Chào Minh,
Sau khi tháo răng sứ không thể lắp lại như ban đầu, vì cấu trúc răng trụ bên trong đã bị mài mòn, biến dạng nhẹ, mão sứ không còn khít với răng và nướu. Nếu cố lắp lại, mão sứ cũ sẽ tạo kẽ hở, dễ tích tụ vi khuẩn gây viêm nhiễm. Do đó sau khi tháo răng sứ cần thay thế bằng răng mới để đảm bảo độ bền.

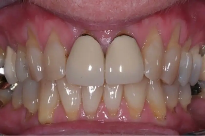
Khi đã tháo răng sứ thì không thể lắp lại mà cần thay mới
1. Lý do khiến răng sứ tháo ra không thể lắp lại
Khi tháo răng sứ, rất ít khi mão cũ có thể lắp lại như ban đầu do mão sứ đã biến dạng, răng trụ thay đổi hình dáng, răng giảm độ kín, không còn thẩm mỹ và tiềm ẩn một số rủi ro.
Những lý do răng sứ tháo ra không thể lắp lại
- Mão sứ bị biến dạng: Quá trình tháo ra có thể làm mão nứt, cong hoặc mất độ khít, khiến không còn ôm sát răng trụ. Điều này làm răng dễ dắt thức ăn và viêm nướu nếu cố lắp lại.
- Răng trụ thay đổi hình dạng: Sau một thời gian sử dụng, răng thật có thể mòn hoặc thay đổi kích thước nhẹ, khiến mão cũ không còn vừa khít, nếu gắn lại sẽ tạo kẽ hở và giảm tuổi thọ răng sứ.
- Giảm độ kín hoàn hảo: Mão cũ không còn khả năng khít tuyệt đối với răng trụ, tạo cơ hội cho vi khuẩn xâm nhập. Đây là nguyên nhân dễ dẫn đến sâu răng và viêm nướu.
- Khó đảm bảo thẩm mỹ: Việc gắn lại mão cũ có thể khiến màu sắc, hình dáng không còn đồng đều hoặc lệch so với các răng xung quanh, làm mất tính thẩm mỹ và khó đạt kết quả tự nhiên.
- Tiềm ẩn rủi ro lâu dài: Ngay cả khi mão cũ được lắp tạm ổn, về lâu dài vẫn có nguy cơ lỏng, vỡ hoặc hở cổ răng. Vì vậy, bác sĩ thường khuyên làm mão mới để đảm bảo an toàn và bền chắc.

Răng sứ cũ không đảm bảo tính thẩm mỹ và độ khít
2. Khi nào răng sứ có thể tháo và gắn lại?
Mọi trường hợp tháo răng sứ không thể lắp lại như cũ, vì răng sứ và răng trụ đã bị biến dạng, không còn khít sát và vừa vặn. Nếu cố gắn lại, sẽ tạo kẽ hở, dễ tích tụ vi khuẩn và gây viêm nướu. Vì vậy, trong mọi trường hợp, bác sĩ nha khoa luôn khuyên làm mão sứ mới để đảm bảo thẩm mỹ, độ bền và an toàn lâu dài.
3. Cách xử lý khi răng sứ bị cộm hoặc lộ viền
Hiệu chỉnh lại mão sứ, thay mão sứ, điều trị viêm nướu và kiểm tra lại kỹ thuật lắp răng là các cách để xử lý kịp thời giúp tránh ê buốt, viêm nướu và đảm bảo thẩm mỹ.
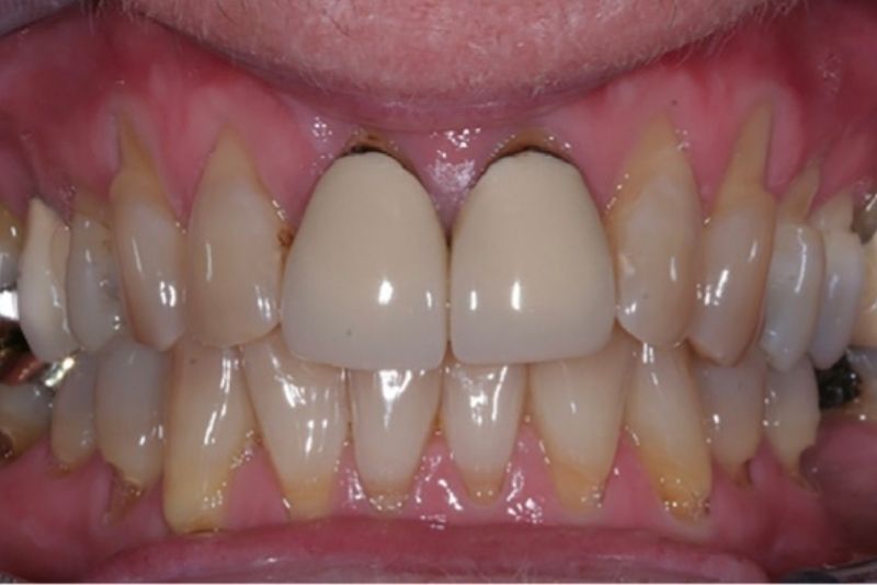
Cách xử lý khi răng sứ bị cộm hoặc lộ viền
- Hiệu chỉnh mão sứ tại nha khoa: Bác sĩ sẽ mài chỉnh hoặc tái lắp mão sứ để khớp sát với răng trụ, giúp người dùng ăn nhai dễ dàng và giảm cảm giác cộm.
- Thay mão sứ mới: Nếu mão cũ bị hở hoặc không thể điều chỉnh, làm mão sứ mới là giải pháp tối ưu. Mão mới sẽ khít sát răng trụ, đảm bảo độ kín và thẩm mỹ.
- Điều trị nướu nếu viêm: Khi viền răng lộ ra đã gây viêm nướu, bác sĩ sẽ làm sạch và điều trị nướu trước khi lắp lại mão sứ để giảm đau, sưng và ngăn vi khuẩn phát triển.
- Kiểm tra lại kỹ thuật lắp răng: Đôi khi răng cộm do thao tác lắp chưa chính xác, nha sĩ sẽ kiểm tra khớp cắn và điều chỉnh lực nhai. Đây là bước quan trọng để tránh ê buốt và mòn răng theo thời gian.

