Chào My,
Thực tế, trồng răng giả cố định không gây đau nếu được thực hiện bởi bác sĩ giỏi chuyên môn, ngoài ra bạn sẽ được tiêm thuốc gây tê cục bộ, nên chỉ thấy rung nhẹ hoặc tê tức ở ổ răng.

Khách hàng được gây tê trước khi trồng răng
1. Mức độ đau theo từng phương pháp trồng răng cố định
Hiện nay, trồng răng giả cố định phổ biến với hai phương pháp chính: trồng răng Implant và cầu răng sứ cố định, mỗi phương pháp sẽ có cảm giác khác nhau.
1.1 Trồng răng Implant
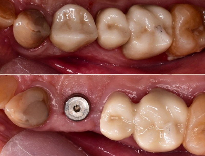
Trồng răng Implant là phương pháp cấy trực tiếp trụ titanium vào xương hàm để thay thế chân răng đã mất. Nhiều người nghe đến “cấy ghép” thường lo lắng sẽ rất đau, tuy nhiên thực tế không như bạn nghĩ.
Trong quá trình cấy Implant, bác sĩ sẽ gây tê cục bộ, nên My hầu như không cảm thấy đau. Sau khi hết thuốc tê, vùng cấy có thể đau nhẹ, ê âm ỉ hoặc sưng nhẹ trong 1 – 3 ngày đầu.
Cảm giác đau thường ở mức chịu được, tương tự như nhổ răng khôn đơn giản. Với kỹ thuật hiện đại, tay nghề bác sĩ tốt và tuân thủ chăm sóc đúng cách, trồng răng Implant không gây đau dữ dội như nhiều người lo lắng.

Trồng răng Implant không quá đau
1.2 Cầu răng sứ cố định
Cầu răng sứ cố định là phương pháp mài nhỏ hai răng bên cạnh để làm trụ, sau đó gắn cầu răng sứ lên trên. Khi mài răng, bác sĩ cũng sẽ gây tê, nên không gây đau trong lúc thực hiện. Sau khi hết thuốc tê, My có thể cảm thấy ê buốt nhẹ, đặc biệt khi ăn đồ nóng – lạnh trong vài ngày đầu.
Mức độ đau của cầu răng sứ thường nhẹ hơn Implant, nhưng cảm giác ê có thể kéo dài hơn nếu răng trụ nhạy cảm. Nhìn chung, trồng răng giả cố định bằng cầu răng sứ không gây đau nhiều, chủ yếu là cảm giác ê buốt tạm thời.
2. Trường hợp đau nhiều hơn bình thường
Dù đa số khách hàng chỉ đau nhẹ, vẫn có một số trường hợp đau nhiều hơn mức bình thường, thường do:
- Vùng răng mất bị viêm nhiễm, áp xe từ trước.
- Xương hàm yếu, tiêu xương nhiều, phải can thiệp sâu.
- Cơ địa nhạy cảm, khả năng chịu đau kém.
- Không tuân thủ hướng dẫn chăm sóc sau khi trồng răng.
- Cắn nhai sớm hoặc nhai mạnh vào răng mới.
Trong các trường hợp này, cảm giác đau có thể kéo dài hơn, nhưng vẫn kiểm soát được bằng thuốc và tái khám kịp thời.

Những người có cơ địa nhạy cảm, xương hàm yếu có thể đau nhức kéo dài
3. Các yếu tố ảnh đến trồng răng “đau nhiều hay ít”
Mức độ đau khi trồng răng giả cố định phụ thuộc vào phương pháp thực hiện, tình trạng răng miệng ban đầu, tay nghề bác sĩ, công nghệ điều trị và cách chăm sóc sau trồng răng.
- Phương pháp trồng răng giả cố định: Trồng răng Implant cần đặt trụ vào xương hàm nên có thể gây đau và sưng nhẹ trong vài ngày đầu sau phẫu thuật. Tuy nhiên, cảm giác này có thể kiểm soát được. Cầu răng sứ cố định không tác động đến xương hàm, chỉ mài răng trụ nên mức độ đau nhẹ hơn, chủ yếu là ê buốt tạm thời.
- Tình trạng răng miệng ban đầu: Nếu vùng răng mất đang bị viêm nhiễm, tụ mủ, tiêu xương hoặc răng trụ yếu, quá trình trồng răng sẽ phức tạp hơn và dễ gây đau nhiều hơn.
- Tay nghề và kinh nghiệm của bác sĩ: Bác sĩ có chuyên môn cao sẽ thao tác chính xác, hạn chế xâm lấn mô mềm và xương hàm, từ đó giúp giảm đáng kể cảm giác đau.
- Công nghệ và trang thiết bị điều trị: Việc ứng dụng công nghệ hiện đại như máy chụp CT Cone Beam, phần mềm định vị Implant, dụng cụ mài răng chính xác cao giúp bác sĩ kiểm soát tốt vị trí can thiệp, giảm sang chấn và hạn chế đau sau điều trị.
- Cách chăm sóc sau khi trồng răng: Nếu tuân thủ đúng hướng dẫn của bác sĩ như ăn thức ăn mềm, không nhai mạnh, vệ sinh răng miệng đúng cách và uống thuốc đầy đủ, cảm giác đau sẽ giảm nhanh và vết thương hồi phục tốt hơn.

