Chân răng bị đen thì phải làm sao? Nguyên nhân

Nướu răng, chân răng bị đen ảnh hưởng trực tiếp đến thẩm mỹ của bộ nhá và khiến khổ chủ mất tự tin khi cười, nói. Tình trạng này do nhiều nguyên nhân gây ra. Bệnh nhân cần đến trực tiếp nha khoa để thăm khám và tư vấn phương pháp điều trị phù hợp.

I – Chân răng bị đen là bệnh gì? Nguyên nhân do đâu?

Chân răng (nướu răng) bị đen biểu hiện là những vết xỉn đen ở khu vực quanh cổ nướu gây ảnh hưởng nghiêm trọng đến thẩm mỹ. Có nhiều nguyên nhân khiến răng bị đen ở chân răng, hãy thực sự hiểu rõ trước khi tìm kiếm giải pháp khắc phục.

Dưới đây là một số lý do khiến viền chân răng bị đen:

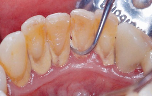
Cao răng

Mảng bám thức ăn bị mắc lại ở quanh chân răng, kẽ răng do vấn đề vệ sinh không kĩ càng. Lâu dần, chúng hình thành vôi răng và khiến vùng nướu răng bị đen đi.

nướu răng bị đen

Cao răng tích tụ vùng cổ chân răng gây ra tình trạng đen xỉn kém thẩm mỹ

HÃY ĐỂ CHUYÊN GIA TƯ VẤN GIÚP ĐỠ BẠN HOÀN TOÀN MIỄN PHÍ
đăng ký tư vấn

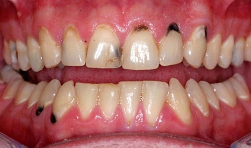
Sâu chân răng

Men răng và ngà răng bị tấn công bởi vi khuẩn sẽ hình thành những ổ sâu. Thường răng sẽ sâu ở đầu răng nhưng cũng có một số trường hợp, vết sâu sẽ ăn mòn dần từ khu vực cổ răng và gây ra những vệt đen kém thẩm mỹ.

Tình trạng này gặp phải ở cả người lớn và trẻ em, đặc biệt là những ai không biết cách chăm sóc và bảo vệ răng miệng.

bị đen chân răng

Tình trạng chân răng bị đen do sâu răng

Răng bị nhiễm màu

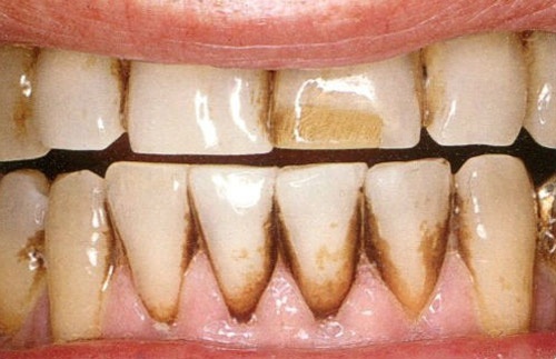
Với những người có thói quen hút thuốc lá hoặc thường xuyên uống trà, cà phê thì chân răng sẽ có nguy cơ nhiễm màu rất cao.

răng bị đen ở chân răng

Trường hợp đen chân răng do hút thuốc hoặc uống nhiều cà phê, nước chè

Bọc răng sứ bị đen nướu

Phần sườn bên trong răng sứ kim loại nên sau một thời gian bộ khung này sẽ bị oxy hóa. Hệ quả là sau một vài năm, khu vực cổ chân răng của những chiếc bọc sứ kim loại sẽ có viền đen kém thẩm mỹ.

bọc răng sứ bị đen nướu

Bọc răng sứ kim loại gây đen viền nướu, ảnh hưởng trực tiếp đến thẩm mỹ

II –  Nướu răng bị đen thì phải làm sao?

Tùy theo nguyên nhân bị đen chân răng mà giải pháp khắc phục cũng khác nhau. Người bệnh cần đến trực tiếp cơ sở nha khoa để các bác sĩ tư vấn cách chữa trị chân răng bị đen hiệu quả nhất.

1. Cạo vôi răng

? Áp dụng: Chân răng/ nướu răng bị đen do cao răng

Vì cao răng bám dính ở khu vực chân răng gây nên tình trạng đen xỉn. Giải pháp tối ưu nhất là loại bỏ triệt để mảng vôi bám trên răng.

Vôi răng càng nhiều, càng lâu năm thì màu sắc càng xỉn. Ban đầu là vàng nhạt, sau đó chuyển sang vàng nâu và nặng nhất là đen sậm. Vậy nên, trường hợp chân răng bị đen do cao răng chứng tỏ tình trạng vôi răng đã nặng.

