Chào Vy,
Công nghệ phủ răng sứ Nano có giá dao động từ 3.000.000 – 6.000.000 VNĐ/răng tùy chất lượng vật liệu và tay nghề bác sĩ. Phủ sứ Nano chủ yếu dùng vật liệu Composite (nhựa nha khoa) che phủ bề mặt răng, không cần màu răng. tuy nhiên không bền và không phục hồi hình thể tốt như dán sứ Veneer.

Phủ sứ nano dùng Composite che phủ lên bề mặt răng
1. Ưu và nhược điểm khi phủ răng sứ Nano
Phủ răng sứ nano là phương pháp thẩm mỹ ít xâm lấn, thực hiện nhanh và chi phí thấp, giúp cải thiện màu sắc và hình thể răng trong thời gian ngắn. Tuy nhiên, độ bền không cao, dễ xỉn màu và khả năng chịu lực hạn chế.
Ưu điểm phủ răng sứ Nano
- Không mài răng: Bác sĩ chỉ cần vệ sinh bề mặt răng và đắp lớp vật liệu nano lên trên, giúp bảo tồn tối đa răng thật và không gây ê buốt.
- Thực hiện nhanh chóng: Toàn bộ quy trình thường chỉ mất khoảng 45 – 60 phút cho một hàm, khách hàng có ngay nụ cười mới mà không cần chờ đợi lấy dấu hay đúc sứ.
- Tính thẩm mỹ tức thì: Vật liệu nano có độ bóng và màu sắc khá tương đồng với răng thật, giúp che đi các khuyết điểm như răng thưa, sứt mẻ nhỏ hoặc răng ố vàng.

Thời gian phủ sứ nano nhanh chóng
Nhược điểm
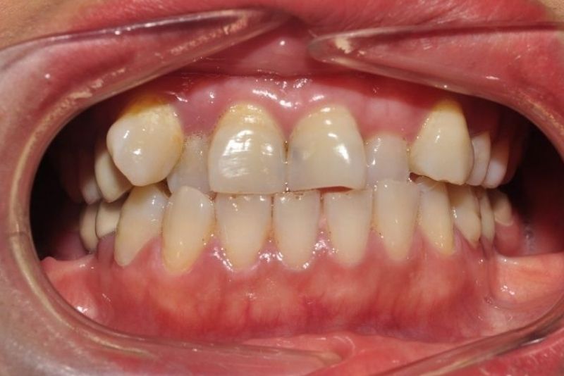
- Độ bền không cao: Tuổi thọ của răng phủ nano thường chỉ kéo dài từ 2 – 3 năm. Lớp phủ này dễ bị bong tróc hoặc sứt mẻ nếu bạn ăn đồ cứng.
- Dễ bị xỉn màu: Bản chất của Composite là nhựa nha khoa nên dễ hấp thụ màu từ thực phẩm (cà phê, trà, thuốc lá). Sau một thời gian sử dụng, răng sẽ không còn trắng sáng như lúc mới làm.
- Nguy cơ hôi miệng và viêm nướu: Nếu kỹ thuật thực hiện không tốt, lớp phủ dễ tạo ra các khe hở giữa răng và nướu, gây đọng thức ăn dẫn đến hôi miệng, viêm lợi hoặc sâu răng bên trong.
- Độ chịu lực kém: Khả năng chịu lực của vật liệu nano thấp hơn nhiều so với răng sứ nguyên khối, do đó cần phải giữ gìn cực kỳ cẩn thận khi ăn uống.

Độ bền không cao, màu sắc răng loang lổ
2. Ai nên và không nên phủ răng sứ Nano?
Bản chất của phương pháp phủ sứ Nano là đắp vật liệu Composite lên bề mặt răng, do đó nó có những giới hạn nhất định về đối tượng áp dụng.
Những người phù hợp phủ sứ Nano:
- Người có kẽ hở giữa các răng cửa nhỏ, muốn đóng khít lại để nụ cười duyên dáng hơn
- Răng bị sứt mẻ li ti do tai nạn hoặc thói quen ăn uống
- Răng ố vàng nhẹ do nhiễm thực phẩm nhưng không muốn mài răng để dán sứ
- Người có ngân sách hạn chế
- Người sợ đau, sợ mài răng
Những người KHÔNG phù hợp phủ sứ Nano:
- Người bị bệnh lý răng miệng như viêm lợi, viêm nha chu, sâu răng nặng hoặc chảy máu chân răng
- Răng khấp khểnh, hô, móm nặng
- Người có thói quen nghiến răng
- Răng bị nhiễm kháng sinh (Tetracycline) nặng
- Khớp cắn không ổn định, khớp cắn đối đầu hoặc khớp cắn ngược

