Theo một vài tạp chí quốc tế, trị mụn lưng bằng muối giúp hỗ trợ cải thiện một phần sự tổn thương trên da. Tuy nhiên, bạn cần biết cách điều chỉnh tần suất sử dụng hợp lý mới có thể sở hữu làn da sáng trong và hiệu quả làm đẹp như ý nguyện.
Trước khi đến với các cách trị mụn lưng bằng muối, điều tối quan trọng là hiểu rõ về nguyên nhân khiến vùng da lưng của bạn nổi mụn.
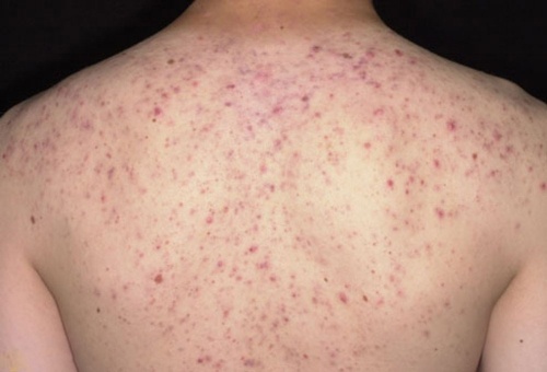
Hiện nay, vùng lưng nổi mụn thường gặp ở giai đoạn sau dậy thì. Mụn ở lưng có thể ở dạng liti như mụn cám, đầu đen, hoặc nặng hơn là sưng đỏ và nổi mủ.
Tỉ lệ phụ nữ mắc phải mụn ở lưng cao hơn nam giới nên tình trạng này khiến phải đẹp vô cùng tự ti, không dám mặc những trang phục khoét lưng gợi cảm.

Tìm hiểu về nguyên nhân gây mụn lưng
Có rất nhiều lý do khiến mụn mọc nhiều ở lưng như:
Do nội tiết: Từng giai đoạn dậy thì, mang bầu, tiền mãn kinh hay mỗi chu kì kinh nguyệt hàng tháng của phụ nữ, hormone sinh dục có một sự biến đổi vô cùng mạnh mẽ. Đây là nguyên nhân khiến bã nhờn tiết ra nhiều hơn và nổi mụn ở lưng.
Do chế độ sinh hoạt, ăn uống: Thường xuyên ngủ ít và muộn cùng với việc nạp nhiều đồ ăn dầu mỡ, cay, nóng sẽ khiến những đốm mụn ngự trị trên lưng.
Căng thẳng, mệt mỏi: Trạng thái stress thường xuyên do công việc hay áp lực cuộc sống dễ khiến mụn phát sinh trên nhiều vùng da của cơ thể, trong đó có mụn ở lưng.
Dị ứng mỹ phẩm, sữa tắm: Các sản phẩm dùng cho vùng lưng như: sữa tắm, kem dưỡng thể, chống nắng,… đều có thể là nguyên nhân khiến da lưng bị bít tắc chân lông và nổi mụn.

Dị ứng với mỹ phẩm và sữa tắm
Do môi trường: Môi trường bên ngoài như bụi bẩn, ánh nắng có thể tác động và gây mụn ở lưng. Bên cạnh đó, những vật dụng như chăn, ga, quần áo tiếp xúc hàng ngày nếu không vệ sinh sạch sẽ cũng khiến vùng lưng mọc mụn.
Do vệ sinh lưng chưa đúng cách: Lưng là khu vực khó vệ sinh nhất trên cơ thể nên nhiều người thường bỏ qua hoặc ít quan tâm đến hơn so với các vùng da khác. Chính điều này khiến bụi bẩn, bã nhờn tích tụ lâu ngày và hình thành mụn.
Bên cạnh những nguyên nhân thường gặp nhất trên đây thì vùng lưng của bạn cũng có thể nổi đầy những đốm mụn nếu mặc quần áo quá chật, dùng nguồn nước tắm ô nhiễm hay bị nóng gan, nóng trong người,…
Muối vừa rẻ tiền lại có thể tìm mua dễ dàng ở mọi cửa hàng tạp hóa, siêu thị hay chợ gần nhà. Hơn nữa, các mẹo trị mụn lưng bằng muối lại khá đơn giản và dễ làm tại gia. Chính vì những lý do đó mà phương pháp chữa mụn ở lưng bằng muối ngày càng phổ biến và được nhiều người áp dụng.
Trên các diễn đàn nổi tiếng như webtretho.com, diendanthammy.net,… cách trị mụn lưng bằng muối được đông đảo các tín đồ làm đẹp yêu thích và review hiệu quả khá tốt. Vậy thực hư muối có công dụng gì giúp chữa khỏi mụn trên lưng?
Đa số nguyên nhân gây ra mụn lưng liên quan đến vệ sinh và bít tắc bã nhờn nên sự dụng muối để làm sạch và diệt khuẩn, trị mụn là vô cùng thích hợp.