Nếu không điều trị sớm, không chỉ thẩm mỹ bị ảnh hưởng mà còn đe dọa đến sức khỏe của răng, tiềm ẩn nguy cơ sâu răng, viêm nướu,…

Vậy lấy cao răng bằng cách nào hiệu quả nhất?

Nhiều người lựa chọn các cách chữa trị tại nhà như tẩy cao răng bằng baking soda, muối, … Tuy nhiên, phương pháp này không hiệu quả với tình trạng cao răng lâu năm đen xỉn.

Giải pháp tối ưu nhất trong trường hợp này là cạo vôi răng bằng công nghệ siêu âm hiện đại tại nha khoa.

Với sức mạnh của sóng siêu âm, ngay cả những mảng vôi cứng đầu nhất cũng có thể được loại bỏ triệt để. Hàm răng sẽ được trả lại sự trắng sáng vốn có, khắc phục hoàn toàn tình trạng đen chân răng.

chân răng bị đen và chảy máu

Cạo vôi răng bằng công nghệ siêu âm hiện đại là giải pháp tối ưu nhất

2. Trám răng

? Phù hợp: Chân răng/ men răng bị sâu

Trường hợp men răng bị vi khuẩn tấn công gây ra sâu bệnh ở vùng cổ chân răng, bác sĩ sẽ tiến hành điều trị dứt điểm ổ sâu. Điều này giúp ngăn ngừa tình trạng lỗ sâu ngày càng to và răng bị phá hủy hoàn toàn.

Sau khi nạo vét ổ sâu để chắc chắn không còn vi khuẩn gây bệnh. Bác sĩ sẽ lựa chọn hình thức trám răng thẩm mỹ phục hình hình dáng và màu sắc ban đầu cho răng.

chân răng bị đen thì phải làm sao

Các vật liệu trám thẩm mỹ với màu sắc tương đồng với răng thật là lựa chọn thích hợp nhất cho những vị trí răng cửa cần điều trị.

Sau khi trám răng, bạn hoàn toàn có thể tự tin với hàm răng của mình khi nói, cười, chấm dứt tình trạng chân răng bị đen.

3. Bọc/ dán sứ

? Thích hợp: Làm răng sứ bị thâm nướu

Trường hợp này xảy ra với những ai trồng răng sứ kim loại cho răng cửa hoặc răng hàm. Tình trạng bị đen viền nướu xảy ra sau một thời gian sử dụng răng sứ, lớp sườn bên trong bị oxi hóa bởi môi trường khoang miệng.

Khi đó, để đảm bảo thẩm mỹ của “bộ nhá”, cách tối ưu nhất là tháo mão sứ kim loại ra và thay thế bằng răng toàn sứ.

Với những ưu điểm về thẩm mỹ, bọc răng sứ thẩm mỹ sẽ mang đến cho chủ nhân nụ cười rạng rỡ mà không lo sợ chân răng bị đen.

chân nướu răng bị đen

4. Tẩy trắng răng

? Áp dụng: Bị đen chân răng do nhiễm màu

Với những trường hợp nhiễm màu nhẹ do thói quen hút thuốc và uống các đồ uống có màu như nước ngọt, coffee, nước chè,… thì tẩy trắng răng là giải pháp phù hợp nhất giúp răng lấy lại màu sắc trắng sáng rạng rỡ.

Việc tẩy trắng răng nên thực hiện tại Nha khoa với công nghệ hiện đại để đảm bảo an toàn và mang đến kết quả thẩm mỹ tốt nhất.

cách chữa chân răng bị đen tại nhà

Không nên tự làm trắng chân răng tại nhà bằng các mẹo tự nhiên hoặc sử dụng miếng dán…

Những phương pháp này tiềm ẩn nhiều rủi ro khiến men răng bị ảnh hưởng, chảy máu chân răng, đau nhức hoặc gây ra tình trạng loang màu kém thẩm mỹ.

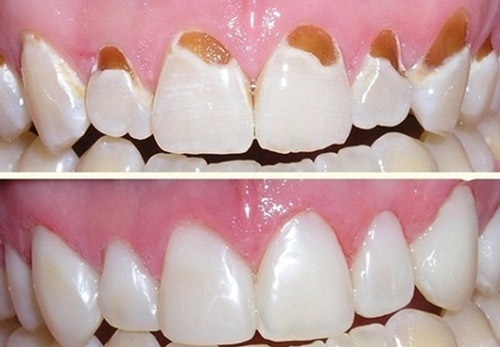
III – Hình ảnh trước sau chữa chân răng bị đen

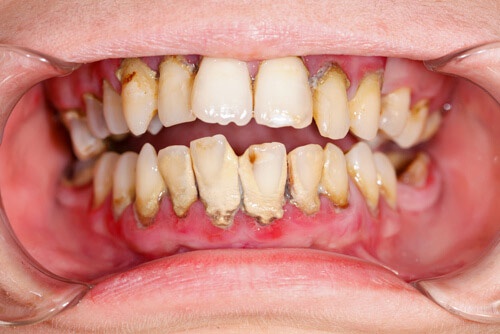
Tại bệnh viện thẩm mỹ Kangnam, không ít khách hàng bị đen chân răng hoặc nướu răng tìm đến thăm khám và điều trị.

