Nguyên nhân răng cửa mọc lệch và cách điều trị hiệu quả 90%

Răng cửa mọc lệch làm hạn chế chức năng nhai xé thức ăn và khiến chân răng suy yếu nhanh chóng khi bắt đầu quá trình lão hóa. Nếu không xử lý sớm sẽ làm ảnh hưởng lớn tới thẩm mỹ và khả năng hoạt động của khớp cắn.

I/ Các kiểu răng cửa bị mọc lệch phổ biến

Răng cửa mọc lệch là hiện tượng phổ biến nhất trong các khuyết điểm về răng. Răng không theo cung hàm mà có phần vênh ra ngoài hoặc thụt vào trong được gọi là tình trạng răng mọc lệch.

Hiện tượng 4 răng cửa mọc lệch ở cả hàm trên và hàm dưới là hậu quả không nhổ lẫy trong quá trình răng bắt đầu phát triển trong khoang miệng.

Dưới đây là những trường hợp răng mọc lệch thường gặp ở cả trẻ nhỏ và người đã trưởng thành.

Răng cửa mọc thành hình chữ V (cánh bướm): cạnh tiếp giữa giữa 2 răng cửa tạo thành hình chữ V có góc nhọn hướng về phía bên trong lưỡi. Đây là kiểu răng cửa bị mọc lệch thường gặp nhất, chiếm đến 60% tình trạng răng lệch của khách hàng.

Răng mọc nghiêng: răng có thể mọc lệch hẳn sang 1 bên (có thể cùng phía hoặc khác phía với răng còn lại). Trường hợp này hiếm gặp hơn so với kiểu mọc thành hình chữ V và ảnh hưởng nhiều tới tính thẩm mỹ của bạn.

Răng lệch lộn xộn: xảy ra khi 1 hoặc cả 2 chiếc răng cửa “nghiêng ngả” theo nhiều hướng khác nhau, thường kéo theo các răng lân cận cũng bị xô đẩy. Điều này dẫn tới lệch lạc khớp cắn và ảnh hưởng rất lớn đến quá trình tiêu hóa thức ăn.

Bên cạnh những kiểu răng cửa mọc lệch như trên, thực tế còn có nhiều kiểu răng mọc lệch khác tùy vào tình trạng xương hàm, cấu trúc ổ răng.. Tuy nhiên, răng bị mọc lệch đều ảnh hưởng không tốt tới tính thẩm mỹ và khớp cắn của bạn.

Do đó bạn hãy tìm hiểu kĩ nguyên nhân dẫn tới tình trạng răng mọc lệch của mình và có cách chỉnh nha cần thiết, kịp thời.

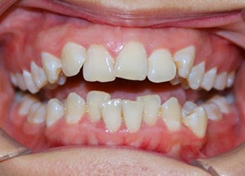
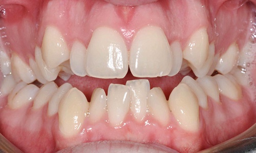
răng cửa dưới mọc lệch vào trong

Răng mọc lệch hình chữ V, mọc nghiêng hẳn 1 bên hoặc chĩa ra 2 bên

Đăng ký tư vấn cùng Bác Sĩ trên 10 năm kinh nghiệm
đăng ký tư vấn

II/ Nguyên nhân dẫn đến hiện tượng răng cửa mọc lệch

Các nha sĩ của Bệnh viện thẩm mỹ Kangnam khẳng định, răng cửa bị mọc lệch là hiện tượng không hiếm gặp bởi rất nhiều nguyên nhân gây nên.

Bẩm sinh các răng mọc không đều dẫn tới răng xô lệch so với cung hàm.

Cung hàm nhỏ so với lượng răng phát triển nên dẫn tới tình trạng răng cửa bị chèn ép, lệch hẳn so với vị trí ban đầu.

Trong quá trình phát triển răng khôn mọc lệch không được xử lý sớm có thể dẫn tới tình trạng xô lệch các vị trí răng cố định (trong đó có răng cửa).

