Mòn cổ chân răng – bệnh lý răng miệng phổ biến rất nhiều người gặp phải gây hại tới men răng và chức năng ăn nhai. Tìm hiểu ngay mòn cổ chân răng là gì, nguyên nhân, biểu hiện, cách điều trị và phòng tránh không để xảy ra nhiều hậu quả nghiêm trọng.
Mòn cổ chân răng (tên tiếng anh Worn tooth neck) là hiện tượng lớp men ở vùng cổ răng bị bào mòn, tiêu biến dần.
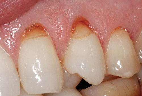
Theo thời gian, vùng cổ răng bị ăn mòn sâu tạo thành vùng lõm có hình chữ V (theo chuyên khoa gọi là lõm hình chêm) ở mặt ngoài của răng.
Mòn cổ chân răng có thể bắt gặp ở tất cả các vị trí răng: răng cửa, răng nanh, răng hàm số 4, 5, 6 gây xỉn màu ở cổ răng ảnh hưởng lớn tới tính thẩm mỹ.

Hình ảnh cổ răng bị mòn gây ê buốt, đau nhức răng
Đăng ký tư vấn cùng Bác Sĩ trên 10 năm kinh nghiệm

Hiện tượng mòn cổ răng có thể xảy ra ở bất kì độ tuổi nào: trẻ nhỏ, người trưởng thành hay người già với một số dấu hiệu mòn chân răng phổ biến như: ê buốt khi ăn uống thường ngày đặc biệt các món ăn cay nóng hoặc lạnh.
Mòn cổ chân răng có nguy hiểm không?
Không chỉ đơn giản làm mất đi tính thẩm mỹ của hàm răng mà bệnh lý chân răng bị mòn còn tác động tiêu cực tới chính sức khỏe con người.
Một số trường hợp, mòn chân răng ê buốt ngay cả khi đánh răng, súc miệng bằng nước muối. Tình trạng này cản trở hoạt động chức năng của răng nghiêm trọng.
Cổ chân răng bị mòn diễn biến qua nhiều giai đoạn khác nhau với từng mức độ nặng nhẹ của bệnh lý:
Người bệnh có thể phát hiện được bệnh lý mòn chân răng nếu chú ý quan sát kĩ sự thay đổi ở răng: men răng vùng cổ màu tối, ố vàng hơn các vùng các, khi sờ nhẹ thấy có vết đứt ngang cổ răng.
Ngoài ra, thi thoảng bạn sẽ cảm nhận thấy sự ê buốt nhẹ nhưng không nhiều và không thường xuyên.

Phát hiện mòn cổ chân răng khi mức độ nhẹ để điều trị nhằm hạn chế nhiều bệnh lý khác
Chân răng bị ăn mòn ở mức độ trung bình, bị ê buốt khi gặp tác nhân từ bên ngoài: ăn uống, đánh răng, ….
Khi bình thường, không có tác động thì bạn không thấy ê buốt răng nên nhiều người còn chủ quan chưa đi kiểm tra răng miệng sớm.
Đây là mức độ nghiêm trọng của bệnh lý mòn cổ chân răng khi bị ăn mòn sâu vào tủy răng. Thông thường, bác sĩ nha khoa tiếp nhận bệnh nhân tới khám chữa khi quá nặng, răng đau nhức nhiều kèm sưng tấy, chảy máu.
Lúc này, bắt buộc bác sĩ phải can thiệp nhiều kĩ thuật phức tạp để điều trị và phục hình lại răng.

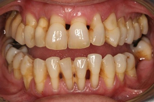
Cổ chân răng bị làm mòn, tiêu biến mất thẩm mỹ và sức khỏe răng nướu
Người trưởng thành, thanh niên là đối tượng mắc bệnh mòn cổ chân răng nhiều nhất bởi những thói quen ăn uống cay nóng, nhiều axit, chất kích thích, … là tác nhân khiến cổ răng bị hư hại, ăn mòn nhanh chóng.
Chân răng bị mòn do nhiều nguyên nhân khách quan và chủ quan khác nhau. Tuy nhiên, phần lớn tác động gây bệnh là từ thói quen chăm sóc răng miệng của con người, cụ thể:
Ăn nhiều thực phẩm có tính axit:
Khi tiếp xúc lượng lớn thực phẩm có tính axit mạnh: cay, nóng, đồ uống cho ga, … Lâu dài, axit trong khoang miệng sẽ ăn mòn men răng rất nhanh.
Đánh răng sai cách:
Lực ma sát từ bàn chải đánh răng rất dễ làm mòn cổ răng nếu không thận trọng. Chải mạnh, không đúng chiều, lông bàn chải quá cứng, kem đánh răng quá nhiều chất tẩy rửa đều khiến răng dần bị mòn và gây bệnh lý.