Bác sĩ có tay nghề cao sẽ thao tác chính xác không gây đau
4. Cách bác sĩ giúp giảm đau khi trồng răng cố định
Bác sĩ áp dụng gây tê đúng kỹ thuật, thao tác ít xâm lấn, kết hợp thuốc và hướng dẫn chăm sóc chuẩn y khoa để kiểm soát đau hiệu quả khi trồng răng giả cố định.
- Gây tê đúng kỹ thuật, đủ liều: Trước khi thực hiện, bác sĩ sẽ tiến hành gây tê cục bộ tại vùng cần trồng răng. Việc xác định đúng vị trí, liều lượng phù hợp với từng khách hàng giúp quá trình điều trị diễn ra nhẹ nhàng, không gây đau trong lúc thực hiện và hạn chế cảm giác khó chịu sau đó.
- Thực hiện thao tác nhẹ nhàng, hạn chế xâm lấn: Bác sĩ có tay nghề cao sẽ thao tác chính xác, kiểm soát tốt lực tác động lên nướu và xương hàm.
- Kê đơn thuốc giảm đau, kháng viêm phù hợp: Sau khi hoàn tất trồng răng, khách hàng sẽ được bác sĩ kê đơn thuốc giảm đau, kháng viêm và kháng sinh (nếu cần) theo đúng thể trạng.
- Hướng dẫn chăm sóc răng miệng chi tiết sau trồng răng: Bác sĩ sẽ hướng dẫn cụ thể cách ăn uống, vệ sinh răng miệng, sinh hoạt và những điều cần tránh trong giai đoạn đầu.
- Theo dõi sát và hẹn tái khám đúng lịch: Sau trồng răng, bác sĩ sẽ hẹn tái khám để kiểm tra tình trạng lành thương, độ ổn định của răng giả và xử lý kịp thời nếu có dấu hiệu bất thường.

Khách hàng được kê thuốc giảm đau sau trồng răng
Để giảm thiểu tình trạng đau đớn khi trồng răng giả, My nên lựa chọn địa chỉ Nha khoa uy tín, khi được thực hiện đúng kỹ thuật, trồng răng giả cố định sẽ diễn ra nhẹ nhàng giúp My lấy lại khả năng ăn nhai tốt hơn.
Hiện nay, Bệnh viện Thẩm mỹ Kangnam là một trong những địa chỉ được nhiều khách hàng lựa chọn nhờ đội ngũ bác sĩ chuyên môn cao, công nghệ trồng răng hiện đại và quy trình kiểm soát đau hiệu quả, giúp khách hàng an tâm trong suốt quá trình phục hình răng.
Bài viết liên quan
-Chuyên gia Tạo Hình và Tái Tạo Thẩm Mỹ
-Gần 20 năm kinh nghiệm
-Hơn 10.000+ ca phẩu thuật hàm mặt
-Chuyên gia Tạo Hình Vóc Dáng
-Hơn 20 năm kinh nghiệm
-Hơn 10.000+ ca phẫu thuật thành công
-Chuyên gia Chỉnh hình Hàm mặt
-Gần 20 năm kinh nghiệm
-Hơn 10.000+ ca thẩm mỹ mũi
-Chuyên gia thẩm mỹ mũi
-Gần 20 năm kinh nghiệm
-Hơn 10.000+ ca thẩm mỹ mũi
-Chuyên gia da liễu – Trẻ hóa
-15 năm kinh nghiệm
-Hơn 20.000+ ca điều trị da
-Bác sĩ chỉnh hình hàm mặt
-Hơn 10 năm kinh nghiệm
-Hơn 5.000 ca hàm mặt thành công
Có nên trồng răng implant không? Có an toàn không
Bác sĩ ơi, em mất răng hàm đã lâu. Không biết có nên trồng răng Implant không và phương pháp này có thực sự bền như mọi người nói không ạ?
Trồng răng sứ có ảnh hưởng gì không? 6 rủi ro nên cân nhắc trước khi thực hiện
trồng răng sứ có ảnh hưởng gì không ạ? em đang muốn trồng mấy cái răng cửa nhưng thấy có một số người bảo không nên làm
Cách trồng răng sứ titan chuẩn Y khoa và hiệu quả
Bác sĩ ơi, em bị mất một răng hàm nhai. Em muốn trồng răng sứ Titan mà không biết quy trình thực hiện thế nào cho đúng ạ?
Các phương pháp trồng răng phổ biến hiện nay
Bác sĩ ơi, em bị mất răng hàm và muốn trồng lại, nhưng thấy có nhiều phương pháp quá. Không biết hiện nay có những phương pháp trồng răng nào và em nên chọn loại nào phù hợp?
Bọc răng sứ mất bao nhiêu ngày? Cách rút ngắn thời gian bọc răng sứ
bọc răng sứ mất bao nhiêu ngày ạ, có tốn thời gian không, mình đang có việc ở Hà Nội nên muốn tiện bọc răng sứ luôn vì ở đây nhiều nha khoa uy tín
Bảng giá trồng răng mới nhất năm 2026
Chào bác sĩ, tôi muốn xem bảng giá trồng răng hiện nay để cân nhắc xem có phù hợp với tài chính không. Không biết trồng Implant, cầu răng và hàm tháo lắp giá bao nhiêu?




Hãy để lại bình luận của bạn bên dưới!
Nhập thông tin của bạn
×