Răng khuyết thiếu do bệnh lý hoặc bẩm sinh làm các chiếc răng khác phát triển lấn vào chỗ trống để che lấp khoảng hở gây xô lệch cấu trúc ổ răng.

Thói quen xấu: ngậm ti giả lâu, dùng lưỡi đẩy răng, dùng tay kéo răng,.. mà răng cửa mọc lệch từ nhỏ và không được cải thiện kể cả khi đã phát triển thành răng vĩnh viễn.

Tai nạn va đập mạnh làm ảnh hưởng tới cấu trúc xương hàm và răng.

Ngoài ra, tình trạng răng cửa mọc lệch còn do nhiều lý do khác tác động vào. Bạn có thể tới cơ sở nha khoa để thăm khám và tìm ra nguyên nhân chính xác nhất để có phương pháp điều trị hiệu quả.

răng cửa mọc lệch vào trong

Răng cửa mọc lệch do bẩm sinh

III/ Chỉnh răng cửa mọc lệch với phương pháp nào?

Nha khoa hiện đại ngày nay cho phép nắn chỉnh răng khấp khểnh trở về vị trí ban đầu 1 cách nhanh chóng, triệt để.

Điều này giúp khách hàng cải thiện ngay tình trạng răng và khuôn hàm của mình. Nhằm mang tới tính thẩm mỹ cao và đảm bảo chức năng ăn nhai được tốt nhất.

1- Chỉnh nha lệch khớp cắn cho răng cửa mọc lệch vào trong hoặc hô ra ngoài

Răng cửa mọc hướng vào hoặc chìa ra đều là khuyết điểm cực kỳ lớn trên gương mặt. Với trường hợp này, các chuyên gia khuyến nghị bạn nên thực hiện niềng răng để nắn chỉnh lại khung răng sao cho khít giữ hàm trên và dưới.

Đây là phương pháp chỉnh nha lệch khớp cắn được áp dụng nhiều cho lứa tuổi 13-15, vì đây là khoảng thời gian dễ điều chỉnh form dáng răng cửa nhất.

Ở người trưởng thành, cách khắc phục này sẽ tiêu tốn khá nhiều thì giờ, bạn sẽ phải đeo niềng trong khoảng 2-3 năm liên tục.

răng cửa mọc lệch phải làm sao

Niềng răng giúp chỉnh nha lệch khớp cắn, khắc phục hô/móm

2- Chỉnh nha lệch đường giữa cho răng cửa mọc lệch

Răng mọc lệch nhân trung có thể được khắc phục bằng một số giải pháp: dùng dây cung dựng trục răng cửa, nhổ răng và đeo mắc cài…

Tuy nhiên, hình thức chỉnh nha lệch đường giữa hữu hiệu hơn cả chính là lắp mão sứ. Qua đó, chân răng cửa sẽ được điều chỉnh lại về hình dáng và chiều hướng, hỗ trợ cải thiện độ nghiêng lệch.

Ưu điểm của phương pháp bao gồm:

Tiết kiệm thời gian, không cần kiêng cữ lâu ngày.

Không mang lại cảm giác ê, nhức, tấy… sau khi bọc sứ.

Cải thiện chức năng nhai, giúp nâng cao hiệu quả tiêu hóa.

Hiệu quả nhanh chóng, răng dần đều trở lại trong 3-6 tháng.

Thời gian duy trì dài lâu lên tới 3-5 năm, không gây di chứng hay phản ứng phụ.

Căn cứ vào từng cấu trúc hàm răng của mỗi khách hàng, bác sĩ sẽ đưa ra phương án xử lý tương ứng, đảm bảo sự chuẩn chỉ và giúp bạn dễ dàng sở hữu “bộ nhá” hoàn hảo hơn.

Kĩ thuật mài răng bọc sứ giúp chỉnh nha lệch đường giữa nhanh chóng

Kĩ thuật mài răng bọc sứ giúp chỉnh nha lệch đường giữa nhanh chóng

Có thể nói, bọc mão sứ hay chỉnh nha bằng niềng đều có thể cải thiện được tình trạng răng cửa mọc lệch của khách hàng.

