bar
Trang chủ Hỏi đáp Nha khoa thẩm mỹ Răng sứ titan sử dụng được bao lâu? 6 dấu hiệu cần thay thế răng sứ ngay lập tức
Chuyên mục

Răng sứ titan sử dụng được bao lâu? 6 dấu hiệu cần thay thế răng sứ ngay lập tức

Hương
Hương
Nha khoa thẩm mỹ
Đã hỏi: 03/12/2025

Răng sứ Titan sử dụng được bao lâu ạ? em nghe nói Titan dễ đen viền, không biết có đúng không và có phải thay sớm không?

Victor Vũ
Bác sĩ Victor Vũ

-Chuyên gia Chỉnh hình Hàm mặt
-Gần 20 năm kinh nghiệm
-Hơn 10.000+ ca thẩm mỹ mũi

Đã trả lời: 03/12/2025

Chào Hương

Răng sứ Titan sử dụng được từ 5–10 năm, nhiều trường hợp có thể duy trì 10–15 năm nếu chăm sóc tốt, tay nghề bác sĩ giỏi. Lõi Titan có khả năng chịu lực cao, chống oxy hóa và thích ứng tốt với môi trường khoang miệng. Tuy nhiên, tuổi thọ thực tế còn phụ thuộc vào kỹ thuật bọc sứ, tay nghề bác sĩ, tình trạng răng và thói quen chăm sóc.

Tuổi thọ của răng sứ titan tùy thuộc vào cách chăm sóc

Tuổi thọ của răng sứ titan tùy thuộc vào cách chăm sóc

1. Yếu tố ảnh hưởng đến thời gian sử dụng răng sứ Titan

Chất lượng răng sứ, kỹ thuật bọc răng, sức khỏe răng, nướu và thói quen ăn uống, vệ sinh là những yếu tố ảnh  hưởng đến tuổi thọ của răng sứ titan.

  • Chất lượng răng sứ: Mão sứ Titan có lõi kim loại dễ bị oxy hóa theo thời gian, vì vậy loại sứ càng tinh khiết thì càng bền và ít đổi màu. Nếu mão sứ đạt chuẩn cao, tuổi thọ có thể kéo dài hơn so với mức trung bình.
  • Kỹ thuật bọc răng: Khi mão sứ được chế tác và lắp đặt với độ chính xác cao (sai số < 50 micron), răng sẽ khít sát và bền hơn. Tay nghề bác sĩ nha khoa và kỹ thuật viên tốt giúp răng Titan duy trì ổn định 10–12 năm hoặc lâu hơn.
  • Sức khỏe răng miệng: Nếu nướu viêm hoặc tiêu xương, cổ răng dễ bị hở và làm mão Titan nhanh xuống cấp. Ngược lại, người có nướu khỏe mạnh thường sở hữu răng sứ bền hơn 20–30%.
  • Thói quen vệ sinh, ăn uống: Cắn đồ cứng, uống nhiều trà, cà phê hoặc hút thuốc khiến mão Titan đổi màu và giảm tuổi thọ. Vệ sinh răng miệng không đúng cách cũng làm viền Titan dễ bị oxy hóa và kém bền.
Thói quen vệ sinh răng miệng ảnh hưởng đến tuổi thọ răng sứ titan

Thói quen vệ sinh răng miệng ảnh hưởng đến tuổi thọ răng sứ titan

2. Dấu hiệu răng Titan sắp hỏng hoặc cần thay thế

Khi răng sứ Titan bắt đầu xuống cấp, người dùng thường nhận thấy những thay đổi rõ rệt ở màu sắc, cảm giác và khả năng ăn nhai. Nhận biết sớm các dấu hiệu này giúp xử lý kịp thời và tránh ảnh hưởng đến răng thật.

Dấu hiệu răng Titan sắp hỏng hoặc cần thay thế:

  • Viền nướu chuyển màu xám đen do lõi Titan bị oxy hóa
  • Màu răng xỉn hoặc đổi màu, trông vàng hơn, kém sáng so với trước
  • Miệng có mùi hôi do kẽ hở giữa mão sứ và răng thật tích tụ vi khuẩn
  • Đau hoặc ê buốt khi nhai
  • Răng lung lay hoặc hở cổ răng
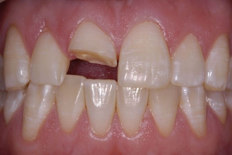
  • Răng sứ nứt, mẻ hoặc sứt cạnh
Răng sứ bị vỡ và cần thay thế

Răng sứ bị vỡ và cần thay thế

Titan đúng là có nguy cơ đen viền theo thời gian do lõi kim loại bị oxy hóa, nhưng tốc độ nhanh hay chậm phụ thuộc vào kỹ thuật bọc sứ, sức khỏe nướu và thói quen vệ sinh. Nếu Hương nhận thấy răng bắt đầu đổi màu, hở cổ hoặc gây ê buốt, đó là lúc cần kiểm tra để xem có cần thay thế hay không.