Răng khấp khểnh không nên phủ sứ nano
3. Lời khuyên bác sĩ dành cho Vy
Phủ răng sứ Nano thực chất là kỹ thuật đắp một lớp vật liệu Composite lên bề mặt răng và hoàn toàn không phải mài răng, giúp bảo tồn tối đa răng thật của Vy. Tuy nhiên, bạn cần hết sức cân nhắc vì phủ sứ Nano có độ bền kém (chỉ 2-3 năm), dễ bị xỉn màu, ố vàng theo thời gian và nếu kỹ thuật thực hiện không chuẩn.
Nếu Vy đang tìm kiếm giải pháp làm đẹp bền vững, an toàn hơn, hãy tham khảo dịch vụ Dán sứ Veneer tại các nha khoa uy tín như Bệnh viện Thẩm mỹ Kangnam. Tại đây, công nghệ dán sứ Veneer với lớp sứ siêu mỏng, siêu cứng cáp không chỉ đảm bảo kháng màu tuyệt đối, bền đẹp trên 15 năm mà còn giúp bảo vệ sức khỏe răng miệng toàn diện.

Dán sứ Veneer có độ bền cao
Với đội ngũ bác sĩ chuyên khoa giàu kinh nghiệm và hệ thống máy móc hiện đại, Kangnam cam kết mang đến cho Vy nụ cười rạng rỡ, tự nhiên mà vẫn giữ được tối đa cấu trúc răng thật.
Bài viết liên quan
-Chuyên gia Tạo Hình và Tái Tạo Thẩm Mỹ
-Gần 20 năm kinh nghiệm
-Hơn 10.000+ ca phẩu thuật hàm mặt
-Chuyên gia Tạo Hình Vóc Dáng
-Hơn 20 năm kinh nghiệm
-Hơn 10.000+ ca phẫu thuật thành công
-Chuyên gia Chỉnh hình Hàm mặt
-Gần 20 năm kinh nghiệm
-Hơn 10.000+ ca thẩm mỹ mũi
-Chuyên gia thẩm mỹ mũi
-Gần 20 năm kinh nghiệm
-Hơn 10.000+ ca thẩm mỹ mũi
-Chuyên gia da liễu – Trẻ hóa
-15 năm kinh nghiệm
-Hơn 20.000+ ca điều trị da
-Bác sĩ chỉnh hình hàm mặt
-Hơn 10 năm kinh nghiệm
-Hơn 5.000 ca hàm mặt thành công
Trồng răng sứ bao nhiêu một cái? 4 yếu tố quyết định đến chi phí trồng răng
em mất một răng hàm và muốn trồng lại bằng răng sứ. Không biết trồng răng sứ một cái hết bao nhiêu và phương pháp nào bền nhất ạ?
Răng không đều có dán sứ được không? 5 trường hợp có thể dán sứ Veneer
răng em hơi khấp khểnh nhẹ ở 2 răng cửa. Em không muốn niềng, vậy răng không đều như vậy có dán sứ Veneer được không ạ?
Trồng răng hàm bị sâu giá bao nhiêu? Các yếu tố ảnh hưởng
Bác sĩ ơi, răng hàm của em sâu nặng phải nhổ. Vậy trồng lại răng hàm bị sâu giá bao nhiêu ạ? Em muốn biết mức chi phí và phương pháp phù hợp.
Bị nha chu có bọc răng sứ được không? 3 rủi ro nếu cố tình bọc sứ khi bị nha chu
em bị viêm nha chu nhẹ, răng hơi lung lay. Em muốn bọc răng sứ nhưng không biết tình trạng nha chu có làm được không
Trồng răng giả cố định có đau không?
Bác sĩ ơi, em chuẩn bị trồng răng giả cố định nhưng hơi lo. Không biết trồng răng giả cố định có đau không và đau trong bao lâu ạ?
Trồng răng giả có bị hôi miệng không? Khắc phục thế nào
Em định trồng răng giả nhưng nhiều người bảo sẽ bị hôi miệng. Không biết trồng răng giả có bị hôi miệng không ạ, loại nào gây mùi nhiều nhất và nên khắc phục thế nào ạ.




Hãy để lại bình luận của bạn bên dưới!
Nhập thông tin của bạn
×