Cần chữa viêm nướu trước khi gắn răng sứ mới
Tóm lại, răng sứ sau khi tháo gần như không thể lắp lại như cũ vì mão sứ và răng trụ có thể bị biến dạng, không còn khít sát. Trường hợp Minh thấy răng sứ bị cộm nhẹ, bác sĩ thường khuyên làm mão mới để đảm bảo độ vừa vặn, thẩm mỹ và tránh vi khuẩn xâm nhập.
Bệnh viện Thẩm mỹ Kangnam ứng dụng công nghệ bọc răng sứ DSD/DSC hiện đại, hạn chế xâm lấn, không đau ê buốt và đảm bảo tính thẩm mỹ tự nhiên. Chất liệu sứ cao cấp kết hợp kỹ thuật bọc sứ chuyên biệt giúp răng bền chắc, khó bong bật, duy trì lâu dài. Đội ngũ bác sĩ nha khoa giàu kinh nghiệm sẽ thiết kế mão sứ phù hợp với khuôn hàm và nụ cười riêng của từng khách hàng, mang đến kết quả tự nhiên, hài hòa và an toàn.
Bài viết liên quan
-Chuyên gia Tạo Hình và Tái Tạo Thẩm Mỹ
-Gần 20 năm kinh nghiệm
-Hơn 10.000+ ca phẩu thuật hàm mặt
-Chuyên gia Tạo Hình Vóc Dáng
-Hơn 20 năm kinh nghiệm
-Hơn 10.000+ ca phẫu thuật thành công
-Chuyên gia Chỉnh hình Hàm mặt
-Gần 20 năm kinh nghiệm
-Hơn 10.000+ ca thẩm mỹ mũi
-Chuyên gia thẩm mỹ mũi
-Gần 20 năm kinh nghiệm
-Hơn 10.000+ ca thẩm mỹ mũi
-Chuyên gia da liễu – Trẻ hóa
-15 năm kinh nghiệm
-Hơn 20.000+ ca điều trị da
-Bác sĩ chỉnh hình hàm mặt
-Hơn 10 năm kinh nghiệm
-Hơn 5.000 ca hàm mặt thành công
Có nên trồng răng implant không? Có an toàn không
Bác sĩ ơi, em mất răng hàm đã lâu. Không biết có nên trồng răng Implant không và phương pháp này có thực sự bền như mọi người nói không ạ?
Trồng răng sứ có ảnh hưởng gì không? 6 rủi ro nên cân nhắc trước khi thực hiện
trồng răng sứ có ảnh hưởng gì không ạ? em đang muốn trồng mấy cái răng cửa nhưng thấy có một số người bảo không nên làm
Cách trồng răng sứ titan chuẩn Y khoa và hiệu quả
Bác sĩ ơi, em bị mất một răng hàm nhai. Em muốn trồng răng sứ Titan mà không biết quy trình thực hiện thế nào cho đúng ạ?
Các phương pháp trồng răng phổ biến hiện nay
Bác sĩ ơi, em bị mất răng hàm và muốn trồng lại, nhưng thấy có nhiều phương pháp quá. Không biết hiện nay có những phương pháp trồng răng nào và em nên chọn loại nào phù hợp?
Bọc răng sứ mất bao nhiêu ngày? Cách rút ngắn thời gian bọc răng sứ
bọc răng sứ mất bao nhiêu ngày ạ, có tốn thời gian không, mình đang có việc ở Hà Nội nên muốn tiện bọc răng sứ luôn vì ở đây nhiều nha khoa uy tín
Bảng giá trồng răng mới nhất năm 2026
Chào bác sĩ, tôi muốn xem bảng giá trồng răng hiện nay để cân nhắc xem có phù hợp với tài chính không. Không biết trồng Implant, cầu răng và hàm tháo lắp giá bao nhiêu?




Hãy để lại bình luận của bạn bên dưới!
Nhập thông tin của bạn
×