80% mọi người đang thực hiện chải răng sai cách
Vôi răng tích tụ quá nhiều:
Mảng bám không được loại bỏ định kì bám dính quá nhiều đè nén và gây tụt nướu. Khi đó, chân răng không được bảo vệ và lộ ra ngoài dễ bị xâm hại bởi yếu tố bên ngoài khoang miệng. Từ đó, cổ răng mòn dần theo thời gian.
Ngoài ra, các yếu tố di truyền (sinh men bất toàn, sinh ngà bất toàn), bệnh lý cơ thể thiếu canxi, giảm tiết nước bọt, … đều là một phần nguyên nhân gây mòn cổ chân răng.
Bị mòn cổ chân răng phải làm sao? Bác sĩ nha khoa cần căn cứ tình trạng, đánh giá cấp độ nặng nhẹ của bệnh mòn chân răng chính xác trước khi chỉ định những kĩ thuật , phương pháp điều trị cho phù hợp.
Thông thường, bác sĩ chuyên khoa nha chỉ định phương pháp hàn trám răng để chữa mòn cổ chân răng với cấp độ 1, 2 chưa bị tổn thương viêm tủy.
Kĩ thuật trám mòn cổ răng
Bác sĩ phủ vật liệu chuyên dụng trong trám răng lên vùng cổ đã bị ăn mòn men răng đem lại hiệu quả khôi phục lại chiếc răng như ban đầu.
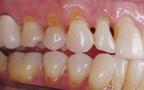
Phương pháp trám răng đơn giản nhanh chóng, bác sĩ chỉ thao tác từ 15 – 30 phút (tùy tình trạng, số lượng răng) để điều trị răng bị mòn cho hiệu quả lâu dài.

Kết quả khách hàng trám mòn cổ chân răng
Trám cổ chân răng bao nhiêu tiền?
Trong các phương pháp điều trị chân răng bị mòn, trám răng được nhận định là kĩ thuật phổ biến bởi mức chi phí điều trị hợp lý cho nhiều đối tượng với khả năng tài chính khác nhau.
Giá trám cổ chân răng được xác định dựa trên tình trạng mòn răng, số lượng răng điều trị và vật liệu hàn trám được sử dụng.
Khi bệnh gây viêm tủy thì quá trình điều trị phức tạp hơn nhiều và bắt buộc phải can thiệp đồng thời nhiều kĩ thuật để khắc phục tối ưu cả mặt thẩm mỹ và sức khỏe răng miệng.
Lúc này, cách xử lý mòn cổ chân răng tốt nhất là áp dụng kĩ thuật bọc răng sứ nhằm ngăn chặn quá trình lan rộng bệnh lý cũng như phục hồi chức năng của răng.

INBOX ĐẶT LỊCH CÙNG BÁC SĨ UY TÍN SỐ 1

Kĩ thuật thực hiện
Diệt tủy răng: bằng dụng cụ chuyên dụng loại bỏ sạch tủy răng nhằm ngăn chặn đau nhức sau trị liệu.
Phục hình bọc răng sứ: Bao bọc lại răng phòng ngừa ăn mòn và hạn chế bệnh lý răng miệng.
Thực tế, khi từng xảy ra vấn đề bệnh lý răng miệng trên 1 răng rất nhiều khả năng bị lan rộng sang các vùng răng khác.
Vì vậy sau khi điều trị mòn cổ chân răng bằng các kĩ thuật nha khoa thì các biện pháp phòng ngừa chân răng bị mòn tái phát là điều cần thiết.
Vệ sinh răng miệng khoa học: Đánh răng mỗi ngày cũng cần lưu ý (tối đa 3 lần/ 1 ngày, không đánh quá nhiều, không chải theo chiều ngang, không dùng bàn chải quá cứng, chà mạnh).
Chọn loại kem đánh răng chứa Flour: khi lựa chọn loại kem đánh răng nên lưu ý chọn những sản phẩm có thành phần Flour để tăng độ chắc khỏe cho răng, hạn chế sâu răng.
Hạn chế thức ăn chứa nhiều axit: những nhóm thực thẩm chua, cay nóng, lạnh không nên ăn quá nhiều trong thời gian ngắn sẽ ảnh hưởng tới dạ dày và ăn mòn răng.
Khám răng miệng định kỳ: kiểm tra sức khỏe răng miệng 1 năm 2 lần kết hợp cạo vôi răng là lời khuyên của nha sỹ trong bảo vệ sức khỏe răng miệng nhằm phát hiện sớm các bệnh lý điều trị và phòng ngừa tốt nhất.
Mòn cổ chân răng là bệnh lý răng miệng cần được điều trị kịp thời để bảo vệ sức khỏe răng miệng về lâu dài. Ngay khi thấy dấu hiệu bất thường xảy ra với răng miệng cần tới phòng khám nha kiểm tra để có hướng khắc phục tốt nhất
Hãy để lại bình luận của bạn bên dưới!
Nhập thông tin của bạn
×