng hiện nay để cân nhắc xem có phù hợp với tài chính không. Không biết trồng Implant, cầu răng và hàm tháo lắp giá bao nhiêu?




Hãy để lại bình luận của bạn bên dưới!
Nhập thông tin của bạn
×