Tuy nhiên, bọc răng sứ chỉ phù hợp với trường hợp răng lệch ít, chỉ lệch 1 vài chiếc. Còn đối với niềng răng là phương pháp nắn chỉnh nha toàn diện nên hiệu quả mang tới sẽ cao hơn.

Bạn hãy tới trực tiếp chuyên khoa nha cao cấp của Bệnh viện thẩm mỹ Kangnam để được tư vấn phương pháp điều trị phù hợp với mình nhất.

IV/ Hình ảnh khắc phục răng cửa mọc lệch tại Kangnam

Hãy cùng chiêm ngưỡng 1 số hình ảnh trước sau khi chỉnh răng cửa mọc lệch của khách hàng tại Bệnh viện thẩm mỹ Kangnam:

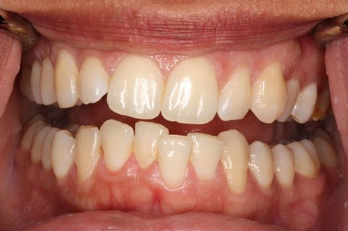
Anh Hải (Bắc Giang) sở hữu hàm răng trắng sáng đều màu sau khi thực hiện bọc răng sứ tại Kangnam

Cô Nhung (Bắc Giang) sở hữu hàm răng trắng sáng đều màu sau khi bọc răng sứ

Răng cửa của cô Thoa bị mất gần hết đã được bọc răng sứ hoàn hảo

Răng cửa của cô Thoa bị mất gần hết đã được bọc răng sứ hoàn hảo

Răng xỉn màu lệch lạc đã được thay bằng bộ răng sứ trắng sáng

Răng xỉn màu lệch lạc đã được thay bằng bộ răng sứ trắng sáng

Niềng răng cũng là phương pháp giúp "giải cứu" hàm răng khấp khểnh bẩm sinh của chị Hoa (Thanh Hóa)

Niềng răng cũng là phương pháp giúp “giải cứu” hàm răng khấp khểnh bẩm sinh

Răng cửa mọc lệch 2 hàm trên dưới bác sĩ đã tiến hàng nhổ bớt răng và đeo niềng để chỉnh nha toàn diện. Kết quả sau 1 năm 8 tháng niềng răng đã thay đổi hoàn toàn cấu trúc ổ răng trước đây và làm khách hàng hài lòng

Kết quả sau 1 năm 8 tháng niềng răng

INBOX ĐẶT LỊCH CÙNG BÁC SĨ UY TÍN SỐ 1

tư vấn cùng bác sĩ

V/ Các câu hỏi liên quan răng cửa mọc lệch

Răng cửa dưới mọc lệch vào trong hoặc hàm trên chìa ra ngoài đều làm ảnh hưởng tới thẩm mỹ của bạn. Chính vì thế, vấn đề răng mọc lệch nhận được sự quan tâm của rất nhiều khách hàng.

Hiểu được vấn đề này, dưới đây là 1 số câu hỏi thưởng gặp nhất của khách hàng

1- Răng cửa mọc lệch có nên nhổ không?

Răng cửa tuy không có chức năng nhai nghiền thức ăn chính nhưng lại đóng vai trò cắn xé thức ăn ngay khi mới đưa vào khoang miệng. Đồng thời, răng cửa còn được xem là “bộ mặt” của toàn bộ hàm răng.

Nếu nhổ răng cửa mọc lệch sẽ ảnh hưởng lớn tới tính thẩm mỹ của bạn và không tốt cho chức năng ăn nhai của cơ hàm.

Theo các nha sĩ bệnh viện thẩm mỹ Kangnam, nguyên tắc bảo toàn trong điều trị nha khoa luôn được đặt lên hàng đầu. Nếu tình trạng răng cửa không thể điều trị, khắc phục nữa thì bác sĩ mới tiến hành nhổ bỏ.

Khi nhổ răng cửa sẽ tạo khe trống khiến các răng khác có thể mọc xô lệch và ảnh hưởng tới quá trình cắn xé thức ăn, mất cảm giác ngon miệng do ống tủy không còn.

