Chào Đăng,
Nhổ răng hàm không trồng lại có thể gây ra nhiều biến chứng như làm giảm khả năng ăn nhai, gây tiêu xương hàm dẫn đến hóp má, khiến các răng bên cạnh xô lệch, mất thẩm mỹ và tăng nguy cơ mắc các bệnh răng miệng. Do đó, bạn nên trồng lại răng hàm sau khoảng 2 – 3 tháng nhổ răng.

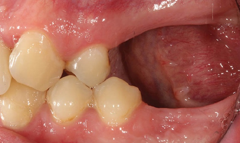
Răng hàm sau khi nhổ nên trồng lại sớm
1. Những hậu quả khi không trồng lại răng hàm
Nếu anh Đăng nhổ răng hàm nhưng không trồng lại có thể gây ra nhiều hệ lụy nghiêm trọng, ảnh hưởng đến sức khỏe răng miệng và hệ tiêu hóa cũng sẽ bị ảnh hưởng.
- Suy giảm chức năng ăn nhai: Răng hàm có nhiệm vụ cắn xé và nghiền nát thức ăn trước khi đưa xuống dạ dày. Khi mất răng, lực nhai suy giảm rõ rệt, khiến thức ăn không được xử lý kỹ. Điều này buộc dạ dày phải hoạt động nhiều hơn, lâu dần gây ảnh hưởng tiêu cực đến hệ tiêu hóa.
- Ảnh hưởng đến thẩm mỹ khuôn mặt: Khoảng trống mất răng còn khiến các răng còn lại nghiêng đổ, xô lệch, lệch khớp cắn, làm khuôn mặt mất cân đối và kém thẩm mỹ.
- Tiêu xương hàm, lão hóa sớm: Xương hàm được duy trì nhờ lực kích thích trong quá trình ăn nhai hằng ngày. Khi răng bị mất, lực này không còn, khiến xương hàm dần tiêu biến. Tình trạng tiêu xương kéo dài sẽ làm má hóp, da chảy xệ, nếp nhăn xuất hiện sớm, khiến khuôn mặt trông già hơn so với tuổi thật.
- Gia tăng nguy cơ mắc bệnh răng miệng: Khoảng trống sau khi nhổ răng là nơi dễ tích tụ thức ăn và vi khuẩn nếu không được phục hình kịp thời. Vi khuẩn phát triển lâu ngày có thể gây viêm nướu, viêm nha chu, sâu răng và thậm chí làm ảnh hưởng, mất thêm các răng kế cận.

Ổ răng hàm bị tiêu xương, gây xô lệch các răng bên cạnh
2. Khi nào bắt buộc phải trồng lại răng hàm?
Bác sĩ khuyến cáo anh Đăng nên trồng lại răng hàm càng sớmtrong các trường hợp mất răng hàm số 6 hoặc 7, mất răng khi còn trẻ, răng kế cận còn khỏe mạnh hoặc khi tình trạng mất răng gây nhai lệch, đau khớp hàm.
- Mất răng hàm số 6 hoặc số 7, là răng chịu lực nhai chính
- Mất răng hàm nhưng còn trẻ, xương hàm còn tốt
- Mất răng hàm đơn lẻ, các răng bên cạnh còn khỏe mạnh
- Người thường xuyên ăn nhai thức ăn cứng, dai
- Mất răng gây đau khớp hàm, nhai lệch, mỏi hàm
Đặc biệt với răng hàm số 6, nếu không trồng lại trong vòng 6 – 12 tháng, tình trạng tiêu xương diễn ra nhanh hơn các răng khác, khiến chi phí và thời gian điều trị về sau sẽ tăng cao.
3. Các lựa chọn trồng lại răng hàm sau nhổ
Vì vậy, tránh để xương hàm bị tiêu Anh Đăngcó thể tham khảo các phương pháp trồng răng như: dùng hàm giả tháo lắp, cầu răng sứ, cấy ghép Implant,…
3.1 Hàm giả tháo lắp
Hàm giả tháo lắp thường bao gồm khung hàm, nền hàm và răng sứ phục hình. Tùy vào tình trạng mất một răng, nhiều răng hoặc toàn hàm, răng giả sẽ được giữ cố định nhờ các móc cài làm từ titan hoặc hợp kim an toàn.
Ưu điểm lớn nhất của phương pháp này là chi phí thấp, quy trình thực hiện đơn giản, phù hợp với người cao tuổi hoặc người không đủ điều kiện sức khỏe để can thiệp xâm lấn. Tuy nhiên, hàm giả tháo lắp dễ lỏng lẻo khi ăn nhai, nói chuyện, độ bền không cao và chỉ sử dụng trung bình từ 3–5 năm. Ngoài ra, phương pháp này không ngăn chặn được tình trạng tiêu xương hàm và tụt nướu theo thời gian.
3.2 Cầu răng sứ
Với cầu răng sứ, bác sĩ sẽ tiến hành mài hai răng thật kế cận vị trí mất răng để làm trụ nâng đỡ cho dãy răng sứ. Trường hợp mất một răng thường được phục hình bằng cầu gồm ba răng liền kề.
So với hàm giả tháo lắp, cầu răng sứ có độ ổn định cao hơn và khả năng ăn nhai khá tốt. Tuy nhiên, do không tái tạo được chân răng đã mất nên xương hàm vẫn tiếp tục tiêu biến, dễ gây tụt nướu và ảnh hưởng đến thẩm mỹ lâu dài. Bên cạnh đó, các răng trụ phải mài nhỏ sẽ bị xâm lấn và khi cầu răng hư hỏng, người bệnh buộc phải thay mới toàn bộ.