3. Cách kéo dài tuổi thọ răng sứ Titan

Để kéo dài tuổi thọ răng sứ Titan, người dùng cần kết hợp chăm sóc răng miệng đúng cách, điều chỉnh thói quen ăn uống và kiểm tra định kỳ tại nha khoa. Những biện pháp dưới đây giúp răng sứ bền hơn, hạn chế đen viền và duy trì tính thẩm mỹ lâu dài.

  • Đánh răng đúng kỹ thuật 2–3 lần/ngày: Sử dụng bàn chải lông mềm và chải theo chiều dọc để giảm mài mòn cổ răng. Cách này giúp hạn chế tích tụ mảng bám tại viền Titan, vùng dễ oxy hóa nhất.
  • Hạn chế đồ cứng và dai: Không dùng răng sứ để cắn hạt cứng, nước đá hoặc thức ăn quá dai vì dễ gây sứt mẻ mão sứ. Chế độ ăn mềm hơn giúp răng Titan duy trì độ bền lâu dài.
  • Giảm trà, cà phê và thuốc lá: Các chất màu từ trà, cà phê và nicotine dễ bám lên bề mặt sứ, gây xỉn màu nhanh. Uống bằng ống hút hoặc súc miệng ngay sau khi dùng sẽ giảm nguy cơ đổi màu.
  • Sử dụng chỉ nha khoa và nước súc miệng: Làm sạch kẽ răng giúp ngăn vi khuẩn tích tụ tại chân răng. Điều này rất quan trọng để ngăn cổ răng bị hở, kéo dài tuổi thọ mão sứ.
  • Khám nha khoa định kỳ 6 tháng/lần: Bác sĩ nha khoa có thể phát hiện sớm viêm nướu, hở cổ răng hoặc mài mòn mão sứ. Việc xử lý kịp thời giúp tránh hư hỏng nặng và kéo dài tuổi thọ răng Titan.

Nếu gặp bất kỳ dấu hiệu bất thường hoặc muốn kiểm tra lại độ khít sát của mão sứ, khách hàng nên thăm khám càng sớm càng tốt để tránh ảnh hưởng đến răng thật. Tại Chuyên khoa Nhoa khoa của Bệnh viện Thẩm mỹ Kangnam, quy trình bọc răng sứ luôn được thực hiện theo tiêu chuẩn khép kín, đảm bảo độ chính xác và hạn chế tối đa nguy cơ oxy hóa viền nướu ở răng Titan.

Răng sáng khỏe sau khi bọc sứ

Răng sáng khỏe sau khi bọc sứ

Đội ngũ bác sĩ giàu kinh nghiệm sẽ đánh giá tình trạng hiện tại và đưa ra giải pháp phù hợp nhằm kéo dài tuổi thọ răng sứ. Hương có thể đặt lịch thăm khám định kỳ tại Kangnam để được theo dõi và chăm sóc răng, nướu toàn diện hơn.

Bài viết liên quan
Trả lời

    Hãy để lại bình luận của bạn bên dưới!

    Leave a Reply

    Your email address will not be published.Required fields are marked *

    câu hỏi liên quan
    1.

    Có nên trồng răng implant không? Có an toàn không

    Bác sĩ ơi, em mất răng hàm đã lâu. Không biết có nên trồng răng Implant không và phương pháp này có thực sự bền như mọi người nói không ạ?

    2.

    Trồng răng sứ có ảnh hưởng gì không? 6 rủi ro nên cân nhắc trước khi thực hiện

    trồng răng sứ có ảnh hưởng gì không ạ? em đang muốn trồng mấy cái răng cửa nhưng thấy có một số người bảo không nên làm

    3.

    Cách trồng răng sứ titan chuẩn Y khoa và hiệu quả

    Bác sĩ ơi, em bị mất một răng hàm nhai. Em muốn trồng răng sứ Titan mà không biết quy trình thực hiện thế nào cho đúng ạ?

    4.

    Các phương pháp trồng răng phổ biến hiện nay

    Bác sĩ ơi, em bị mất răng hàm và muốn trồng lại, nhưng thấy có nhiều phương pháp quá. Không biết hiện nay có những phương pháp trồng răng nào và em nên chọn loại nào phù hợp?

    5.

    Bọc răng sứ mất bao nhiêu ngày? Cách rút ngắn thời gian bọc răng sứ

    bọc răng sứ mất bao nhiêu ngày ạ, có tốn thời gian không, mình đang có việc ở Hà Nội nên muốn tiện bọc răng sứ luôn vì ở đây nhiều nha khoa uy tín

    6.

    Bảng giá trồng răng mới nhất năm 2026

    Chào bác sĩ, tôi muốn xem bảng giá trồng răng hiện nay để cân nhắc xem có phù hợp với tài chính không. Không biết trồng Implant, cầu răng và hàm tháo lắp giá bao nhiêu?

    Bác sĩ được đánh giá nhiều nhất
    Chuyên gia Chỉnh hình Hàm mặt
    Câu hỏi được xem nhiều nhất
    Câu hỏi nhiều bình luận nhất
    Call
    Zalo
    BellĐặt lịch