Bác sĩ sẽ kiểm tra kĩ càng tình trạng răng miệng để xác định nguyên nhân nướu răng bị đen do đâu, từ đó tư vấn phác đồ điều trị phù hợp.

Dưới đây là những hình ảnh thực tế của khách hàng khi điều trị chân răng bị đen hoặc thâm nướu:

làm răng sứ bị thâm nướu

tại sao nướu răng bị đen

chân răng bị đen là bệnh gì

Hiệu quả khắc phục chân răng bị đen bằng các giải pháp nha khoa thẩm mỹ

BẠN CẦN TÌM ĐỊA CHỈ NHA KHOA UY TÍN ???

tư vấn cùng bác sĩ

Vì sao nên chữa chân nướu răng bị đen tại Kangnam?

Được thăm khám với bác sĩ chuyên khoa để xác định nguyên nhân gây thâm nướu hoặc bị đen chân răng.

Tư vấn giải pháp điều trị phù hợp giúp khắc phục dứt điểm tình trạng chân răng bị đen kém thẩm mỹ.

Áp dụng công nghệ hiện đại với phòng khám nha khoa chuẩn 5 sao, mang đến trải nghiệm tuyệt vời nhất cho mỗi khách hàng.

chân răng bị đen và đau

Phòng nha khoa hiện đại, chuẩn 5 sao tại bệnh viện thẩm mỹ Kangnam

Cho hiệu quả thẩm mỹ tối ưu, giúp nụ cười rạng rỡ hơn với hàm răng trắng sáng.

Hơn nữa, Kangnam còn là thương hiệu thẩm mỹ số 1 tại Việt Nam, hoạt động dưới sự cấp phép của Bộ Y Tế.

IV – Cách ngăn ngừa chân nướu răng bị đen

✅ Chăm sóc răng miệng tại nhà

viền chân răng bị đen

Chăm sóc răng miệng kĩ càng tại nhà để ngăn ngừa lợi chân răng bị đen

Sử dụng kem đánh răng chứa Flo chải răng 2 lần mỗi ngày.

Đánh răng bằng bàn chải lông mềm. Không nên sử dụng bàn chải quá cứng có thể gây tổn thương và chảy máu chân răng

Sau khi ăn các loại thực phẩm chứa nhiều đường và tinh bột hãy đánh răng để loại bỏ những mảng bám cứng đầu.

Với những thực phẩm có vị chua, chứa nhiều axit trong thành phần như dâu tây, chanh, cam,…, sau  khi sử dụng hãy súc miệng bằng nước lọc.

Nếu bị mắc thức ăn vào kẽ răng, hãy ưu tiên dùng chỉ nha khoa thay vì xỉa bằng tăm.

Sau bước đánh răng, hãy sử dụng nước súc miệng để chắc chắn sạch hoàn toàn vi khuẩn trong khoang miệng

✅ Đến nha khoa chăm sóc răng

Kể cả răng bạn không có bất kì biểu hiện bất thường nào thì vẫn nên duy trì tần suất 6 tháng/ 1 lần đến nha khoa kiểm tra tình trạng răng miệng.

Bên cạnh đó, hãy thực hiện cạo vôi răng trong mỗi lần khám để bảo vệ sức khỏe tốt nhất cho hàm răng.

lợi chân răng bị đen

Thăm khám và lấy cao răng định kì 1 năm 2 lần tại nha khoa uy tín

Quá trình thăm khám cùng bác sĩ cũng giúp phát hiện nhanh chóng va kịp thời các bệnh lý về răng miệng. Nhờ đó, bạn có thể hạn chế tối đa tình trạng chân răng bị đen và nhiều hệ lụy nguy hiểm khác về sau này.


Xem thêm

Lưu ý: Thông tin trong bài viết chỉ mang tính chất tham khảo và tra cứu, không thay thế cho việc thăm khám, chẩn đoán hoặc điều trị. vui lòng liên hệ với Bác sĩ, Dược sĩ hoặc chuyên viên y tế để được tư vấn cụ thể. Xem thêm

Hãy để lại bình luận của bạn bên dưới!

Leave a Reply

Your email address will not be published. Required fields are marked *

Bài viết cùng chuyên gia
Bài viết được quan tâm
Call
Zalo
Báo giáNhận báo giá