Cầu răng sứ được dùng để thay thấy răng hàm
3.3 Cấy ghép Implant
Cấy ghép Implant được xem là giải pháp toàn diện nhất hiện nay, giúp khắc phục hầu hết hạn chế của hai phương pháp trên. Bác sĩ sẽ đặt trụ Implant bằng titanium trực tiếp vào xương hàm tại vị trí răng mất, sau đó gắn mão sứ thông qua khớp nối chuyên dụng khi trụ đã tích hợp chắc chắn.
Implant mang lại khả năng ăn nhai và thẩm mỹ gần như răng thật, cho phép người dùng ăn uống thoải mái mà không cần kiêng khem nhiều. Nhờ phục hồi cả chân răng, phương pháp này giúp ngăn ngừa hiệu quả tình trạng tiêu xương, tụt nướu. Việc vệ sinh cũng đơn giản như răng tự nhiên, đồng thời tuổi thọ của răng Implant có thể lên đến 20 năm hoặc lâu hơn nếu được chăm sóc đúng cách.
Với trường hợp của anh Nguyễn Văn Đăng vừa nhổ răng hàm số 6, bác sĩ khuyên anh không nên để trống răng quá lâu. Nếu ổ răng đã lành, không viêm nhiễm, anh có thể được chỉ định trồng Implant sau khoảng 2 – 3 tháng, hoặc thậm chí sớm hơn nếu đủ điều kiện. Do đó, anh nên đến các Nha khoa uy tín để bác sĩ thăm khám và lên phác đồ điều trị phù hợp.

Trồng răng Implant giúp thay thế răng hàm đã nhổ
Hiện nay, Bệnh viện Thẩm mỹ Kangnam là một trong những đơn vị được cấp phép thực hiện trồng răng Implant với quy trình chuẩn y khoa, đội ngũ bác sĩ răng hàm mặt nhiều kinh nghiệm và hệ thống máy móc hiện đại, giúp khách hàng yên tâm khi phục hình răng hàm sau nhổ.
Bài viết liên quan
-Chuyên gia Tạo Hình và Tái Tạo Thẩm Mỹ
-Gần 20 năm kinh nghiệm
-Hơn 10.000+ ca phẩu thuật hàm mặt
-Chuyên gia Tạo Hình Vóc Dáng
-Hơn 20 năm kinh nghiệm
-Hơn 10.000+ ca phẫu thuật thành công
-Chuyên gia Chỉnh hình Hàm mặt
-Gần 20 năm kinh nghiệm
-Hơn 10.000+ ca thẩm mỹ mũi
-Chuyên gia thẩm mỹ mũi
-Gần 20 năm kinh nghiệm
-Hơn 10.000+ ca thẩm mỹ mũi
-Chuyên gia da liễu – Trẻ hóa
-15 năm kinh nghiệm
-Hơn 20.000+ ca điều trị da
-Bác sĩ chỉnh hình hàm mặt
-Hơn 10 năm kinh nghiệm
-Hơn 5.000 ca hàm mặt thành công
Có nên trồng răng implant không? Có an toàn không
Bác sĩ ơi, em mất răng hàm đã lâu. Không biết có nên trồng răng Implant không và phương pháp này có thực sự bền như mọi người nói không ạ?
Trồng răng sứ có ảnh hưởng gì không? 6 rủi ro nên cân nhắc trước khi thực hiện
trồng răng sứ có ảnh hưởng gì không ạ? em đang muốn trồng mấy cái răng cửa nhưng thấy có một số người bảo không nên làm
Cách trồng răng sứ titan chuẩn Y khoa và hiệu quả
Bác sĩ ơi, em bị mất một răng hàm nhai. Em muốn trồng răng sứ Titan mà không biết quy trình thực hiện thế nào cho đúng ạ?
Các phương pháp trồng răng phổ biến hiện nay
Bác sĩ ơi, em bị mất răng hàm và muốn trồng lại, nhưng thấy có nhiều phương pháp quá. Không biết hiện nay có những phương pháp trồng răng nào và em nên chọn loại nào phù hợp?
Bọc răng sứ mất bao nhiêu ngày? Cách rút ngắn thời gian bọc răng sứ
bọc răng sứ mất bao nhiêu ngày ạ, có tốn thời gian không, mình đang có việc ở Hà Nội nên muốn tiện bọc răng sứ luôn vì ở đây nhiều nha khoa uy tín
Bảng giá trồng răng mới nhất năm 2026
Chào bác sĩ, tôi muốn xem bảng giá trồng răng hiện nay để cân nhắc xem có phù hợp với tài chính không. Không biết trồng Implant, cầu răng và hàm tháo lắp giá bao nhiêu?




Hãy để lại bình luận của bạn bên dưới!
Nhập thông tin của bạn
×