Những tác dụng trị mụn lưng của muối
Sau đây là một số phương pháp trị mụn ở lưng bằng muối được review tốt nhất trên các diễn đàn đàn làm đẹp.
Muối tắm được sử dụng phổ biến ở nhiều spa, thẩm mỹ viện trong việc làm đẹp da, chữa mụn cho khách hàng. Hiện nay, có nhiều loại muối tắm được bán ra trên thị trường với thành phần bổ sung thêm nhiều loại thảo dược rất tốt cho da.
Trong muối tắm có chứa các khoáng chất như Mg, K, Na, Ca,… hấp thụ dễ dàng qua da hỗ trợ đào thải độc tố trong cơ thể. Ngâm mình trong nước muối tắm lâu sẽ giúp diệt khuẩn, loại bỏ bụi bẩn và khắc phục hoàn toàn tình trạng bít tắc bã nhờn. Nhờ đó, tình trạng mụn sẽ nhanh chóng thuyên giảm.
Lời khuyên: Muối tắm phù hợp nhất cho tắm bồn nên hãy thư giãn 30 phút để muối phát huy tối đa tác dụng bỏ độc tố ra ngoài cơ thể.
Tần suất phù hợp nhất để trị mụn lưng bằng muối tắm là 2 – 3 lượt mỗi tuần.

Các công thức muối tắm hỗ trợ thải độc và làm sạch sâu bã nhờn ở lưng
Bản thân muối vốn có tính sát khuẩn nên giảm sưng mụn khá tốt. Trong khi đó, chanh lại rất nổi tiếng nhờ hàm lượng axit tự nhiên cao nên rất hiệu quả trong loại bỏ tế bào chết trên da. Kết hợp cả 2 nguyên liệu này lại với nhau sẽ tạo nên công thức diệt mụn vô cùng hữu hiệu.
Nguyên liệu cần có: Chanh tươi (1 quả), muối hột (2 muỗng), nước lọc.
Hướng dẫn:
Tắm thật sạch cơ thể với xà phòng diệt khuẩn.
Vắt lấy phần nước cốt chanh, trộn cùng với 2 thìa muối và 500 ml nước lọc.
Sử dụng 1 chiếc khăn sạch thấm đẫm dung dịch trong 2 phút.
Nên dùng khăn có kích cỡ dài và lớn tương đương với lưng.
Không vắt khô khăn mà đắp trực tiếp lên vùng da bị mụn ở lưng.
Nằm thư giãn trong khoảng 15 – 20 phút rồi tắm qua với nước ấm để làm sạch hoàn toàn.
Áp dụng: 2 lần mỗi tuần.

