AI FACE DESIGN
IN KHUÔN MẶT TRƯỚC SAU TỈ LỆ 1:1
BÁC SĨ + EKIP
CHUYÊN KHOA HÀM MẶT GIỎI NHẤT
VIDEO CÔNG NGHỆ
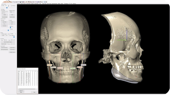
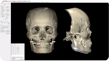
CHỈNH HÀM 6D
Trang thiết bị hiện đại
Công nghệ 3D độc quyền
Ekip bác sĩ hành trình lột xác
Chuyên gia hơn 20 năm kinh nghiệm
Hậu phẫu 5*
chỉnh hình hàm mặt
giải pháp khuôn mặt hoàn hảo
Tư vấn trực tiếp 24/7:
1900.6466
1900.6466
Kinh nghiệm - Chuyên môn - Thành tựu

