1900.6466
Nhận ưu đãi
Tư vấn chỉnh hàm - Hội chẩn 3 lớp
miễn phí cùng bác sĩ Hành trình lột xác
Đăng ký ngay
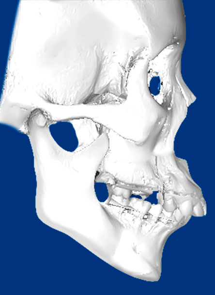
Hàm hô, cằm ngắn, miệng khép không kín
Giải pháp
Kỹ thuật Lefort 1 chỉnh hô 2 hàm - Trượt cằm
Hàm móm, lệch khớp cắn, cằm dài quá phát
Giải pháp
Kỹ thuật BSSO chỉnh móm, gọt cằm vline
Hàm hô, góc hàm vuông bạnh
Giải pháp
Gọt góc hàm Vline, hạ gò má
Hàm hô
Hàm móm
Hàm vuông
100%
khách hàng
chỉnh hàm được
Hội chẩn 3 lớp:
Gây mê - Chỉnh hàm - Nha khoa
Hội chẩn gây mê:
quyết định 95% an toàn của 1 ca chỉnh hàm
Hội chẩn hàm mặt:
quyết định 99% kết quả thay đổi sau chỉnh hàm
Hội chẩn nha khoa:
đảm bảo kết quả đẹp hoàn hảo
cơ hội duy nhất
nhận giải pháp hàm mặt cùng
chuyên gia
hàng đầu
TS. BS
Richard huy
Giám đốc chuyên môn BVTM Thẩm mỹ Kangnam
Trưởng ekip chương trình “Hành trình Lột xác
Hơn 20 năm kinh nghiệm PTTM
Top 5 chuyên gia phẫu thuật thẩm mỹ” do Hội chống hàng giả và bảo vệ thương hiệu Việt Nam bình chọn.
Giải thưởng "Bàn tay vàng phẫu thuật thẩm mỹ" 2011
Học bổng ghi nhận và cống hiến Đại học PTTM Hàn Quốc
Tiến sĩ Y học – Đại học Y Hà Nội
Thành viên Hội Phẫu thuật Tạo hình Thẩm mỹ Việt Nam (VSAPS)
Thành viên Hội bác sĩ PTTM Hoa Kỳ (ASPS)
Thành viên Hội Phẫu thuật THTM Hoa Kỳ (ASAPS)
Thành viên Hội Phẫu thuật THTM Quốc tế (ISAPS)
BS. Victor Vũ
Trưởng khoa chuyên khoa Chỉnh hình Hàm mặt - Hà Nội
BS. Felix Trần
Trưởng Ekip HTLX miền Nam
Giám đốc chuyên môn
BS. Edward Nguyễn
Trưởng khoa chuyên khoa Chỉnh hình Hàm mặt - Sài Gòn
BS. Alex Han
Bác sĩ phẫu thuật chính Chuyên khoa Hàm mặt
Chỉ
20 suất
Đăng ký ngay
quyền lợi
khi
tham gia sự kiện
Tư vấn 1:1 nhận giải pháp hàm từ bác sĩ chuyên khoa, thuộc ekip Hành trình lột xác
Trúng 1 suất chỉnh hàm nửa giá và 99+ voucher lên tới 10 triệu đồng
100% khách hàng checkin nhận voucher giảm 3 triệu
xem trước kết quả 3D
cùng chuyên gia
5.000.000đ
15/11
BVTM Kangnam Hà Nội
190 Trường Chinh, phường Kim Liên, Hà Nội
22/11
BVTM Kangnam Sài Gòn
Số 666 Cách Mạng Tháng 8, P. Tân Sơn Nhất
Chỉ
12 suất
Cơ hội chỉnh hàm nửa giá
None
đặt lịch ngay
✕
✕
Để lại SĐT để bác sĩ tư vấn MIỄN PHÍ
ngay cho bạn
Hoặc
Tư vấn trực tiếp 24/7:
1900.6466
Liên hệ
1900.6466
✕
Để lại thông tin nhận tư vấn & ưu đãi
Bác sĩ tư vấn hoàn toàn MIỄN PHÍ
✕
đăng ký tham gia sự kiện