Combo diệt khuẩn và giảm sưng mụn từ hỗn hợp chanh – muối
Hầu hết các sản phẩm tẩy dưỡng da đều có kết cấu dạng hạt hoặc tinh thể giúp hỗ trợ khắc phục triệt để các tế bào da thừa – nguyên nhân hàng đầu gây tắc nghẽn chân lông.
Với muối hột hạt nhỏ, bạn có thể tự chế những công thức mặt nạ tại nhà dành riêng cho mụn lưng và áp dụng hàng tuần. Lỗ chân lông sẽ trở nên thông thoáng hơn và lượng bã nhờn tiết ra cũng được kiểm soát đáng kể.
Bạn có thể kết hợp muối với những nguyên liệu quen thuộc như: mật ong, dầu oliu, dầu dừa, sữa chua,… để tạo nên những công thức mặt nạ dành riêng cho vùng lưng nhiều mụn.
Đặc biệt, muối hột trộn cùng vỏ cam là bí quyết làm sạch làn da ở lưng được nhiều beauty blogger chia sẻ.
Cần chuẩn bị: Muối hột (3 thìa), bột vỏ cam (2 thìa).
Trộn muối và vỏ cam theo tỉ lệ như trên để tạo thành hỗn hợp sệt.
Sau khi tắm và làm sạch nhẹ nhàng vùng da ở lưng thì apply hỗn hợp lên.
Hãy nhờ ai đó hỗ trợ và mat – xa nhẹ nhàng khắp vùng da ở lưng khoảng 2 phút.
Tiếp tục duy trì mặt nạ trên da 15 phút.
Sau đó đi tắm lại để làm sạch hoàn toàn lớp mặt nạ trên da.
Tần suất phù hợp: 2 lần/ tuần.

Chữa mụn lưng hiệu quả bằng muối và vỏ cam
Phương pháp này áp dụng hiệu quả với những dạng mụn sưng đỏ ở lưng bởi nước muối sinh lý có khả năng diệt khuẩn và giảm sưng tấy nhanh chóng.
Bên cạnh đó, do làn da mụn bọc khá nhạy cảm nên không thể áp dụng các công thức trị mụn lưng bằng muối thông thường. Chỉ nên dùng nước muối sinh lý để sát khuẩn hàng ngày, mụn sẽ nhanh chóng xẹp và giảm đi nhanh chóng.
Chuẩn bị: 1 chai nước muối sinh lý, bông tẩy trang.
Hướng dẫn:
Vùng lưng sau khi được vệ sinh sạch sẽ, hãy thấm đẫm bông tẩy trang để lau nhẹ nhàng một lượt khắp lưng.
Thay khoảng 5 lần bông tẩy trang để đảm bảo vùng lưng được diệt khuẩn hoàn toàn.
Thực hiện: 1 lần mỗi ngày.

Sát khuẩn làn da lưng bị mụn sưng đỏ bằng dung dịch nước muối sinh lý
Nếu muốn khắc phục tình trạng vết thâm sau mụn làm ảnh hưởng nặng nề đến thẩm mỹ thì đừng bỏ qua công thức muối + nha đam. Trong khi muối có khả năng sát khuẩn tốt thì nha đam được đánh giá cao về hiệu quả giảm thâm và cấp ẩm cho da.
Vì thế, đây có thể coi là sự kết hợp hoàn hảo cho những cô nàng bị ám ảnh mụn thâm ở lưng.
Nguyên liệu: Nha đam (1 lá), Muối biển (3 muỗng).
Cách làm:
Sơ chế nha đam sạch vỏ và ngâm trong nước muối để loại bỏ hết phần nhớt.
Xay nhuyễn nha đam và trộn cùng với muối biển.
Đắp hỗn hợp lên vùng da mụn lưng và giữ khoảng 15 phút.
Tắm lại với nước để làm sạch hoàn toàn lớp mặt nạ trên da.
Số lần áp dụng: 2 – 3 lần mỗi tuần.

Trị mụn trên lưng bằng muối và nha đam
Cách trị mụn lưng bằng muối là phương pháp thiên nhiên nên sẽ không thể nhìn thấy ngay kết quả. Để khắc phục hoàn toàn mụn trứng cá hoặc mụn cám ở lưng, hãy kiên trì điều trị trong ít nhất 1 tháng.
Bên cạnh việc kiên trì áp dụng các bí quyết chữa mụn lưng bằng muối thì hãy lưu ý một số điểm sau đây để đạt được hiệu quả tối ưu nhất:
Hãy sử dụng loại muối biển sạch, đã được tinh chế kĩ càng để tránh nhiễm khuẩn
Với bất kể một công thức trị mụn nào từ muối, hãy chỉ áp dụng tối đa 2 – 3 lần/tuần.
Việc sử dụng hàng ngày hoặc tần suất thường xuyên hơn sẽ khiến da bị bào mòn và thương tổn.
Có thể kết hợp muối với đa dạng các nguyên liệu để tăng thêm hiệu quả điều trị.
Hạn chế mặc quần áo chật, vệ sinh cơ thể sạch sẽ, thường xuyên giặt và thay chăn, ga,…
Xây dựng một lối sống lành mạnh, Không thức khuya, ngủ đủ 6 – 8 tiếng/ ngày
Hạn chế tối đa những đồ ăn cay nóng hoặc chiên nhiều dầu mỡ.
Lựa chọn các sản phẩm dưỡng thể phù hợp cho từng chất da.