➜ Do đó, bác sĩ khuyên khách hàng không nên nhổ bỏ răng cửa mọc lệch nếu chưa có chỉ định cụ thể từ nha sĩ.

có nên nhổ răng cửa mọc lệch

Có nên nhổ răng cửa mọc lệch?

2- Răng cửa mọc lệch vào trong nên bọc sứ hay niềng răng?

Niềng răng và bọc mão sứ được xem là 2 giải pháp nha khoa tân tiến phổ biến giúp cải thiện nhanh chóng tình trạng răng mọc lệch, hô chìa ra ngoài hoặc móm lệch vào trong.

Tuy nhiên, với từng trường hợp răng cửa bị mọc lệch của khách hàng mà bác sĩ sẽ đưa ra những chỉ định khác nhau sao cho phù hợp, tiết kiệm chi phí và thời gian thực hiện.

Răng mọc lệch nhiều nguyên hàm, hàm có dấu hiệu hô/móm, cấu trúc răng xô lệch khó cải thiện -> Nên chỉnh nha hoặc có thể kết hợp thêm phẫu thuật chỉnh hàm.

Răng cửa mọc lệch ít, cấu trúc ổ răng còn lại đều -> Nên dùng phương pháp bọc sứ nhanh chóng, tiết kiệm thời gian.

Để biết được tình trạng răng mọc lệch của mình cần sử dụng phương pháp nào. Bạn hãy tới ngay Nha khoa Kangnam để được kiểm tra cụ thể.

cách xử lý răng cửa mọc lệch

Tùy vào tình trạng răng mà bác sĩ sẽ đưa ra các phương pháp phù hợp

3- Răng cửa mọc lệch ở trẻ em khắc phục như thế nào?

Răng cửa mọc lệch ở trẻ nhỏ khá phổ biến nên bố mẹ không cần quá lo lắng. Hãy để trẻ phát triển cung hàm, ổ răng tự nhiên cho đến khi chỉ còn những chiếc răng cố định vĩnh viễn.

Nếu nhận thấy hàm răng của bé không được đều, hô/móm, khớp cắn lệch, bạn hãy đưa trẻ tới cơ sở nha khoa để được tư vấn và niềng răng sớm.

Quá trình niềng răng của trẻ em diễn ra nhanh chóng, đơn giản, ít đau và hiệu quả đạt được rất cao. Nếu răng mọc lệch ít thì thời gian đeo niềng sẽ nhanh chóng hơn.


Xem thêm
  1. Avatar photo Hảng thị ca says:

    Răng cửa mọc lệch thì nên làm cách nào ạ

    • Avatar photo Bác sĩ Tư Vấn Kangnam says:

      Chào bạn Hảng thị ca, bạn có thể tham khảo phương pháp niềng răng nhé ạ

  2. Avatar photo Phương says:

    Bọc răng hết bn tiền ạ

    • Avatar photo Bác sĩ Tư Vấn Kangnam says:

      Chào bạn Phương, bọc răng sứ có giá chỉ từ dao động khoảng 5 – 8 triệu đồng ạ

  3. Avatar photo Nguyễn thị dịu says:

    Răng mọc lệch thì nên làm cách nào

    • Avatar photo Bác sĩ Tư Vấn Kangnam says:

      Chào bạn Nguyễn thị dịu, bạn có thể tham khảo phương pháp niềng răng nhé ạ

  4. Avatar photo Lê văn Hoàng says:

    Cho mình hỏi chút,răng mình mọc bị thừa một răng ở răng cửa 1 răng,làm 2 răng cửa bị lệch.mình muốn chỉnh lại thì mất thời gian khoảng bao lâu và phương án chỉnh như nào ak?

    • Avatar photo Bác sĩ Tư Vấn Kangnam says:

      Chào bạn Lê văn Hoàng, bạn tham khảo phương pháp niềng răng nhé ạ, thời gian khoảng 1,2 – 3 năm ạ

Comments are closed.

Hãy để lại bình luận của bạn bên dưới!

Leave a Reply

Your email address will not be published. Required fields are marked *

Bài viết cùng chuyên gia
Bài viết được quan tâm
Call
Zalo
Báo giáNhận báo giá