Những điều cần lưu ý khi áp dụng trị mụn bằng muối
Các cách trị mụn lưng tự nhiên bằng muối mặc dù đơn giản, dễ làm nhưng điều mà mọi người quan tâm nhất vẫn là hiệu quả thực sự mà nó mang lại.
Trên thực tế, muối chỉ có thể làm giảm những loại mụn cám, mụn đầu đen và khắc chế đáng kể lượng dầu nhờn tiết ra. Còn với những ổ mụn sưng đỏ, mụn ẩn hoặc những vết thâm lâu ngày để lại trên da thì công thức từ muối gần như không có tác dụng.

Tình trạng mụn lưng nặng khó có thể chữa khỏi bằng phương pháp tự nhiên từ muối
Đặc biệt, một số trường hợp mụn lưng sưng to và có mủ thì nước muối còn có thể gây tổn thương da khi áp dụng. Bởi thế, không phải lúc nào trị mụn lưng bằng muối cũng hữu dụng và cho hiệu quả tốt.
Hiện nay, điều trị mụn chuyên sâu với công nghệ cao đang là xu hướng được đông đảo tín đồ làm đẹp tin dùng bởi an toàn và hiệu quả nhanh chóng. Với các dạng mụn lưng từ nhẹ đến nặng thì công nghệ cao cũng chính là giải pháp toàn diện và tối ưu nhất.
Ánh sáng sinh học được ứng dụng trong các thế hệ công nghệ tiên tiến hàng đầu hiện nay. Không chỉ giúp loại bỏ tận gốc cồi nhân mụn mà nó còn hỗ trợ giảm thâm, ngăn ngừa sẹo, se nhỏ chân lông và đặc biệt là ức chế đáng kể sự tiết nhờn. Nhờ đó, da không chỉ sạch mịn mà còn ngăn ngừa mụn phát sinh trở lại.
Kiểm chứng ngay hiệu quả trị mụn lưng của khách hàng thực tế Kangnam ngay sau đây:

Kết quả khách hàng sau khi điều trị mụn lưng tại Kangnam

Lưng trở nên mịn màng hơn sau khi mụn đã được loại bỏ

Hình ảnh trước – sau trị mụn lưng bằng công nghệ hiện đại cho thấy hiệu quả rõ rệt
Bên cạnh mụn lưng thì thế hệ Nano Skin còn nổi tiếng với khả năng đánh bay mọi dạng mụn nặng nhẹ ở trán, má, cằm,… Kết quả được thể hiện ngay sau một liệu trình điều trị chuyên sâu 4 – 6 buổi với chuyên gia da liễu Kangnam.

Tình trạng mụn nặng nhẹ đều có thể điều trị dứt điểm với phác đồ chuyên sâu
https://www.vinmec.com/vi/tin-tuc/thong-tin-suc-khoe/suc-khoe-tong-quat/mun-trung-ca-va-cach-dieu-tri/
https://www.vinmec.com/vi/tin-tuc/thong-tin-suc-khoe/lam-dep/cach-tri-mun-lung-bang-muoi-hot/
https://medlatec.vn/tin-tuc/mun-trung-ca-va-cach-dieu-tri-khong-seo-khong-dau-s107-n20526
https://nubest.vn/cach-tri-mun-bang-muoi
Hãy để lại bình luận của bạn bên dưới!
Nhập thông tin của bạn
×